
Anti-PPIL2 Rabbit pAb
- 50 μL
产品信息
|
蛋白质全称 |
RING型E3泛素连接酶PPIL2 |
|
别名 |
CYC4, Cyclophilin 60, Cyp 60, CYP60, hCyP 60, PPIase, PPIL2, Rotamase PPIL2 |
|
Uniprot ID |
Q9D787 |
|
免疫原 |
KLH偶联的小鼠PPIL2合成肽 |
|
抗体亚型 |
IgG |
|
纯化方式 |
亲和纯化 |
|
亚细胞定位 |
细胞核 |
应用
| 应用 | 物种 | 稀释 | 阳性样品 |
| IHC/IF 免疫组织化学/免疫荧光 | 小鼠 | 1: 1800-1: 3600 | 胰腺, 睾丸, 胸腺 |
背景
Has a ubiquitin-protein ligase activity acting as an E3 ubiquitin protein ligase or as an ubiquitin-ubiquitin ligase promoting elongation of ubiquitin chains on substrates. By mediating 'Lys-48'-linked polyubiquitination of proteins could target them for proteasomal degradation. May also function as a chaperone, playing a role in transport to the cell membrane of BSG/Basigin for instance. Probable inactive PPIase with no peptidyl-prolyl cis-trans isomerase activity.
图像
|
|
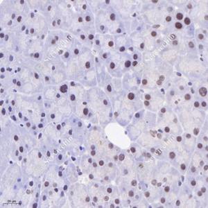
IHC检测PPIL2蛋白(货号 GB113286). 样品: 小鼠胰腺, 4%多聚甲醛 (货号G1101) 固定12-24小时. 抗原修复: Tris-EDTA抗原修复液(pH 9.0) (G1203), 98℃, 20分钟. —抗: 1: 1800稀释, 4℃ 孵育过夜. 二抗: HRP标记山羊抗兔IgG (H+L) (货号GB23303), 1: 200稀释, 室温孵育1小时. |
|
|
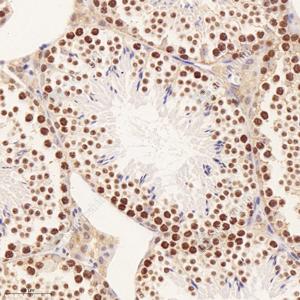
IHC检测PPIL2蛋白(货号 GB113286). 样品: 小鼠睾丸, 4%多聚甲醛 (货号G1101) 固定12-24小时. 抗原修复: Tris-EDTA抗原修复液(pH 9.0) (G1203), 98℃, 20分钟. —抗: 1: 1800稀释, 4℃ 孵育过夜. 二抗: HRP标记山羊抗兔IgG (H+L) (货号GB23303), 1: 200稀释, 室温孵育1小时. |
|
|
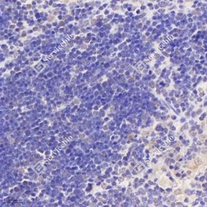
IHC检测PPIL2蛋白(货号 GB113286). 样品: 小鼠胸腺, 4%多聚甲醛 (货号G1101) 固定12-24小时. 抗原修复: Tris-EDTA抗原修复液(pH 9.0) (G1203), 98℃, 20分钟. —抗: 1: 1800稀释, 4℃ 孵育过夜. 二抗: HRP标记山羊抗兔IgG (H+L) (货号GB23303), 1: 200稀释, 室温孵育1小时. |
储存
| 储存条件 | 在-20℃下储存一年, 避免反复冻融. |
| 储存缓冲液 | 含0.15% ProClin300防腐剂, 100 μg/mL牛血清白蛋白和50%甘油的磷酸盐缓冲液. |
注意:
1.本产品仅供研究使用.
2.建议用一抗稀释液(G2025)稀释本产品.
| 货号 | 名称 | 规格 | 价格 | 操作 |
|---|
| 货号 | 名称 | 规格 | 价格 | 操作 |
|---|



