
Anti-SMP30 Rabbit pAb
¥0
货号:YB111769-100
品牌:YIKE
规格:
- 100 μL
数量:
产品信息
蛋白质全称 | 钙调素结合蛋白 |
别名 | RC, Gluconolactonase, GNL, Senescence marker protein 30, SMP-30, Rgn, Smp30 |
Uniprot ID | Q64374 |
免疫原 | 小鼠SMP30重组蛋白 |
抗体亚型 | IgG |
纯化方式 | 亲和纯化 |
亚细胞定位 | 细胞质 |
应用
| 应用 | 物种 | 稀释 | 阳性样品 |
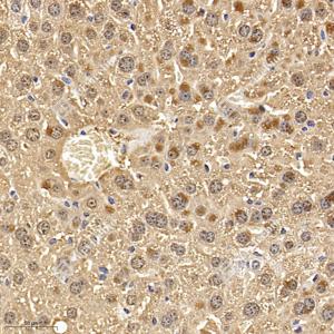
| IHC/IF 免疫组织化学/免疫荧光 | 小鼠 | 1: 700-1: 1400 | 肝 |
背景
Regucalcin (RGN), also known as SMP30, is a highly conserved, calcium-binding protein, that is preferentially expressed in the liver and kidney. SMP30 is preferentially localized in hepatocytes and renal proximal tubular epithelial cells. It is known to be related to aging, hepatocyte proliferation and tumorigenesis. It may be useful for HCC serologic screening, especially for the patients with AFP Negative. RGN encodes two isoforms: 33 kDa and 25 kDa.
图像
| IHC检测SMP30蛋白(货号 GB111758). 样品: 小鼠肝, 4%多聚甲醛 (货号G1101) 固定12-24小时. 抗原修复: 柠檬酸抗原修复液(干粉, pH 6.0) (G1201), 98℃, 20分钟. —抗: 1: 700稀释, 4℃ 孵育过夜. 二抗: HRP标记山羊抗兔IgG (H+L) (货号GB23303), 1: 200稀释, 室温孵育1小时. |
储存
| 储存条件 | 在-20℃下储存一年, 避免反复冻融. |
| 储存缓冲液 | 含0.15% ProClin300防腐剂, 100 μg/mL牛血清白蛋白和50%甘油的磷酸盐缓冲液. |
注意:
1.本产品仅供研究使用.
2.建议用一抗稀释液(G2025)稀释本产品.
服务推荐
| 货号 | 名称 | 规格 | 价格 | 操作 |
|---|
产品推荐
| 货号 | 名称 | 规格 | 价格 | 操作 |
|---|

