
Anti-PDIA6 Rabbit pAb
- 100 μL
产品信息
|
蛋白质全称 |
蛋白二硫键异构酶A6 |
|
别名 |
Pdia6, PDIA6, ERp5, ER protein 5, Endoplasmic reticulum protein 5, TXNDC7, Thioredoxin domain containing protein 7, Protein disulfide isomerase family A member 6, Thioredoxin domain-containing protein 7, Txndc7 |
|
Uniprot ID |
Q922R8 |
|
免疫原 |
KLH偶联的小鼠PDIA6合成肽 |
|
抗体亚型 |
IgG |
|
预测分子量./观测分子量. |
48 kDa / 48 kDa |
|
纯化方式 |
亲和纯化 |
|
亚细胞定位 |
细胞膜, 细胞质 |
应用
| 应用 | 物种 | 稀释 | 阳性样品 |
| WB 免疫印迹 | 人, 小鼠, 大鼠 | 1: 500-1: 1000 | 心, 肝, 脑 |
| IHC/IF 免疫组织化学/免疫荧光 | 人, 小鼠, 大鼠 | 1: 500-1: 2000 | 阑尾 纹状体,海马区 |
背景
PDIA6(Protein disulfide-isomerase A6) is also named as ERP5, P5, TXNDC7 and belongs to the protein disulfide isomerase family.It is one of the endoplasmic reticulum (ER) resident proteins that catalyze formation, reduction, and isomerization of disulfide bonds in proteins and are thought to play a role in folding of disulfide-bonded proteins.May function as a chaperone that inhibits aggregation of misfolded proteins. Plays a role in platelet aggregation and activation by agonists such as convulxin, collagen and thrombin.
图像
|
|
WB检测PDIA6蛋白(货号 GB11913). 样品: 经RIPA裂解液(货号G2002)处理的蛋白质. 封闭: 3%脱脂牛奶(货号GC310001)溶于TBST溶液, 室温孵育1小时. —抗: 1: 500稀释, 4℃ 孵育过夜. 二抗: HRP标记山羊抗兔IgG (H+L) (货号GB23303), 1: 5000稀释, 室温孵育1小时. |
|
|
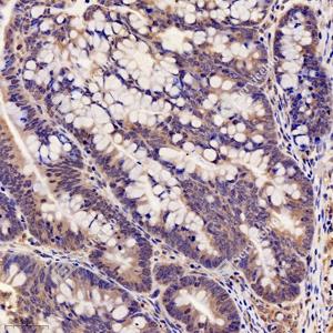
IHC检测PDIA6蛋白(货号 GB11913). 样品: 大鼠肿瘤, 4%多聚甲醛 (货号G1101) 固定12-24小时. 抗原修复: 柠檬酸抗原修复液(干粉, pH 6.0) (G1201), 98℃, 20分钟. —抗: 1: 500稀释, 4℃ 孵育过夜. 二抗: HRP标记山羊抗兔IgG (H+L) (货号GB23303), 1: 200稀释, 室温孵育1小时. |
|
|
IF检测PDIA6蛋白(货号 GB11913)(红色). 样品: 人肺癌, 4%多聚甲醛 (货号G1101) 固定12-24小时. 抗原修复: Tris-EDTA抗原修复液(pH 9.0) (G1203), 98℃, 20分钟. 封闭: 3% BSA(货号GC305010)的PBS溶液, 室温孵育30分钟. —抗: 1: 1000稀释, 4℃ 孵育过夜. 二抗: Cy3标记山羊抗兔IgG (H+L) (货号GB21303), 1: 300稀释, 室温孵育1小时. |
|
|
IF检测PDIA6蛋白(货号 GB11913)(红色). 样品: 小鼠纹状体, 4%多聚甲醛 (货号G1101) 固定12-24小时. 抗原修复: Tris-EDTA抗原修复液(pH 9.0) (G1203), 98℃, 20分钟. 封闭: 3% BSA(货号GC305010)的PBS溶液, 室温孵育30分钟. —抗: 1: 1000稀释, 4℃ 孵育过夜. 二抗: Cy3标记山羊抗兔IgG (H+L) (货号GB21303), 1: 300稀释, 室温孵育1小时. |
|
|
IF检测PDIA6蛋白(货号 GB11913)(红色). 样品: 大鼠阑尾, 4%多聚甲醛 (货号G1101) 固定12-24小时. 抗原修复: Tris-EDTA抗原修复液(pH 9.0) (G1203), 98℃, 20分钟. 封闭: 3% BSA(货号GC305010)的PBS溶液, 室温孵育30分钟. —抗: 1: 1000稀释, 4℃ 孵育过夜. 二抗: Cy3标记山羊抗兔IgG (H+L) (货号GB21303), 1: 300稀释, 室温孵育1小时. |
储存
| 储存条件 | 在-20℃下储存一年, 避免反复冻融. |
| 储存缓冲液 | 含0.15% ProClin300防腐剂, 100 μg/mL牛血清白蛋白和50%甘油的磷酸盐缓冲液. |
注意:
1.本产品仅供研究使用.
2.建议用一抗稀释液(G2025)稀释本产品.
| 货号 | 名称 | 规格 | 价格 | 操作 |
|---|
| 货号 | 名称 | 规格 | 价格 | 操作 |
|---|





