
Anti-USP13 Rabbit pAb
- 100 μL
产品信息
|
蛋白质全称 |
泛素羧基末端水解酶13 |
|
别名 |
Deubiquitinating enzyme 13, Ubiquitin thioesterase 13, Ubiquitin-specific-processing protease 13, Isopeptidase T 3, ISOT3 |
|
Uniprot ID |
Q5BKP2 |
|
免疫原 |
小鼠 USP13重组蛋白 |
|
抗体亚型 |
IgG |
|
纯化方式 |
亲和纯化 |
|
亚细胞定位 |
细胞核, 细胞质 |
应用
| 应用 | 物种 | 稀释 | 阳性样品 |
| IHC/IF 免疫组织化学/免疫荧光 | 大鼠 | 1: 600-1: 1400 | 结肠 |
背景
USP13(Ubiquitin carboxyl-terminal hydrolase 13) is also named as ISOT3 and belongs to the peptidase C19 family. It is involved in ubiquitin-dependent protein catabolism. USP13 is responsible for MITF deubiquitination, utilizing a short hairpin RNA library against known deubiquitinating enzymes. This protein has 2 isoforms produced by alternative splicing. Modification of target proteins by ubiquitin participates in a wide array of biological functions. Proteins destined for degradation or processing via the 26 S proteasome are coupled to multiple copies of ubiquitin.
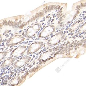
图像
|
|
IHC检测USP13蛋白(货号 GB111668). 样品: 大鼠结肠, 4%多聚甲醛 (货号G1101) 固定12-24小时. 抗原修复: 柠檬酸抗原修复液(干粉, pH 6.0) (G1201), 98℃, 20分钟. —抗: 1: 700稀释, 4℃ 孵育过夜. 二抗: HRP标记山羊抗兔IgG (H+L) (货号GB23303), 1: 200稀释, 室温孵育1小时. |
储存
| 储存条件 | 在-20℃下储存一年, 避免反复冻融. |
| 储存缓冲液 | 含0.15% ProClin300防腐剂, 100 μg/mL牛血清白蛋白和50%甘油的磷酸盐缓冲液. |
注意:
1.本产品仅供研究使用.
2.建议用一抗稀释液(G2025)稀释本产品.
| 货号 | 名称 | 规格 | 价格 | 操作 |
|---|
| 货号 | 名称 | 规格 | 价格 | 操作 |
|---|

