全国400热线:400-8252586

Product Image

Anti-YAP1 Rabbit pAb

¥0
货号:YB113987-50
规格:
  • 50 μL
数量:

产品信息


蛋白质全称

转录共激活因子YAP1

别名

YAP1, COB1, YAP, YAP2, YAP65, YKI, Yes associated protein 1, Yap, 65 kDa Yes associated protein, Yorkie homolog

Uniprot ID

P46937

免疫原

KLH偶联的人YAP1合成肽

抗体亚型

IgG

预测分子量./观测分子量.

54 kDa / 78 kDa

纯化方式

亲和纯化

亚细胞定位

细胞核, 细胞质




应用


应用 物种 稀释 阳性样品
WB 免疫印迹 人, 小鼠, 大鼠 1: 300-1: 600 肝, 肺, 心
IHC/IF 免疫组织化学/免疫荧光 1: 200-1: 400 结肠癌 卵巢癌,食道癌




背景

YAP1 is a transcriptional co-activator and its proliferative and oncogenic activity is driven by its association with the TEAD family of transcription factors, which up-regulate genes that promote cell growth and inhibit apoptosis. Several other functional partners of YAP1 were identified, including RUNX, SMADs, p73, ErbB4,TP53BP, LATS1/2, PTPN14, AMOTs, and ZO1/2. YAP1 and its close paralog, TAZ (WWTR1), are the main effectors of the Hippo tumor suppressor pathway.




图像

WB检测YAP1蛋白(货号 GB113976).
样品: 经RIPA裂解液(货号G2002)处理的蛋白质.
封闭: 3%脱脂牛奶(货号GC310001)溶于TBST溶液, 室温孵育1小时.
—抗: 1: 600稀释, 4℃ 孵育过夜.
二抗: HRP标记山羊抗兔IgG (H+L) (货号GB23303), 1: 5000稀释, 室温孵育1小时.

WB检测YAP1蛋白(货号 GB113976).
样品: 经RIPA裂解液(货号G2002)处理的蛋白质.
封闭: 3%脱脂牛奶(货号GC310001)溶于TBST溶液, 室温孵育1小时.
—抗: 1: 600稀释, 4℃ 孵育过夜.
二抗: HRP标记山羊抗兔IgG (H+L) (货号GB23303), 1: 5000稀释, 室温孵育1小时.

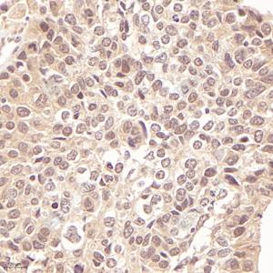
IHC检测YAP1蛋白(货号 GB113976).
样品: 人卵巢癌, 4%多聚甲醛 (货号G1101) 固定12-24小时.
抗原修复: 柠檬酸抗原修复液(干粉, pH 6.0) (G1201), 98℃, 20分钟.
—抗: 1: 400稀释, 4℃ 孵育过夜.
二抗: HRP标记山羊抗兔IgG (H+L) (货号GB23303), 1: 200稀释, 室温孵育1小时.

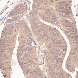
IHC检测YAP1蛋白(货号 GB113976).
样品: 人结肠癌, 4%多聚甲醛 (货号G1101) 固定12-24小时.
抗原修复: 柠檬酸抗原修复液(干粉, pH 6.0) (G1201), 98℃, 20分钟.
—抗: 1: 400稀释, 4℃ 孵育过夜.
二抗: HRP标记山羊抗兔IgG (H+L) (货号GB23303), 1: 200稀释, 室温孵育1小时.

IHC检测YAP1蛋白(货号 GB113976).
样品: 人肺鳞状细胞癌, 4%多聚甲醛 (货号G1101) 固定12-24小时.
抗原修复: 柠檬酸抗原修复液(干粉, pH 6.0) (G1201), 98℃, 20分钟.
—抗: 1: 400稀释, 4℃ 孵育过夜.
二抗: HRP标记山羊抗兔IgG (H+L) (货号GB23303), 1: 200稀释, 室温孵育1小时.




储存


储存条件 在-20℃下储存一年, 避免反复冻融.
储存缓冲液 含0.15% ProClin300防腐剂, 100 μg/mL牛血清白蛋白和50%甘油的磷酸盐缓冲液.


注意:

1.本产品仅供研究使用.

2.建议用一抗稀释液(G2025)稀释本产品.


相关产品

注意事项

  • 请在保质期内使用本产品
  • 请存放于阴凉干燥处,避免阳光直射
  • 使用前请仔细阅读产品说明书
  • 如有不适,请立即停止使用并咨询专业人士
服务推荐
货号名称规格价格操作
产品推荐
货号名称规格价格操作
广州一科生物科技有限公司
广州一科生物科技有限公司
电话:400-8252586
邮箱:weikexie@163.com
地址:广州市白云区白灰场南路润祥大厦B栋707
粤ICP备19145173号-1版权所有 All rights reserved 广州市一科生物科技有限公司
本公司产品仅供体外研究使用,不用于临床诊断!
  • 我的收藏
  • 咨询客服

    请填写您的信息,我们会尽快安排对应人员与您联系!

    单位名称:
    您的姓名:
    联系电话:
    咨询内容:
  • 联系电话

    客服电话:

    400-8252586

  • 返回顶部