
Anti-Somatostatin Receptor 2 Rabbit pAb
- 100 μL
产品信息
|
蛋白质全称 |
生长抑素受体2型 |
|
别名 |
SS-2-R, SS2-R, SS2R, SRIF-1, Smstr2, Sst2, Sstr2 |
|
Uniprot ID |
P30875 |
|
免疫原 |
KLH偶联的小鼠Somatostatin Receptor 2合成肽 |
|
抗体亚型 |
IgG |
|
纯化方式 |
亲和纯化 |
|
亚细胞定位 |
细胞膜, 细胞质 |
应用
| 应用 | 物种 | 稀释 | 阳性样品 |
| IHC/IF 免疫组织化学/免疫荧光 | 小鼠, 大鼠 | 1: 200-1: 400 | 垂体 |
背景
Somatostatin is a tetradecapeptide that is widely distributed in the body and is one of five receptor subtypes termed SSTr1-. These receptors function in the regulation of numerous phsiological processes such as the secretion of insulin, glucagon and growth hormone as wel as cell growth induced by neuronal excitation in both the central and peripheral nervous systems. Somatostatin receptos are activated via sonatostatin secreted by nerve and endocrine cells. Somatostatin Receptor 2 (SSR2), along with SSR1, is expressed at the highest levels in the stomach and jejunum, cerebrum and kidney, respectively.
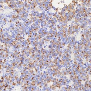
图像
|
|
IHC检测Somatostatin Receptor 2蛋白(货号 GB113275). 样品: 小鼠垂体, 4%多聚甲醛 (货号G1101) 固定12-24小时. 抗原修复: 柠檬酸抗原修复液(干粉, pH 6.0) (G1201), 98℃, 20分钟. —抗: 1: 400稀释, 4℃ 孵育过夜. 二抗: HRP标记山羊抗兔IgG (H+L) (货号GB23303), 1: 200稀释, 室温孵育1小时. |
|
|
IHC检测Somatostatin Receptor 2蛋白(货号 GB113275). 样品: 大鼠垂体, 4%多聚甲醛 (货号G1101) 固定12-24小时. 抗原修复: 柠檬酸抗原修复液(干粉, pH 6.0) (G1201), 98℃, 20分钟. —抗: 1: 400稀释, 4℃ 孵育过夜. 二抗: HRP标记山羊抗兔IgG (H+L) (货号GB23303), 1: 200稀释, 室温孵育1小时. |
储存
| 储存条件 | 在-20℃下储存一年, 避免反复冻融. |
| 储存缓冲液 | 含0.15% ProClin300防腐剂, 100 μg/mL牛血清白蛋白和50%甘油的磷酸盐缓冲液. |
注意:
1.本产品仅供研究使用.
2.建议用一抗稀释液(G2025)稀释本产品.
| 货号 | 名称 | 规格 | 价格 | 操作 |
|---|
| 货号 | 名称 | 规格 | 价格 | 操作 |
|---|

