
Anti-LENG1 Rabbit pAb
¥1650
货号:YB114431-100
品牌:YIKE
规格:
- 100 μL
数量:
产品信息
|
蛋白质全称 |
白细胞受体簇成员1同源物 |
|
别名 |
Leng1 |
|
Uniprot ID |
Q9DB98 |
|
免疫原 |
小鼠LENG1重组蛋白 |
|
抗体亚型 |
IgG |
|
纯化方式 |
亲和纯化 |
|
亚细胞定位 |
细胞核 |
应用
| 应用 | 物种 | 稀释 | 阳性样品 |
| IHC/IF 免疫组织化学/免疫荧光 | 人 | 1: 1000-1: 2000 | 结肠癌, 子宫内膜癌 |
背景
LENG1 (Leukocyte Receptor Cluster Member 1) is a Protein Coding gene. Diseases associated with LENG1 include Mannosidosis, Beta A, Lysosomal.
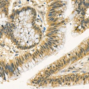
图像
|
|
IHC检测LENG1蛋白(货号 GB114420). 样品: 人结肠癌, 4%多聚甲醛 (货号G1101) 固定12-24小时. 抗原修复: Tris-EDTA抗原修复液(pH 9.0) (G1203), 98℃, 20分钟. —抗: 1: 1000稀释, 4℃ 孵育过夜. 二抗: HRP标记山羊抗兔IgG (H+L) (货号GB23303), 1: 200稀释, 室温孵育1小时. |
|
|
IHC检测LENG1蛋白(货号 GB114420). 样品: 人子宫内膜癌, 4%多聚甲醛 (货号G1101) 固定12-24小时. 抗原修复: Tris-EDTA抗原修复液(pH 9.0) (G1203), 98℃, 20分钟. —抗: 1: 1000稀释, 4℃ 孵育过夜. 二抗: HRP标记山羊抗兔IgG (H+L) (货号GB23303), 1: 200稀释, 室温孵育1小时. |
|
|
IF检测LENG1蛋白(货号 GB114420)(红色). 样品: 人结肠癌, 4%多聚甲醛 (货号G1101) 固定12-24小时. 抗原修复: Tris-EDTA抗原修复液(pH 9.0) (G1203), 98℃, 20分钟. 封闭: 3% BSA(货号GC305010)的PBS溶液, 室温孵育30分钟. —抗: 1: 1000稀释, 4℃ 孵育过夜. 二抗: Cy3标记山羊抗兔IgG (H+L) (货号GB21303), 1: 300稀释, 室温孵育1小时. |
储存
| 储存条件 | 在-20℃下储存一年, 避免反复冻融. |
| 储存缓冲液 | 含0.15% ProClin300防腐剂, 100 μg/mL牛血清白蛋白和50%甘油的磷酸盐缓冲液. |
注意:
1.本产品仅供研究使用.
2.建议用一抗稀释液(G2025)稀释本产品.
服务推荐
| 货号 | 名称 | 规格 | 价格 | 操作 |
|---|
产品推荐
| 货号 | 名称 | 规格 | 价格 | 操作 |
|---|


