
Anti-Cdc20B Rabbit pAb
¥950
货号:YB115228-50
品牌:YIKE
规格:
- 50 μL
数量:
产品信息
蛋白质全称 | 细胞分裂周期蛋白20同源物B |
别名 | CDC20B, G6VTS76519 |
Uniprot ID | Q86Y33 |
免疫原 | KLH偶联的人CDC20B合成肽 |
抗体亚型 | IgG |
纯化方式 | 亲和纯化 |
亚细胞定位 | 细胞质 |
应用
| 应用 | 物种 | 稀释 | 阳性样品 |
| IHC/IF 免疫组织化学/免疫荧光 | 小鼠, 大鼠 | 1: 800-1: 2400 | 肾 |
| ICC/IF 免疫细胞化学/免疫荧光 | 人, 小鼠 | 1: 200-1: 800 | HeLa细胞 |
背景
The timely destruction of key regulators through ubiquitin-mediated proteolysis ensures the orderly progression of the cell cycle. The APC (anaphase-promoting complex) is a major component of this degradation machinery and its activation is required for the execution of critical events. CDC20B has been implicated as a meiosis specific activator of APC and is required for sporulation in budding yeast.
图像
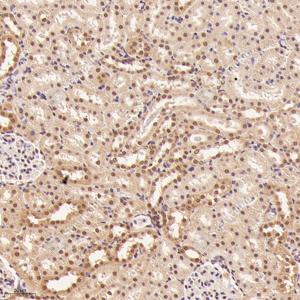
| IHC检测Cdc20B蛋白(货号 GB115217). 样品: 大鼠肾, 4%多聚甲醛 (货号G1101) 固定12-24小时. 抗原修复: Tris-EDTA抗原修复液(pH 9.0) (G1203), 98℃, 20分钟. —抗: 1: 800稀释, 4℃ 孵育过夜. 二抗: HRP标记山羊抗兔IgG (H+L) (货号GB23303), 1: 200稀释, 室温孵育1小时. |
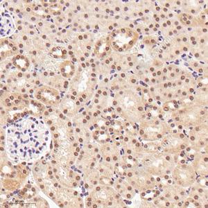
| IHC检测Cdc20B蛋白(货号 GB115217). 样品: 小鼠肾, 4%多聚甲醛 (货号G1101) 固定12-24小时. 抗原修复: Tris-EDTA抗原修复液(pH 9.0) (G1203), 98℃, 20分钟. —抗: 1: 2400稀释, 4℃ 孵育过夜. 二抗: HRP标记山羊抗兔IgG (H+L) (货号GB23303), 1: 200稀释, 室温孵育1小时. |
| ICC检测Cdc20B蛋白(货号 GB115217)(红色). 样品: Hela细胞, 4%多聚甲醛 (货号G1101) 固定20分钟. 封闭: 3% BSA(货号GC305010)的PBS溶液, 室温孵育30分钟. —抗: 1: 200稀释, 4℃ 孵育过夜. 二抗: Cy3标记山羊抗兔IgG (H+L) (货号GB21303), 1: 300稀释, 室温孵育1小时. |
储存
| 储存条件 | 在-20℃下储存一年, 避免反复冻融. |
| 储存缓冲液 | 含0.15% ProClin300防腐剂, 100 μg/mL牛血清白蛋白和50%甘油的磷酸盐缓冲液. |
注意:
1.本产品仅供研究使用.
2.建议用一抗稀释液(G2025)稀释本产品.
服务推荐
| 货号 | 名称 | 规格 | 价格 | 操作 |
|---|
产品推荐
| 货号 | 名称 | 规格 | 价格 | 操作 |
|---|


