全国400热线:400-8252586

Product Image

Anti-PPP2R2A Rabbit pAb

¥0
货号:YB11809-50
规格:
  • 50 μL
数量:

产品信息


蛋白质全称

丝氨酸/苏氨酸蛋白磷酸酶2A 55kDa调节亚基Bα

别名

Ppp2r2a, PPP2R2A, B55A, B55ALPHA, PR52A, PR55A, protein phosphatase 2 regulatory subunit Balpha, PR55alpha

Uniprot ID

Q6P1F6

免疫原

小鼠PPP2R2A重组蛋白

抗体亚型

IgG

纯化方式

亲和纯化

亚细胞定位

细胞质




应用


应用 物种 稀释 阳性样品
IHC/IF 免疫组织化学/免疫荧光 小鼠, 大鼠 1: 500-1: 2000




背景

Serine/threonine-protein phosphatase 2A 55 kDa regulatory subunit B alpha isoform is an enzyme belongs to the phosphatase 2 regulatory subunit B family. Protein phosphatase 2 is one of the four major Ser/Thr phosphatases, and it is implicated in the negative control of cell growth and division. It consists of a common heteromeric core enzyme, which is composed of a catalytic subunit and a constant regulatory subunit, that associates with a variety of regulatory subunits. The B regulatory subunit might modulate substrate selectivity and catalytic activity. This gene encodes an alpha isoform of the regulatory subunit B55 subfamily.




图像

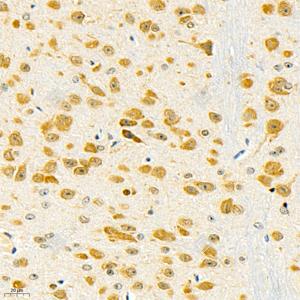
IHC检测PPP2R2A蛋白(货号 GB11798).
样品: 小鼠脑, 4%多聚甲醛 (货号G1101) 固定12-24小时.
抗原修复: 柠檬酸抗原修复液(干粉, pH 6.0) (G1201), 98℃, 20分钟.
—抗: 1: 1000稀释, 4℃ 孵育过夜.
二抗: HRP标记山羊抗兔IgG (H+L) (货号GB23303), 1: 200稀释, 室温孵育1小时.

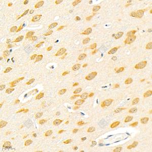
IHC检测PPP2R2A蛋白(货号 GB11798).
样品: 大鼠脑, 4%多聚甲醛 (货号G1101) 固定12-24小时.
抗原修复: 柠檬酸抗原修复液(干粉, pH 6.0) (G1201), 98℃, 20分钟.
—抗: 1: 1000稀释, 4℃ 孵育过夜.
二抗: HRP标记山羊抗兔IgG (H+L) (货号GB23303), 1: 200稀释, 室温孵育1小时.




储存


储存条件 在-20℃下储存一年, 避免反复冻融.
储存缓冲液 含0.15% ProClin300防腐剂, 100 μg/mL牛血清白蛋白和50%甘油的磷酸盐缓冲液.


注意:

1.本产品仅供研究使用.

2.建议用一抗稀释液(G2025)稀释本产品.


相关产品

注意事项

  • 请在保质期内使用本产品
  • 请存放于阴凉干燥处,避免阳光直射
  • 使用前请仔细阅读产品说明书
  • 如有不适,请立即停止使用并咨询专业人士
服务推荐
货号名称规格价格操作
产品推荐
货号名称规格价格操作
广州一科生物科技有限公司
广州一科生物科技有限公司
电话:400-8252586
邮箱:weikexie@163.com
地址:广州市白云区白灰场南路润祥大厦B栋707
粤ICP备19145173号-1版权所有 All rights reserved 广州市一科生物科技有限公司
本公司产品仅供体外研究使用,不用于临床诊断!
  • 我的收藏
  • 咨询客服

    请填写您的信息,我们会尽快安排对应人员与您联系!

    单位名称:
    您的姓名:
    联系电话:
    咨询内容:
  • 联系电话

    客服电话:

    400-8252586

  • 返回顶部