
Anti-DMBT1 Rabbit pAb
- 50 μL
产品信息
|
蛋白质全称 |
恶性脑瘤缺失蛋白1 |
|
别名 |
Apactin, CRP-ductin, Glycoprotein 300, gp300, Hensin, Mucin-like glycoprotein, Muclin, Vomeroglandin, p80, Dmbt1, Crpd |
|
Uniprot ID |
Q60997 |
|
免疫原 |
KLH偶联的小鼠DMBT1合成肽 |
|
抗体亚型 |
IgG |
|
纯化方式 |
亲和纯化 |
|
亚细胞定位 |
分泌型 |
应用
| 应用 | 物种 | 稀释 | 阳性样品 |
| IHC/IF 免疫组织化学/免疫荧光 | 人, 小鼠 | 1: 500-1: 1000 | 胆管癌, 十二指肠, 胃 |
背景
Deleted in malignant brain tumors 1 (DMBT1), also known as the salivary scavenger and agglutinin (SALSA), salivary agglutinin (SAG) or gp340, is a multifunctional molecule with important functions in innate immunity, inflammation and epithelial homeostasis . DMBT1 has some isoforms with the molecular weight of 193, 260 and 340 kDa.
图像
|
|
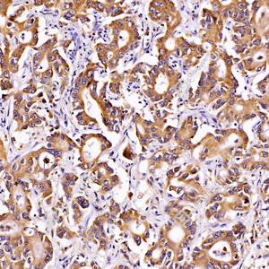
IHC检测DMBT1蛋白(货号 GB112927). 样品: 人胆管癌, 4%多聚甲醛 (货号G1101) 固定12-24小时. 抗原修复: Tris-EDTA抗原修复液(pH 9.0) (G1203), 98℃, 20分钟. —抗: 1: 500稀释, 4℃ 孵育过夜. 二抗: HRP标记山羊抗兔IgG (H+L) (货号GB23303), 1: 200稀释, 室温孵育1小时. |
|
|
IHC检测DMBT1蛋白(货号 GB112927). 样品: 人胃癌, 4%多聚甲醛 (货号G1101) 固定12-24小时. 抗原修复: Tris-EDTA抗原修复液(pH 9.0) (G1203), 98℃, 20分钟. —抗: 1: 500稀释, 4℃ 孵育过夜. 二抗: HRP标记山羊抗兔IgG (H+L) (货号GB23303), 1: 200稀释, 室温孵育1小时. |
|
|
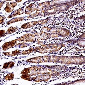
IHC检测DMBT1蛋白(货号 GB112927). 样品: 小鼠十二指肠, 4%多聚甲醛 (货号G1101) 固定12-24小时. 抗原修复: Tris-EDTA抗原修复液(pH 9.0) (G1203), 98℃, 20分钟. —抗: 1: 500稀释, 4℃ 孵育过夜. 二抗: HRP标记山羊抗兔IgG (H+L) (货号GB23303), 1: 200稀释, 室温孵育1小时. |
|
|
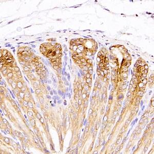
IHC检测DMBT1蛋白(货号 GB112927). 样品: 小鼠胃, 4%多聚甲醛 (货号G1101) 固定12-24小时. 抗原修复: Tris-EDTA抗原修复液(pH 9.0) (G1203), 98℃, 20分钟. —抗: 1: 600稀释, 4℃ 孵育过夜. 二抗: HRP标记山羊抗兔IgG (H+L) (货号GB23303), 1: 200稀释, 室温孵育1小时. |
储存
| 储存条件 | 在-20℃下储存一年, 避免反复冻融. |
| 储存缓冲液 | 含0.15% ProClin300防腐剂, 100 μg/mL牛血清白蛋白和50%甘油的磷酸盐缓冲液. |
注意:
1.本产品仅供研究使用.
2.建议用一抗稀释液(G2025)稀释本产品.
| 货号 | 名称 | 规格 | 价格 | 操作 |
|---|
| 货号 | 名称 | 规格 | 价格 | 操作 |
|---|




