
Anti-ClC-5 Rabbit pAb
- 50 μL
产品信息
|
蛋白质全称 |
H+/Cl-交换转运体5 |
|
别名 |
Chloride channel protein 5, ClC-5, Chloride transporter ClC-5, Clcn5, Clc5, Voltage gated chloride ion channel CLCN5, NPHL1 |
|
Uniprot ID |
Q9WVD4 |
|
免疫原 |
KLH偶联的小鼠ClC-5合成肽 |
|
抗体亚型 |
IgG |
|
纯化方式 |
亲和纯化 |
|
亚细胞定位 |
高尔基体, 内体, 细胞膜 |
应用
| 应用 | 物种 | 稀释 | 阳性样品 |
| IHC/IF 免疫组织化学/免疫荧光 | 人, 小鼠, 大鼠 | 1: 100-1: 400 | 肾 |
背景
The family of voltage-dependent chloride channels (CLCs) regulate cellular trafficking of chloride ions, a critical component of all living cells. CLCs regulate excitability in muscle and nerve cells, aid in organic solute transport and maintain cellular volume.Mutations in the gene encoding CLC1 lead to myotonia, an inheritable disorder characterized by muscle stiffness and renal salt wasting. CLC2 is highly expressed in the epithelia of several organs including lung, which suggests CLC2 may be a possible therapeutic target for cystic fibrosis.
图像
|
|
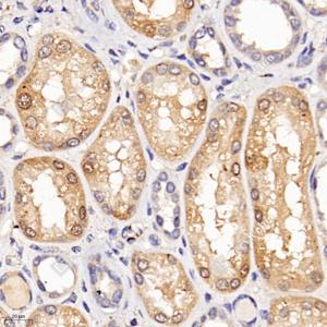
IHC检测ClC-5蛋白(货号 GB112387). 样品: 人肾, 4%多聚甲醛 (货号G1101) 固定12-24小时. 抗原修复: 柠檬酸抗原修复液(干粉, pH 6.0) (G1201), 98℃, 20分钟. —抗: 1: 200稀释, 4℃ 孵育过夜. 二抗: HRP标记山羊抗兔IgG (H+L) (货号GB23303), 1: 200稀释, 室温孵育1小时. |
|
|
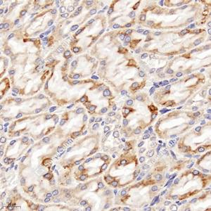
IHC检测ClC-5蛋白(货号 GB112387). 样品: 小鼠肾, 4%多聚甲醛 (货号G1101) 固定12-24小时. 抗原修复: 柠檬酸抗原修复液(干粉, pH 6.0) (G1201), 98℃, 20分钟. —抗: 1: 200稀释, 4℃ 孵育过夜. 二抗: HRP标记山羊抗兔IgG (H+L) (货号GB23303), 1: 200稀释, 室温孵育1小时. |
|
|
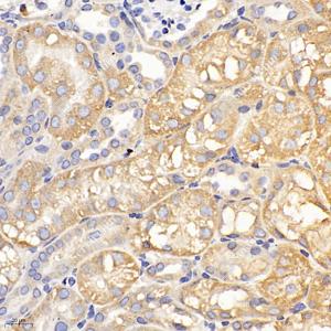
IHC检测ClC-5蛋白(货号 GB112387). 样品: 大鼠肾, 4%多聚甲醛 (货号G1101) 固定12-24小时. 抗原修复: 柠檬酸抗原修复液(干粉, pH 6.0) (G1201), 98℃, 20分钟. —抗: 1: 200稀释, 4℃ 孵育过夜. 二抗: HRP标记山羊抗兔IgG (H+L) (货号GB23303), 1: 200稀释, 室温孵育1小时. |
储存
| 储存条件 | 在-20℃下储存一年, 避免反复冻融. |
| 储存缓冲液 | 含0.15% ProClin300防腐剂, 100 μg/mL牛血清白蛋白和50%甘油的磷酸盐缓冲液. |
注意:
1.本产品仅供研究使用.
2.建议用一抗稀释液(G2025)稀释本产品.
| 货号 | 名称 | 规格 | 价格 | 操作 |
|---|
| 货号 | 名称 | 规格 | 价格 | 操作 |
|---|


