
Anti-Chk2 Mouse mAb
- 50 μL
产品信息
|
蛋白质全称 |
丝氨酸/苏氨酸蛋白激酶Chk2 |
|
别名 |
CHEK2, CDS1, CHK2, HuCds1, LFS2, PP1425, RAD53, hCds1, checkpoint kinase 2 |
|
Uniprot ID |
Q9Z265 |
|
免疫原 |
小鼠Chk2重组蛋白 |
|
抗体亚型 |
IgG1, κ |
|
克隆号 |
3C11E9 |
|
纯化方式 |
亲和纯化 |
|
亚细胞定位 |
细胞核 |
应用
| 应用 | 物种 | 稀释 | 阳性样品 |
| IHC/IF 免疫组织化学/免疫荧光 | 人 | 1: 100-1: 1000 | 结肠, 结肠癌, 胃癌 |
背景
CHEK2 (Checkpoint kinase 2) is a tumor suppressor gene that encodes the protein CHK2, a serine-threonine kinase. CHK2 regulates cell division, and has the ability to prevent cells from dividing too rapidly or in an uncontrolled manner, So CHK2 is mainly involved in DNA repair, cell cycle arrest or apoptosis in response to DNA damage. When DNA undergoes a double-strand break, CHK2 is activated. Specifically, DNA damage-activated phosphatidylinositol kinase family protein (PIKK) ATM phosphorylates site Thr68 and activates CHK2.
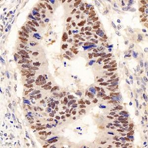
图像
|
|
IHC检测Chk2蛋白(货号 GB12575). 样品: 人结肠癌, 4%多聚甲醛 (货号G1101) 固定12-24小时. 抗原修复: Tris-EDTA抗原修复液(pH 9.0) (G1203), 98℃, 25分钟. —抗: 1: 500稀释, 4℃ 孵育过夜. 二抗: HRP标记山羊抗小鼠IgG (H+L) (货号GB23301), 1: 200稀释, 室温孵育1小时. |
|
|
IHC检测Chk2蛋白(货号 GB12575). 样品: 人结肠, 4%多聚甲醛 (货号G1101) 固定12-24小时. 抗原修复: Tris-EDTA抗原修复液(pH 9.0) (G1203), 98℃, 25分钟. —抗: 1: 500稀释, 4℃ 孵育过夜. 二抗: HRP标记山羊抗小鼠IgG (H+L) (货号GB23301), 1: 200稀释, 室温孵育1小时. |
|
|
IHC检测Chk2蛋白(货号 GB12575). 样品: 人胃癌, 4%多聚甲醛 (货号G1101) 固定12-24小时. 抗原修复: Tris-EDTA抗原修复液(pH 9.0) (G1203), 98℃, 25分钟. —抗: 1: 500稀释, 4℃ 孵育过夜. 二抗: HRP标记山羊抗小鼠IgG (H+L) (货号GB23301), 1: 200稀释, 室温孵育1小时. |
储存
| 储存条件 | 在-20℃下储存一年, 避免反复冻融. |
| 储存缓冲液 | 含0.15% ProClin300防腐剂, 100 μg/mL牛血清白蛋白和50%甘油的磷酸盐缓冲液. |
注意:
1.本产品仅供研究使用.
2.建议用一抗稀释液(G2025)稀释本产品.
| 货号 | 名称 | 规格 | 价格 | 操作 |
|---|
| 货号 | 名称 | 规格 | 价格 | 操作 |
|---|


