
Anti-ARL6IP1 Rabbit pAb
- 100 μL
产品信息
|
蛋白质全称 |
ADP-核糖基化因子样蛋白6互作蛋白1 |
|
别名 |
Aip 1, AIP1, ARL 6 interacting protein 1, ARL6IP, ARL6IP1, ARMER, KIAA0069 |
|
Uniprot ID |
Q9JKW0 |
|
免疫原 |
KLH偶联的小鼠ARL6IP1合成肽 |
|
抗体亚型 |
IgG |
|
预测分子量./观测分子量. |
23 kDa / 23 kDa |
|
纯化方式 |
亲和纯化 |
|
亚细胞定位 |
内质网 |
应用
| 应用 | 物种 | 稀释 | 阳性样品 |
| WB 免疫印迹 | 人, 小鼠, 大鼠 | 1: 300-1: 600 | 胰腺, 睾丸 |
| IHC/IF 免疫组织化学/免疫荧光 | 小鼠 | 1: 300-1: 900 | 肺, 脾, 肾 |
背景
Positively regulates SLC1A1/EAAC1-mediated glutamate transport by increasing its affinity for glutamate in a PKC activity-dependent manner. Promotes the catalytic efficiency of SLC1A1/EAAC1 probably by reducing its interaction with ARL6IP5, a negative regulator of SLC1A1/EAAC1-mediated glutamate transport . Plays a role in the formation and stabilization of endoplasmic reticulum tubules. Negatively regulates apoptosis, possibly by modulating the activity of caspase-9 (CASP9). Inhibits cleavage of CASP9-dependent substrates and downstream markers of apoptosis but not CASP9 itself. May be involved in protein transport, membrane trafficking, or cell signaling during hematopoietic maturation .
图像
|
|
WB检测ARL6IP1蛋白(货号 GB114608). 样品: 经RIPA裂解液(货号G2002)处理的蛋白质. 封闭: 3%脱脂牛奶(货号GC310001)溶于TBST溶液, 室温孵育1小时. —抗: 1: 600稀释, 4℃ 孵育过夜. 二抗: HRP标记山羊抗兔IgG (H+L) (货号GB23303), 1: 5000稀释, 室温孵育1小时. |
|
|
WB检测ARL6IP1蛋白(货号 GB114608). 样品: 经RIPA裂解液(货号G2002)处理的蛋白质. 封闭: 3%脱脂牛奶(货号GC310001)溶于TBST溶液, 室温孵育1小时. —抗: 1: 600稀释, 4℃ 孵育过夜. 二抗: HRP标记山羊抗兔IgG (H+L) (货号GB23303), 1: 5000稀释, 室温孵育1小时. |
|
|
IHC检测ARL6IP1蛋白(货号 GB114608). 样品: 小鼠脾, 4%多聚甲醛 (货号G1101) 固定12-24小时. 抗原修复: 柠檬酸抗原修复液(干粉, pH 6.0) (G1201), 98℃, 20分钟. —抗: 1: 300稀释, 4℃ 孵育过夜. 二抗: HRP标记山羊抗兔IgG (H+L) (货号GB23303), 1: 200稀释, 室温孵育1小时. |
|
|
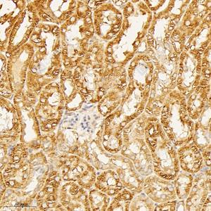
IHC检测ARL6IP1蛋白(货号 GB114608). 样品: 小鼠肾, 4%多聚甲醛 (货号G1101) 固定12-24小时. 抗原修复: 柠檬酸抗原修复液(干粉, pH 6.0) (G1201), 98℃, 20分钟. —抗: 1: 300稀释, 4℃ 孵育过夜. 二抗: HRP标记山羊抗兔IgG (H+L) (货号GB23303), 1: 200稀释, 室温孵育1小时. |
|
|
IHC检测ARL6IP1蛋白(货号 GB114608). 样品: 小鼠肺, 4%多聚甲醛 (货号G1101) 固定12-24小时. 抗原修复: 柠檬酸抗原修复液(干粉, pH 6.0) (G1201), 98℃, 20分钟. —抗: 1: 300稀释, 4℃ 孵育过夜. 二抗: HRP标记山羊抗兔IgG (H+L) (货号GB23303), 1: 200稀释, 室温孵育1小时. |
储存
| 储存条件 | 在-20℃下储存一年, 避免反复冻融. |
| 储存缓冲液 | 含0.15% ProClin300防腐剂, 100 μg/mL牛血清白蛋白和50%甘油的磷酸盐缓冲液. |
注意:
1.本产品仅供研究使用.
2.建议用一抗稀释液(G2025)稀释本产品.
| 货号 | 名称 | 规格 | 价格 | 操作 |
|---|
| 货号 | 名称 | 规格 | 价格 | 操作 |
|---|




