
Anti-Scramblase 1 Rabbit pAb
- 100 μL
产品信息
蛋白质全称 | 磷脂翻转酶1 |
别名 | MMTRA1B, phospholipid scramblase 1, PL scramblase 1, PLSCR1, NOR1, TRA1, Tra1b, Tras1, Transplantability-associated protein 1, Mg(2+)-dependent nuclease, Ca(2+)-dependent phospholipid scramblase 1 |
Uniprot ID | |
免疫原 | KLH偶联的小鼠PLSCR1合成肽 |
抗体亚型 | IgG |
预测分子量./观测分子量. | 36 kDa / 36 kDa |
纯化方式 | 亲和纯化 |
亚细胞定位 | 细胞膜, 细胞质, 细胞核 |
应用
| 应用 | 物种 | 稀释 | 阳性样品 |
| WB 免疫印迹 | 人, 小鼠 | 1: 1000-1: 3000 | 肺, 脾 |
| IHC/IF 免疫组织化学/免疫荧光 | 小鼠 | 1: 500-1: 1500 | 睾丸, 十二指肠 |
背景
Catalyzes calcium-induced ATP-independent rapid bidirectional and non-specific distribution of phospholipids (lipid scrambling or lipid flip-flop) between the inner and outer leaflet of the plasma membrane resulting in collapse of the phospholipid asymmetry which leads to phosphatidylserine externalization on the cell surface .Mediates calcium-dependent phosphatidylserine externalization and apoptosis in neurons via its association with TRPC5 .
图像
| WB检测Scramblase 1蛋白(货号 GB113827). 样品: 经RIPA裂解液(货号G2002)处理的蛋白质. 封闭: 3%脱脂牛奶(货号GC310001)溶于TBST溶液, 室温孵育1小时. —抗: 1: 3000稀释, 4℃ 孵育过夜. 二抗: HRP标记山羊抗兔IgG (H+L) (货号GB23303), 1: 5000稀释, 室温孵育1小时. |
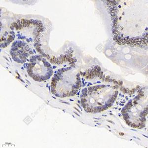
| IHC检测Scramblase 1蛋白(货号 GB113827). 样品: 小鼠十二指肠, 4%多聚甲醛 (货号G1101) 固定12-24小时. 抗原修复: 柠檬酸抗原修复液(干粉, pH 6.0) (G1201), 98℃, 20分钟. —抗: 1: 1200稀释, 4℃ 孵育过夜. 二抗: HRP标记山羊抗兔IgG (H+L) (货号GB23303), 1: 200稀释, 室温孵育1小时. |
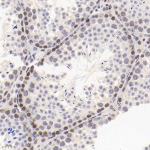
| IHC检测Scramblase 1蛋白(货号 GB113827). 样品: 小鼠睾丸, 4%多聚甲醛 (货号G1101) 固定12-24小时. 抗原修复: 柠檬酸抗原修复液(干粉, pH 6.0) (G1201), 98℃, 20分钟. —抗: 1: 1200稀释, 4℃ 孵育过夜. 二抗: HRP标记山羊抗兔IgG (H+L) (货号GB23303), 1: 200稀释, 室温孵育1小时. |
| IF检测Scramblase 1蛋白(货号 GB113827)(红色). 样品: 小鼠睾丸, 4%多聚甲醛 (货号G1101) 固定12-24小时. 抗原修复: Tris-EDTA抗原修复液(pH 9.0) (G1203), 98℃, 20分钟. 封闭: 3% BSA(货号GC305010)的PBS溶液, 室温孵育30分钟. —抗: 1: 500稀释, 4℃ 孵育过夜. 二抗: Cy3标记山羊抗兔IgG (H+L) (货号GB21303), 1: 300稀释, 室温孵育1小时. |
储存
| 储存条件 | 在-20℃下储存一年, 避免反复冻融. |
| 储存缓冲液 | 含0.15% ProClin300防腐剂, 100 μg/mL牛血清白蛋白和50%甘油的磷酸盐缓冲液. |
注意:
1.本产品仅供研究使用.
2.建议用一抗稀释液(G2025)稀释本产品.
| 货号 | 名称 | 规格 | 价格 | 操作 |
|---|
| 货号 | 名称 | 规格 | 价格 | 操作 |
|---|




