
Anti-KCNG3 Rabbit pAb
- 50 μL
产品信息
|
蛋白质全称 |
钾通道亚家族G成员3 |
|
别名 |
Voltage-gated potassium channel subunit Kv10.1, Voltage-gated potassium channel subunit Kv6.3, Kcng3, Kv6.3 |
|
Uniprot ID |
P59053 |
|
免疫原 |
KLH偶联的小鼠KCNG3合成肽 |
|
抗体亚型 |
IgG |
|
纯化方式 |
亲和纯化 |
|
亚细胞定位 |
细胞膜, 细胞质 |
应用
| 应用 | 物种 | 稀释 | 阳性样品 |
| IHC/IF 免疫组织化学/免疫荧光 | 小鼠, 大鼠 | 1: 1000-1: 2000 | 脑 |
背景
Potassium channel subunit that does not form functional channels by itself. Can form functional heterotetrameric channels with KCNB1; modulates the delayed rectifier voltage-gated potassium channel activation and deactivation rates of KCNB1.
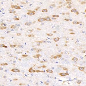
图像
|
|
IHC检测KCNG3蛋白(货号 GB113778). 样品: 小鼠脑, 4%多聚甲醛 (货号G1101) 固定12-24小时. 抗原修复: 柠檬酸抗原修复液(干粉, pH 6.0) (G1201), 98℃, 20分钟. —抗: 1: 1000稀释, 4℃ 孵育过夜. 二抗: HRP标记山羊抗兔IgG (H+L) (货号GB23303), 1: 200稀释, 室温孵育1小时. |
|
|
IHC检测KCNG3蛋白(货号 GB113778). 样品: 大鼠脑, 4%多聚甲醛 (货号G1101) 固定12-24小时. 抗原修复: 柠檬酸抗原修复液(干粉, pH 6.0) (G1201), 98℃, 20分钟. —抗: 1: 1000稀释, 4℃ 孵育过夜. 二抗: HRP标记山羊抗兔IgG (H+L) (货号GB23303), 1: 200稀释, 室温孵育1小时. |
储存
| 储存条件 | 在-20℃下储存一年, 避免反复冻融. |
| 储存缓冲液 | 含0.15% ProClin300防腐剂, 100 μg/mL牛血清白蛋白和50%甘油的磷酸盐缓冲液. |
注意:
1.本产品仅供研究使用.
2.建议用一抗稀释液(G2025)稀释本产品.
| 货号 | 名称 | 规格 | 价格 | 操作 |
|---|
| 货号 | 名称 | 规格 | 价格 | 操作 |
|---|

