
Anti-MRPL12 Rabbit pAb
- 50 μL
产品信息
|
蛋白质全称 |
线粒体39S核糖体蛋白L12 |
|
别名 |
L12mt, MRP-L12, 5c5-2, Mitochondrial large ribosomal subunit protein bL12m, MRPL12, MRPL7, RPML12, Rpml12, Mrpl12 |
|
Uniprot ID |
Q9DB15 |
|
免疫原 |
小鼠MRPL12重组蛋白 |
|
抗体亚型 |
IgG |
|
纯化方式 |
亲和纯化 |
|
亚细胞定位 |
线粒体 |
应用
| 应用 | 物种 | 稀释 | 阳性样品 |
| IHC/IF 免疫组织化学/免疫荧光 | 大鼠 | 1: 1800-1: 3600 | 结肠 |
| ICC/IF 免疫细胞化学/免疫荧光 | 人, 小鼠, 大鼠 | 1: 100-1: 400 | HeLa细胞, NIH 3T3细胞 |
背景
MRPL12 is a component of the 39S subunit of mammalian mitochondrial ribosomes, and is encoded by a nuclear gene. The protein forms a homodimer, localizes predominantly to mitochondria and binds to the large mitochondrial ribosomal subunit. It is required for CycD/Cdk4- induced cell growth. In addition, forming a ribosomal stalk with MRPL7, MRPL12 is required for the recruitment of translation elongation factors Tu and G to the large ribosomal subunit . It also a part of a novel regulatory mechanism that coordinates mitochondrial transcription with translation and/or ribosome biogenesis during human mitochondrial gene expression.
图像
|
|
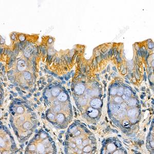
IHC检测MRPL12蛋白(货号 GB112124). 样品: 大鼠结肠, 4%多聚甲醛 (货号G1101) 固定12-24小时. 抗原修复: 柠檬酸抗原修复液(干粉, pH 6.0) (G1201), 98℃, 20分钟. —抗: 1: 1800稀释, 4℃ 孵育过夜. 二抗: HRP标记山羊抗兔IgG (H+L) (货号GB23303), 1: 200稀释, 室温孵育1小时. |
|
|
ICC检测MRPL12蛋白(货号 GB112124)(红色). 样品: Hela细胞, 4%多聚甲醛 (货号G1101) 固定20分钟. 封闭: 3% BSA(货号GC305010)的PBS溶液, 室温孵育30分钟. —抗: 1: 100稀释, 4℃ 孵育过夜. 二抗: Cy3标记山羊抗兔IgG (H+L) (货号GB21303), 1: 300稀释, 室温孵育1小时. |
|
|
ICC检测MRPL12蛋白(货号 GB112124)(红色). 样品: NIH-3T3细胞, 4%多聚甲醛 (货号G1101) 固定20分钟. 封闭: 3% BSA(货号GC305010)的PBS溶液, 室温孵育30分钟. —抗: 1: 100稀释, 4℃ 孵育过夜. 二抗: Cy3标记山羊抗兔IgG (H+L) (货号GB21303), 1: 300稀释, 室温孵育1小时. |
储存
| 储存条件 | 在-20℃下储存一年, 避免反复冻融. |
| 储存缓冲液 | 含0.15% ProClin300防腐剂, 100 μg/mL牛血清白蛋白和50%甘油的磷酸盐缓冲液. |
注意:
1.本产品仅供研究使用.
2.建议用一抗稀释液(G2025)稀释本产品.
| 货号 | 名称 | 规格 | 价格 | 操作 |
|---|
| 货号 | 名称 | 规格 | 价格 | 操作 |
|---|


