
Anti-IPL-1/STK13/Aurora C Rabbit pAb
- 50 μL
产品信息
|
蛋白质全称 |
极光激酶C |
|
别名 |
Aie1, Aik3, Airk3, Ark3, Stk13, Aurkc, ARK-3, Aurora 3, Aurora/IPL1-related kinase 3 |
|
Uniprot ID |
O88445 |
|
免疫原 |
KLH偶联的小鼠IPL-1/STK13/Aurora C合成肽 |
|
抗体亚型 |
IgG |
|
纯化方式 |
亲和纯化 |
|
亚细胞定位 |
着丝粒, 染色体, 细胞质, 细胞骨架, 细胞核 |
应用
| 应用 | 物种 | 稀释 | 阳性样品 |
| IHC/IF 免疫组织化学/免疫荧光 | 小鼠 | 1: 500-1: 1500 | 睾丸 |
背景
Serine/threonine-protein kinase component of the chromosomal passenger complex (CPC), a complex that acts as a key regulator of mitosis. The CPC complex has essential functions at the centromere in ensuring correct chromosome alignment and segregation and is required for chromatin-induced microtubule stabilization and spindle assembly. Plays also a role in meiosis and more particularly in spermatogenesis. Has redundant cellular functions with AURKB and can rescue an AURKB knockdown. Like AURKB, AURKC phosphorylates histone H3 at 'Ser-10' and 'Ser-28'. AURKC phosphorylates the CPC complex subunits BIRC5/survivin and INCENP leading to increased AURKC activity. Phosphorylates TACC1, another protein involved in cell division, at 'Ser-228'.
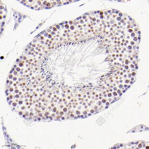
图像
|
|
IHC检测IPL-1/STK13/Aurora C蛋白(货号 GB114842). 样品: 小鼠睾丸, 4%多聚甲醛 (货号G1101) 固定12-24小时. 抗原修复: 柠檬酸抗原修复液(干粉, pH 6.0) (G1201), 98℃, 20分钟. —抗: 1: 500稀释, 4℃ 孵育过夜. 二抗: HRP标记山羊抗兔IgG (H+L) (货号GB23303), 1: 200稀释, 室温孵育1小时. |
储存
| 储存条件 | 在-20℃下储存一年, 避免反复冻融. |
| 储存缓冲液 | 含0.15% ProClin300防腐剂, 100 μg/mL牛血清白蛋白和50%甘油的磷酸盐缓冲液. |
注意:
1.本产品仅供研究使用.
2.建议用一抗稀释液(G2025)稀释本产品.
| 货号 | 名称 | 规格 | 价格 | 操作 |
|---|
| 货号 | 名称 | 规格 | 价格 | 操作 |
|---|
