
Anti-NPY1R Rabbit pAb
- 50 μL
产品信息
|
蛋白质全称 |
神经肽Y受体1型 |
|
别名 |
NPY1-R, Npy1r, NPYR, NPYY1, Neuropeptide Y receptor Y1 |
|
Uniprot ID |
Q04573 |
|
免疫原 |
KLH偶联的小鼠NPY1R合成肽 |
|
抗体亚型 |
IgG |
|
纯化方式 |
亲和纯化 |
|
亚细胞定位 |
细胞膜 |
应用
| 应用 | 物种 | 稀释 | 阳性样品 |
| IHC/IF 免疫组织化学/免疫荧光 | 小鼠, 大鼠 | 1: 800-1: 1600 | 脊髓 |
背景
This gene belongs to the G-protein-coupled receptor superfamily. The encoded transmembrane protein mediates the function of neuropeptide Y (NPY), a neurotransmitter, and peptide YY (PYY), a gastrointestinal hormone. The encoded receptor undergoes fast agonist-induced internalization through clathrin-coated pits and is subsequently recycled back to the cell membrane. Activation of Y1 receptors may result in mobilization of intracellular calcium and inhibition of adenylate cyclase activity.
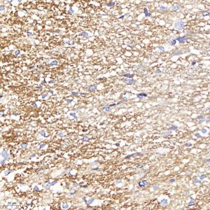
图像
|
|
IHC检测NPY1R蛋白(货号 GB113733). 样品: 小鼠脊髓, 4%多聚甲醛 (货号G1101) 固定12-24小时. 抗原修复: 柠檬酸抗原修复液(干粉, pH 6.0) (G1201), 98℃, 20分钟. —抗: 1: 1600稀释, 4℃ 孵育过夜. 二抗: HRP标记山羊抗兔IgG (H+L) (货号GB23303), 1: 200稀释, 室温孵育1小时. |
|
|
IHC检测NPY1R蛋白(货号 GB113733). 样品: 大鼠脊髓, 4%多聚甲醛 (货号G1101) 固定12-24小时. 抗原修复: 柠檬酸抗原修复液(干粉, pH 6.0) (G1201), 98℃, 20分钟. —抗: 1: 1600稀释, 4℃ 孵育过夜. 二抗: HRP标记山羊抗兔IgG (H+L) (货号GB23303), 1: 200稀释, 室温孵育1小时. |
储存
| 储存条件 | 在-20℃下储存一年, 避免反复冻融. |
| 储存缓冲液 | 含0.15% ProClin300防腐剂, 100 μg/mL牛血清白蛋白和50%甘油的磷酸盐缓冲液. |
注意:
1.本产品仅供研究使用.
2.建议用一抗稀释液(G2025)稀释本产品.
| 货号 | 名称 | 规格 | 价格 | 操作 |
|---|
| 货号 | 名称 | 规格 | 价格 | 操作 |
|---|

