
Anti-ASCT-1 Rabbit pAb
¥0
货号:YB115001-100
品牌:YIKE
规格:
- 100 μL
数量:
产品信息
|
蛋白质全称 |
中性氨基酸转运蛋白A |
|
别名 |
ASCT 1, ASCT1, SATT, SLC1A4 |
|
Uniprot ID |
O35874 |
|
免疫原 |
KLH偶联的小鼠ASCT-1合成肽 |
|
抗体亚型 |
IgG |
|
纯化方式 |
亲和纯化 |
|
亚细胞定位 |
膜 |
应用
| 应用 | 物种 | 稀释 | 阳性样品 |
| IHC/IF 免疫组织化学/免疫荧光 | 小鼠 | 1: 800-1: 2400 | 脑 |
| ICC/IF 免疫细胞化学/免疫荧光 | 小鼠 | 1: 100-1: 400 | NIH 3T3细胞 |
背景
Transporter for alanine, serine, cysteine, and threonine. Exhibits sodium dependence.
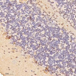
图像
|
|
IHC检测ASCT-1蛋白(货号 GB114990). 样品: 小鼠脑, 4%多聚甲醛 (货号G1101) 固定12-24小时. 抗原修复: Tris-EDTA抗原修复液(pH 9.0) (G1203), 98℃, 20分钟. —抗: 1: 800稀释, 4℃ 孵育过夜. 二抗: HRP标记山羊抗兔IgG (H+L) (货号GB23303), 1: 200稀释, 室温孵育1小时. |
|
|
ICC检测ASCT-1蛋白(货号 GB114990)(红色). 样品: NIH-3T3细胞, 4%多聚甲醛 (货号G1101) 固定20分钟. 封闭: 3% BSA(货号GC305010)的PBS溶液, 室温孵育30分钟. —抗: 1: 100稀释, 4℃ 孵育过夜. 二抗: Cy3标记山羊抗兔IgG (H+L) (货号GB21303), 1: 300稀释, 室温孵育1小时. |
储存
| 储存条件 | 在-20℃下储存一年, 避免反复冻融. |
| 储存缓冲液 | 含0.15% ProClin300防腐剂, 100 μg/mL牛血清白蛋白和50%甘油的磷酸盐缓冲液. |
注意:
1.本产品仅供研究使用.
2.建议用一抗稀释液(G2025)稀释本产品.
服务推荐
| 货号 | 名称 | 规格 | 价格 | 操作 |
|---|
产品推荐
| 货号 | 名称 | 规格 | 价格 | 操作 |
|---|

