
Anti-IRAK1-binding protein 1 Rabbit pAb
¥1650
货号:YB115361-100
品牌:YIKE
规格:
- 100 μL
数量:
产品信息
|
蛋白质全称 |
白细胞介素-1受体相关激酶1结合蛋白1 |
|
别名 |
ActA binding protein 3, AIP70, IRAK1-binding protein 1, SIMPL |
|
Uniprot ID |
Q9ESJ7 |
|
免疫原 |
KLH偶联的小鼠IRAK1-binding protein 1合成肽 |
|
抗体亚型 |
IgG |
|
纯化方式 |
亲和纯化 |
|
亚细胞定位 |
细胞质, 细胞核 |
应用
| 应用 | 物种 | 稀释 | 阳性样品 |
| IHC/IF 免疫组织化学/免疫荧光 | 小鼠, 大鼠 | 1: 1000-1: 2000 | 睾丸 |
背景
Component of the IRAK1-dependent TNFRSF1A signaling pathway that leads to NF-kappa-B activation and is required for cell survival. Acts by enhancing RELA transcriptional activity.
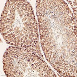
图像
|
|
IHC检测IRAK1-binding protein 1蛋白(货号 GB115350). 样品: 小鼠睾丸, 4%多聚甲醛 (货号G1101) 固定12-24小时. 抗原修复: Tris-EDTA抗原修复液(pH 9.0) (G1203), 98℃, 20分钟. —抗: 1: 1000稀释, 4℃ 孵育过夜. 二抗: HRP标记山羊抗兔IgG (H+L) (货号GB23303), 1: 200稀释, 室温孵育1小时. |
|
|
IHC检测IRAK1-binding protein 1蛋白(货号 GB115350). 样品: 大鼠睾丸, 4%多聚甲醛 (货号G1101) 固定12-24小时. 抗原修复: Tris-EDTA抗原修复液(pH 9.0) (G1203), 98℃, 20分钟. —抗: 1: 1000稀释, 4℃ 孵育过夜. 二抗: HRP标记山羊抗兔IgG (H+L) (货号GB23303), 1: 200稀释, 室温孵育1小时. |
储存
| 储存条件 | 在-20℃下储存一年, 避免反复冻融. |
| 储存缓冲液 | 含0.15% ProClin300防腐剂, 100 μg/mL牛血清白蛋白和50%甘油的磷酸盐缓冲液. |
注意:
1.本产品仅供研究使用.
2.建议用一抗稀释液(G2025)稀释本产品.
服务推荐
| 货号 | 名称 | 规格 | 价格 | 操作 |
|---|
产品推荐
| 货号 | 名称 | 规格 | 价格 | 操作 |
|---|

