
Anti-D4 GDI Rabbit pAb
- 50 μL
产品信息
|
蛋白质全称 |
Rho GDP解离抑制因子2 |
|
别名 |
ARHGDIB, D4, GDIA2, GDID4, Ly-GDI, LYGDI, RAP1GN1, Rho GDI 2, Rho-GDI beta, RhoGDI2, D4 GDP dissociation inhibitor |
|
Uniprot ID |
Q61599 |
|
免疫原 |
小鼠D4 GDI重组蛋白 |
|
抗体亚型 |
IgG |
|
预测分子量./观测分子量. |
23 kDa / 23 kDa |
|
纯化方式 |
亲和纯化 |
|
亚细胞定位 |
细胞质 |
应用
| 应用 | 物种 | 稀释 | 阳性样品 |
| WB 免疫印迹 | 人, 小鼠 | 1: 1000-1: 2000 | 脾, 肺 |
| IHC/IF 免疫组织化学/免疫荧光 | 小鼠 | 1: 3000-1: 6000 | 骨, 肺, 胎盘 |
背景
ARHGDIB, also known as RhoGDI2, is a conserved member of the RhoGDI family and plays an important role in cell migrations. It regulates the GDP/GTP exchange reaction of the Rho proteins by inhibiting the dissociation of GDP from them, and the subsequent binding of GTP to them. It is mainly in hematopoietic, endothelial, and epithelial cells. It has been linked to tumorigenesis and metastasis. RhoGDI2 expression is downregulated in several cancer types, such as bladder, lung and lymphoma, but is upregulated in prostate and gastric cancer.
图像
|
|
WB检测D4 GDI蛋白(货号 GB113556). 样品: 经RIPA裂解液(货号G2002)处理的蛋白质. 封闭: 3%脱脂牛奶(货号GC310001)溶于TBST溶液, 室温孵育1小时. —抗: 1: 2000稀释, 4℃ 孵育过夜. 二抗: HRP标记山羊抗兔IgG (H+L) (货号GB23303), 1: 5000稀释, 室温孵育1小时. |
|
|
IHC检测D4 GDI蛋白(货号 GB113556). 样品: 小鼠骨, 4%多聚甲醛 (货号G1101) 固定12-24小时. 抗原修复: 柠檬酸抗原修复液(干粉, pH 6.0) (G1201), 98℃, 20分钟. —抗: 1: 6000稀释, 4℃ 孵育过夜. 二抗: HRP标记山羊抗兔IgG (H+L) (货号GB23303), 1: 200稀释, 室温孵育1小时. |
|
|
IHC检测D4 GDI蛋白(货号 GB113556). 样品: 小鼠肺, 4%多聚甲醛 (货号G1101) 固定12-24小时. 抗原修复: 柠檬酸抗原修复液(干粉, pH 6.0) (G1201), 98℃, 20分钟. —抗: 1: 6000稀释, 4℃ 孵育过夜. 二抗: HRP标记山羊抗兔IgG (H+L) (货号GB23303), 1: 200稀释, 室温孵育1小时. |
|
|
IHC检测D4 GDI蛋白(货号 GB113556). 样品: 小鼠胎盘, 4%多聚甲醛 (货号G1101) 固定12-24小时. 抗原修复: 柠檬酸抗原修复液(干粉, pH 6.0) (G1201), 98℃, 20分钟. —抗: 1: 6000稀释, 4℃ 孵育过夜. 二抗: HRP标记山羊抗兔IgG (H+L) (货号GB23303), 1: 200稀释, 室温孵育1小时. |
|
|
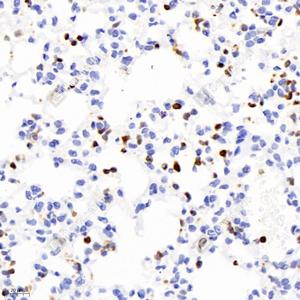
IHC检测D4 GDI蛋白(货号 GB113556). 样品: 小鼠脾, 4%多聚甲醛 (货号G1101) 固定12-24小时. 抗原修复: 柠檬酸抗原修复液(干粉, pH 6.0) (G1201), 98℃, 20分钟. —抗: 1: 6000稀释, 4℃ 孵育过夜. 二抗: HRP标记山羊抗兔IgG (H+L) (货号GB23303), 1: 200稀释, 室温孵育1小时. |
储存
| 储存条件 | 在-20℃下储存一年, 避免反复冻融. |
| 储存缓冲液 | 含0.15% ProClin300防腐剂, 100 μg/mL牛血清白蛋白和50%甘油的磷酸盐缓冲液. |
注意:
1.本产品仅供研究使用.
2.建议用一抗稀释液(G2025)稀释本产品.
| 货号 | 名称 | 规格 | 价格 | 操作 |
|---|
| 货号 | 名称 | 规格 | 价格 | 操作 |
|---|




