
Anti-KLHL9 Rabbit pAb
- 50 μL
产品信息
|
蛋白质全称 |
Kelch样蛋白9 |
|
别名 |
kelch like 9 (Drosophila), KIAA1354, KLHL9 |
|
Uniprot ID |
Q6ZPT1 |
|
免疫原 |
小鼠KLHL9重组蛋白 |
|
抗体亚型 |
IgG |
|
纯化方式 |
亲和纯化 |
|
亚细胞定位 |
细胞质 |
应用
| 应用 | 物种 | 稀释 | 阳性样品 |
| IHC/IF 免疫组织化学/免疫荧光 | 小鼠 | 1: 1000-1: 2000 | 肾 |
背景
This gene encodes a protein that belongs to the kelch repeat-containing family, and contains an N-terminal BTB/POZ domain, a BACK domain and six C-terminal kelch repeats. The encoded protein is a component of a complex with cullin 3-based E3 ligase, which plays a role in mitosis. This protein complex is a cell cycle regulator, and functions in the organization and integrity of the spindle midzone in anaphase and the completion of cytokinesis. The complex is required for the removal of the chromosomal passenger protein aurora B from mitotic chromosomes.
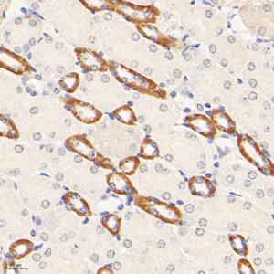
图像
|
|
IHC检测KLHL9蛋白(货号 GB113487). 样品: 小鼠肾, 4%多聚甲醛 (货号G1101) 固定12-24小时. 抗原修复: 柠檬酸抗原修复液(干粉, pH 6.0) (G1201), 98℃, 20分钟. —抗: 1: 1000稀释, 4℃ 孵育过夜. 二抗: HRP标记山羊抗兔IgG (H+L) (货号GB23303), 1: 200稀释, 室温孵育1小时. |
储存
| 储存条件 | 在-20℃下储存一年, 避免反复冻融. |
| 储存缓冲液 | 含0.15% ProClin300防腐剂, 100 μg/mL牛血清白蛋白和50%甘油的磷酸盐缓冲液. |
注意:
1.本产品仅供研究使用.
2.建议用一抗稀释液(G2025)稀释本产品.
| 货号 | 名称 | 规格 | 价格 | 操作 |
|---|
| 货号 | 名称 | 规格 | 价格 | 操作 |
|---|
