
Anti-Estrogen Inducible Protein pS2 Rabbit pAb
¥950
货号:YB112793-50
品牌:YIKE
规格:
- 50 μL
数量:
产品信息
蛋白质全称 | 三叶因子1 |
别名 | D21S21, HP1.A, HPS2, pNR 2, Polypeptide P1.A, Protein pS2, pS2, TFF1, trefoil factor 1, Protein pS2, Tff1, Bcei, Breast cancer estrogen inducible protein, pNR2 |
免疫原 | 小鼠Trefoil factor 1重组蛋白 |
Uniprot ID | |
抗体亚型 | IgG |
纯化方式 | 亲和纯化 |
亚细胞定位 | 分泌型 |
预测分子量. / 观测分子量. | 10 kDa / 15 kDa |
应用
| 应用 | 物种 | 稀释 | 阳性样品 |
| WB 免疫印迹 | 小鼠, 大鼠 | 1: 300-1: 600 | 胃 |
| IHC/IF 免疫组织化学/免疫荧光 | 人 | 1: 2200-1: 4400 | 胃 |
背景
Stabilizer of the mucous gel overlying the gastrointestinal mucosa that provides a physical barrier against various noxious agents.
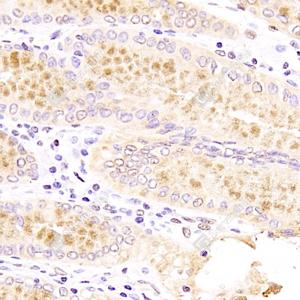
图像
| WB检测Estrogen Inducible Protein pS2蛋白(货号 GB112782). 样品: 经RIPA裂解液(货号G2002)处理的蛋白质. 封闭: 3%脱脂牛奶(货号GC310001)溶于TBST溶液, 室温孵育1小时. —抗: 1: 600稀释, 4℃ 孵育过夜. 二抗: HRP标记山羊抗兔IgG (H+L) (货号GB23303), 1: 5000稀释, 室温孵育1小时. |
| IHC检测Estrogen Inducible Protein pS2蛋白(货号 GB112782). 样品: 人胃, 4%多聚甲醛 (货号G1101) 固定12-24小时. 抗原修复: 柠檬酸抗原修复液(干粉, pH 6.0) (G1201), 98℃, 20分钟. —抗: 1: 4400稀释, 4℃ 孵育过夜. 二抗: HRP标记山羊抗兔IgG (H+L) (货号GB23303), 1: 200稀释, 室温孵育1小时. |
储存
| 储存条件 | 在-20℃下储存一年, 避免反复冻融. |
| 储存缓冲液 | 含0.15% ProClin300防腐剂, 100 μg/mL牛血清白蛋白和50%甘油的磷酸盐缓冲液. |
注意:
1.本产品仅供研究使用.
2.建议用一抗稀释液(G2025)稀释本产品.
服务推荐
| 货号 | 名称 | 规格 | 价格 | 操作 |
|---|
产品推荐
| 货号 | 名称 | 规格 | 价格 | 操作 |
|---|

