
Anti-HSPA6 Rabbit pAb
- 50 μL
产品信息
|
蛋白质全称 |
热休克70kDa蛋白6 |
|
别名 |
Heat shock 70 kDa protein B', HSPA6, Heat shock 70 kDa protein 6, HSP70B-Prime, OTTHUMP00000032372 |
|
Uniprot ID |
P17066 |
|
免疫原 |
小鼠HSPA6重组蛋白 |
|
抗体亚型 |
IgG |
|
预测分子量./观测分子量. |
71 kDa / 71 kDa |
|
纯化方式 |
亲和纯化 |
|
亚细胞定位 |
细胞质, 细胞骨架, 分泌型, 细胞核, 细胞膜 |
应用
| 应用 | 物种 | 稀释 | 阳性样品 |
| WB 免疫印迹 | 人, 小鼠, 大鼠 | 1: 500-1: 1000 | 心, 脑, 肝 |
| IHC/IF 免疫组织化学/免疫荧光 | 小鼠, 大鼠 | 1: 500-1: 2000 | 肺 |
背景
HSPA6 (also known as HSP70B) is a member of the HSPA (HSP70) family of heat-shock proteins which are highly conserved chaperons implicated in protein folding, protein refolding, protein transport, and protein targeting. Human HSP70B is known to be strictly inducible and shows very low or no basal expression levels in most cells. HSPA6 induction has been exploited as a reasonable biomarker of cellular stresses and its mRNA expression levels have been shown to be significantly induced against a variety of cellular stresses.
图像
|
|
WB检测HSPA6蛋白(货号 GB111660). 样品: 经RIPA裂解液(货号G2002)处理的蛋白质. 封闭: 3%脱脂牛奶(货号GC310001)溶于TBST溶液, 室温孵育1小时. —抗: 1: 500稀释, 4℃ 孵育过夜. 二抗: HRP标记山羊抗兔IgG (H+L) (货号GB23303), 1: 5000稀释, 室温孵育1小时. |
|
|
WB检测HSPA6蛋白(货号 GB111660). 样品: 经RIPA裂解液(货号G2002)处理的蛋白质. 封闭: 3%脱脂牛奶(货号GC310001)溶于TBST溶液, 室温孵育1小时. —抗: 1: 500稀释, 4℃ 孵育过夜. 二抗: HRP标记山羊抗兔IgG (H+L) (货号GB23303), 1: 5000稀释, 室温孵育1小时. |
|
|
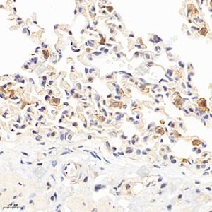
IHC检测HSPA6蛋白(货号 GB111660). 样品: 小鼠肺, 4%多聚甲醛 (货号G1101) 固定12-24小时. 抗原修复: 柠檬酸抗原修复液(干粉, pH 6.0) (G1201), 98℃, 20分钟. —抗: 1: 1000稀释, 4℃ 孵育过夜. 二抗: HRP标记山羊抗兔IgG (H+L) (货号GB23303), 1: 200稀释, 室温孵育1小时. |
|
|
IHC检测HSPA6蛋白(货号 GB111660). 样品: 大鼠肺, 4%多聚甲醛 (货号G1101) 固定12-24小时. 抗原修复: 柠檬酸抗原修复液(干粉, pH 6.0) (G1201), 98℃, 20分钟. —抗: 1: 1000稀释, 4℃ 孵育过夜. 二抗: HRP标记山羊抗兔IgG (H+L) (货号GB23303), 1: 200稀释, 室温孵育1小时. |
储存
| 储存条件 | 在-20℃下储存一年, 避免反复冻融. |
| 储存缓冲液 | 含0.15% ProClin300防腐剂, 100 μg/mL牛血清白蛋白和50%甘油的磷酸盐缓冲液. |
注意:
1.本产品仅供研究使用.
2.建议用一抗稀释液(G2025)稀释本产品.
| 货号 | 名称 | 规格 | 价格 | 操作 |
|---|
| 货号 | 名称 | 规格 | 价格 | 操作 |
|---|




