
Anti-RPL23 Rabbit pAb
- 50 μL
产品信息
|
蛋白质全称 |
60S核糖体蛋白L23 |
|
别名 |
60S ribosomal protein L17, ribosomal protein L23, rpL17, RPL23, L23 |
|
Uniprot ID |
P62830 |
|
免疫原 |
小鼠RPL23重组蛋白 |
|
抗体亚型 |
IgG |
|
纯化方式 |
亲和纯化 |
|
亚细胞定位 |
细胞核, 细胞质 |
应用
| 应用 | 物种 | 稀释 | 阳性样品 |
| IHC/IF 免疫组织化学/免疫荧光 | 大鼠 | 1: 400-1: 800 | 结肠, 直肠 |
背景
Ribosomes, the organelles that catalyze protein synthesis, consist of a small 40S subunit and a large 60S subunit. Together these subunits are composed of 4 RNA species and approximately 80 structurally distinct proteins . RPL23 is a component of the 60 S large ribosomal subunit that interacts functionally with murine double minute 2 protein (MDM2 or HDM2 in humans). Upon binding to MDM2, RPL23 inhibits MDM2-mediated p53 degradation, thus activating p53 and inducing cellular apoptosis .
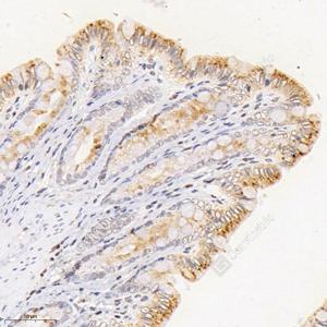
图像
|
|
IHC检测RPL23蛋白(货号 GB113184). 样品: 大鼠结肠, 4%多聚甲醛 (货号G1101) 固定12-24小时. 抗原修复: 柠檬酸抗原修复液(干粉, pH 6.0) (G1201), 98℃, 20分钟. —抗: 1: 800稀释, 4℃ 孵育过夜. 二抗: HRP标记山羊抗兔IgG (H+L) (货号GB23303), 1: 200稀释, 室温孵育1小时. |
|
|
IHC检测RPL23蛋白(货号 GB113184). 样品: 大鼠直肠, 4%多聚甲醛 (货号G1101) 固定12-24小时. 抗原修复: 柠檬酸抗原修复液(干粉, pH 6.0) (G1201), 98℃, 20分钟. —抗: 1: 800稀释, 4℃ 孵育过夜. 二抗: HRP标记山羊抗兔IgG (H+L) (货号GB23303), 1: 200稀释, 室温孵育1小时. |
储存
| 储存条件 | 在-20℃下储存一年, 避免反复冻融. |
| 储存缓冲液 | 含0.15% ProClin300防腐剂, 100 μg/mL牛血清白蛋白和50%甘油的磷酸盐缓冲液. |
注意:
1.本产品仅供研究使用.
2.建议用一抗稀释液(G2025)稀释本产品.
| 货号 | 名称 | 规格 | 价格 | 操作 |
|---|
| 货号 | 名称 | 规格 | 价格 | 操作 |
|---|

