Anti-YAP1 Rabbit pAb
- 50 μL
产品信息
|
蛋白质全称 |
转录共激活因子YAP1 |
|
别名 |
YAP1, COB1, YAP, YAP2, YAP65, YKI, Yes associated protein 1, Yap, 65 kDa Yes associated protein, Yorkie homolog |
|
Uniprot ID |
P46937 |
|
免疫原 |
人YAP1重组蛋白 |
|
抗体亚型 |
IgG |
|
预测分子量./观测分子量. |
54 kDa / 78 kDa |
|
纯化方式 |
亲和纯化 |
|
亚细胞定位 |
细胞核, 细胞质 |
应用
| 应用 | 物种 | 稀释 | 阳性样品 |
| WB 免疫印迹 | 人, 小鼠, 大鼠 | 1: 500-1: 1000 | 肾, 肺 |
| IHC/IF 免疫组织化学/免疫荧光 | 人 | 1: 1000-1: 1500 | 肝癌, 结肠癌, 子宫内膜癌 |
| ICC/IF 免疫细胞化学/免疫荧光 | 人 | 1: 500-1: 1000 | HeLa细胞 |
背景
YAP1 is a transcriptional co-activator and its proliferative and oncogenic activity is driven by its association with the TEAD family of transcription factors, which up-regulate genes that promote cell growth and inhibit apoptosis. Several other functional partners of YAP1 were identified, including RUNX, SMADs, p73, ErbB4,TP53BP, LATS1/2, PTPN14, AMOTs, and ZO1/2. YAP1 and its close paralog, TAZ (WWTR1), are the main effectors of the Hippo tumor suppressor pathway.
图像
|
|
WB检测YAP1蛋白(货号 GB113975). 样品: 经RIPA裂解液(货号G2002)处理的蛋白质. 封闭: 3%脱脂牛奶(货号GC310001)溶于TBST溶液, 室温孵育1小时. —抗: 1: 1000稀释, 4℃ 孵育过夜. 二抗: HRP标记山羊抗兔IgG (H+L) (货号GB23303), 1: 5000稀释, 室温孵育1小时. |
|
|
WB检测YAP1蛋白(货号 GB113975). 样品: 经RIPA裂解液(货号G2002)处理的蛋白质. 封闭: 3%脱脂牛奶(货号GC310001)溶于TBST溶液, 室温孵育1小时. —抗: 1: 1000稀释, 4℃ 孵育过夜. 二抗: HRP标记山羊抗兔IgG (H+L) (货号GB23303), 1: 5000稀释, 室温孵育1小时. |
|
|
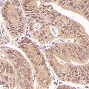
IHC检测YAP1蛋白(货号 GB113975). 样品: 人结肠癌, 4%多聚甲醛 (货号G1101) 固定12-24小时. 抗原修复: 柠檬酸抗原修复液(干粉, pH 6.0) (G1201), 98℃, 20分钟. —抗: 1: 1000稀释, 4℃ 孵育过夜. 二抗: HRP标记山羊抗兔IgG (H+L) (货号GB23303), 1: 200稀释, 室温孵育1小时. |
|
|
IHC检测YAP1蛋白(货号 GB113975). 样品: 人食管癌, 4%多聚甲醛 (货号G1101) 固定12-24小时. 抗原修复: 柠檬酸抗原修复液(干粉, pH 6.0) (G1201), 98℃, 20分钟. —抗: 1: 1000稀释, 4℃ 孵育过夜. 二抗: HRP标记山羊抗兔IgG (H+L) (货号GB23303), 1: 200稀释, 室温孵育1小时. |
|
|
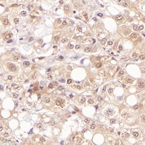
IHC检测YAP1蛋白(货号 GB113975). 样品: 人肝癌, 4%多聚甲醛 (货号G1101) 固定12-24小时. 抗原修复: 柠檬酸抗原修复液(干粉, pH 6.0) (G1201), 98℃, 20分钟. —抗: 1: 1000稀释, 4℃ 孵育过夜. 二抗: HRP标记山羊抗兔IgG (H+L) (货号GB23303), 1: 200稀释, 室温孵育1小时. |
|
|
ICC检测YAP1蛋白(货号 GB113975)(红色). 样品: HeLa细胞, 4%多聚甲醛 (货号G1101) 固定20分钟. 封闭: 3% BSA(货号GC305010)的PBS溶液, 室温孵育30分钟. 一抗: 1: 500稀释, 4℃ 孵育过夜. 二抗: Cy3标记山羊抗兔IgG (H+L) (货号GB21303), 1: 300稀释, 室温孵育1小时. |
储存
| 储存条件 | 在-20℃下储存一年, 避免反复冻融. |
| 储存缓冲液 | 含0.15% ProClin300防腐剂, 100 μg/mL牛血清白蛋白和50%甘油的磷酸盐缓冲液. |
注意:
1.本产品仅供研究使用.
2.建议用一抗稀释液(G2025)稀释本产品.
| 货号 | 名称 | 规格 | 价格 | 操作 |
|---|
| 货号 | 名称 | 规格 | 价格 | 操作 |
|---|
