
Anti-S100 alpha Rabbit pAb
- 50 μL
产品信息
|
蛋白质全称 |
S100钙结合蛋白A1 |
|
别名 |
Protein S100 A1, S 100 protein alpha chain, S 100 protein subunit alpha, S100, S100 alpha, S100A, S100A1 |
|
Uniprot ID |
P56565 |
|
免疫原 |
KLH偶联的小鼠S100A1合成肽 |
|
抗体亚型 |
IgG |
|
纯化方式 |
亲和纯化 |
|
亚细胞定位 |
细胞质, 线粒体 |
应用
| 应用 | 物种 | 稀释 | 阳性样品 |
| IHC/IF 免疫组织化学/免疫荧光 | 人, 小鼠, 大鼠 | 1: 200-1: 400 | 肾, 脑, 肺, 心 |
背景
Small calcium binding protein that plays important roles in several biological processes such as Ca(2+) homeostasis, chondrocyte biology and cardiomyocyte regulation. In response to an increase in intracellular Ca(2+) levels, binds calcium which triggers conformational changes. These changes allow interactions with specific target proteins and modulate their activity. Regulates a network in cardiomyocytes controlling sarcoplasmic reticulum Ca(2+) cycling and mitochondrial function through interaction with the ryanodine receptors RYR1 and RYR2, sarcoplasmic reticulum Ca(2+)-ATPase/ATP2A2 and mitochondrial F1-ATPase. Facilitates diastolic Ca(2+) dissociation and myofilament mechanics in order to improve relaxation during diastole (By similarity).
图像
|
|
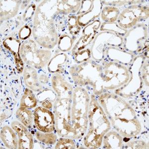
IHC检测S100 alpha蛋白(货号 GB115508). 样品: 人肾, 4%多聚甲醛 (货号G1101) 固定12-24小时. 抗原修复: Tris-EDTA抗原修复液(pH 9.0) (G1203), 98℃, 20分钟. —抗: 1: 200稀释, 4℃ 孵育过夜. 二抗: HRP标记山羊抗兔IgG (H+L) (货号GB23303), 1: 200稀释, 室温孵育1小时. |
|
|
IHC检测S100 alpha蛋白(货号 GB115508). 样品: 小鼠脑, 4%多聚甲醛 (货号G1101) 固定12-24小时. 抗原修复: Tris-EDTA抗原修复液(pH 9.0) (G1203), 98℃, 20分钟. —抗: 1: 200稀释, 4℃ 孵育过夜. 二抗: HRP标记山羊抗兔IgG (H+L) (货号GB23303), 1: 200稀释, 室温孵育1小时. |
|
|
IHC检测S100 alpha蛋白(货号 GB115508). 样品: 小鼠心, 4%多聚甲醛 (货号G1101) 固定12-24小时. 抗原修复: Tris-EDTA抗原修复液(pH 9.0) (G1203), 98℃, 20分钟. —抗: 1: 200稀释, 4℃ 孵育过夜. 二抗: HRP标记山羊抗兔IgG (H+L) (货号GB23303), 1: 200稀释, 室温孵育1小时. |
|
|
IHC检测S100 alpha蛋白(货号 GB115508). 样品: 大鼠肺, 4%多聚甲醛 (货号G1101) 固定12-24小时. 抗原修复: Tris-EDTA抗原修复液(pH 9.0) (G1203), 98℃, 20分钟. —抗: 1: 200稀释, 4℃ 孵育过夜. 二抗: HRP标记山羊抗兔IgG (H+L) (货号GB23303), 1: 200稀释, 室温孵育1小时. |
储存
| 储存条件 | 在-20℃下储存一年, 避免反复冻融. |
| 储存缓冲液 | 含0.15% ProClin300防腐剂, 100 μg/mL牛血清白蛋白和50%甘油的磷酸盐缓冲液. |
注意:
1.本产品仅供研究使用.
2.建议用一抗稀释液(G2025)稀释本产品.
| 货号 | 名称 | 规格 | 价格 | 操作 |
|---|
| 货号 | 名称 | 规格 | 价格 | 操作 |
|---|




