
Anti-CDK4 Rabbit pAb
¥1650
货号:YB11249-2-100
品牌:YIKE
规格:
- 100 μL
数量:
产品信息
蛋白质全称 | 细胞周期蛋白依赖性激酶4 |
别名 | Cell division protein kinase 4, PSK-J3, CDK4, Crk3, Cyclin dependent kinase 4, MGC14458, p34 cdk4, PSK-J3, CMM3, cyclin-dependent |
Uniprot ID | P30285 |
免疫原 | KLH偶联的小鼠CDK4合成肽 |
抗体亚型 | IgG |
纯化方式 | 亲和纯化 |
亚细胞定位 | 细胞质, 细胞核, 膜 |
应用
| 应用 | 物种 | 稀释 | 阳性样品 |
| IHC/IF 免疫组织化学/免疫荧光 | 人, 大鼠 | 1: 100-1: 200 | 乳腺癌, 结肠, 卵巢 |
背景
CDK4 is a member of the Ser/Thr protein kinase family. This protein is highly similar to the gene products of S. cerevisiae cdc28 and S. pombe cdc2. It is a catalytic subunit of the protein kinase complex that is important for cell cycle G1 phase progression.
图像
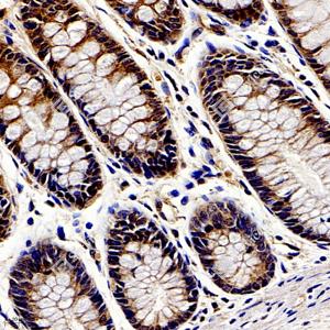
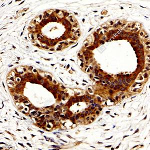
| IHC检测CDK4蛋白(货号 GB11238-2). 样品: 人乳腺癌, 4%多聚甲醛 (货号G1101) 固定12-24小时. 抗原修复: 柠檬酸抗原修复液(干粉, pH 6.0) (G1201), 98℃, 20分钟. —抗: 1: 100稀释, 4℃ 孵育过夜. 二抗: HRP标记山羊抗兔IgG (H+L) (货号GB23303), 1: 200稀释, 室温孵育1小时. |
| IHC检测CDK4蛋白(货号 GB11238-2). 样品: 人结肠, 4%多聚甲醛 (货号G1101) 固定12-24小时. 抗原修复: 柠檬酸抗原修复液(干粉, pH 6.0) (G1201), 98℃, 20分钟. —抗: 1: 100稀释, 4℃ 孵育过夜. 二抗: HRP标记山羊抗兔IgG (H+L) (货号GB23303), 1: 200稀释, 室温孵育1小时. |
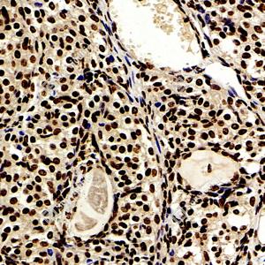
| IHC检测CDK4蛋白(货号 GB11238-2). 样品: 大鼠卵巢, 4%多聚甲醛 (货号G1101) 固定12-24小时. 抗原修复: 柠檬酸抗原修复液(干粉, pH 6.0) (G1201), 98℃, 20分钟. —抗: 1: 100稀释, 4℃ 孵育过夜. 二抗: HRP标记山羊抗兔IgG (H+L) (货号GB23303), 1: 200稀释, 室温孵育1小时. |
储存
| 储存条件 | 在-20℃下储存一年, 避免反复冻融. |
| 储存缓冲液 | 含0.15% ProClin300防腐剂, 100 μg/mL牛血清白蛋白和50%甘油的磷酸盐缓冲液. |
注意:
1.本产品仅供研究使用.
2.建议用一抗稀释液(G2025)稀释本产品.
服务推荐
| 货号 | 名称 | 规格 | 价格 | 操作 |
|---|
产品推荐
| 货号 | 名称 | 规格 | 价格 | 操作 |
|---|


