全国400热线:400-8252586

Product Image

Anti-PPP2R2C Rabbit pAb

¥0
货号:YB113827-50
规格:
  • 50 μL
数量:

产品信息


蛋白质全称

蛋白磷酸酶2A Bγ调节亚基

别名

B55 GAMMA, IMYPNO, IMYPNO1, PP2A subunit B isoform gamma, PPP2R2C, PR52, PR55G

Uniprot ID

Q8BG02

免疫原

KLH偶联的小鼠PPP2R2C合成肽

抗体亚型

IgG

纯化方式

亲和纯化

亚细胞定位

细胞质




应用


应用物种稀释阳性样品
IHC/IF 免疫组织化学/免疫荧光小鼠, 大鼠1: 500-1: 1000脑, 睾丸, 骨骼肌




背景


The B regulatory subunit might modulate substrate selectivity and catalytic activity, and also might direct the localization of the catalytic enzyme to a particular subcellular compartment.




图像

                       

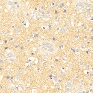
IHC检测PPP2R2C蛋白(货号 GB113816).
样品: 小鼠脑, 4%多聚甲醛 (货号G1101) 固定12-24小时.
抗原修复: 柠檬酸抗原修复液(干粉, pH 6.0) (G1201), 98℃, 20分钟.
—抗: 1: 500稀释, 4℃ 孵育过夜.
二抗: HRP标记山羊抗兔IgG (H+L) (货号GB23303), 1: 200稀释, 室温孵育1小时.

                       

IHC检测PPP2R2C蛋白(货号 GB113816).
样品: 大鼠脑, 4%多聚甲醛 (货号G1101) 固定12-24小时.
抗原修复: 柠檬酸抗原修复液(干粉, pH 6.0) (G1201), 98℃, 20分钟.
—抗: 1: 500稀释, 4℃ 孵育过夜.
二抗: HRP标记山羊抗兔IgG (H+L) (货号GB23303), 1: 200稀释, 室温孵育1小时.

                       

IHC检测PPP2R2C蛋白(货号 GB113816).
样品: 大鼠睾丸, 4%多聚甲醛 (货号G1101) 固定12-24小时.
抗原修复: 柠檬酸抗原修复液(干粉, pH 6.0) (G1201), 98℃, 20分钟.
—抗: 1: 500稀释, 4℃ 孵育过夜.
二抗: HRP标记山羊抗兔IgG (H+L) (货号GB23303), 1: 200稀释, 室温孵育1小时.

                       

IHC检测PPP2R2C蛋白(货号 GB113816).
样品: 大鼠骨骼肌, 4%多聚甲醛 (货号G1101) 固定12-24小时.
抗原修复: 柠檬酸抗原修复液(干粉, pH 6.0) (G1201), 98℃, 20分钟.
—抗: 1: 500稀释, 4℃ 孵育过夜.
二抗: HRP标记山羊抗兔IgG (H+L) (货号GB23303), 1: 200稀释, 室温孵育1小时.




储存


储存条件            在-20℃下储存一年, 避免反复冻融.
储存缓冲液            含0.15% ProClin300防腐剂, 100 μg/mL牛血清白蛋白和50%甘油的磷酸盐缓冲液.


注意:

1.本产品仅供研究使用.

2.建议用一抗稀释液(G2025)稀释本产品.


相关产品

注意事项

  • 请在保质期内使用本产品
  • 请存放于阴凉干燥处,避免阳光直射
  • 使用前请仔细阅读产品说明书
  • 如有不适,请立即停止使用并咨询专业人士
服务推荐
货号名称规格价格操作
产品推荐
货号名称规格价格操作
广州一科生物科技有限公司
广州一科生物科技有限公司
电话:400-8252586
邮箱:weikexie@163.com
地址:广州市白云区白灰场南路润祥大厦B栋707
粤ICP备19145173号-1版权所有 All rights reserved 广州市一科生物科技有限公司
本公司产品仅供体外研究使用,不用于临床诊断!
  • 我的收藏
  • 咨询客服

    请填写您的信息,我们会尽快安排对应人员与您联系!

    单位名称:
    您的姓名:
    联系电话:
    咨询内容:
  • 联系电话

    客服电话:

    400-8252586

  • 返回顶部