
Recombinant Anti-Macrophage Inflammatory Protein 1 alpha/CCL3 antibody (Mouse mAb)
- 50 μL
产品信息
|
蛋白质全称 |
C-C基序趋化因子3 |
|
别名 |
Ccl3, CCL3, G0S19-1, LD78ALPHA, MIP-1-alpha, MIP1A, SCYA3, C-C motif chemokine ligand 3, Macrophage Inflammatory Protein 1 alpha, Tonsillar lymphocyte LD78 alpha protein, MIP-1-alpha, L2G25B, SIS-alpha, Small-inducible cytokine A3, TY-5, Mip1a, Scya3 |
|
Uniprot ID |
P10855 |
|
免疫原 |
小鼠CCL3重组蛋白 |
|
抗体亚型 |
IgG1, κ |
|
克隆号 |
SB203 |
|
纯化方式 |
亲和纯化 |
|
亚细胞定位 |
分泌型 |
应用
| 应用 | 物种 | 稀释 | 阳性样品 |
| IHC/IF 免疫组织化学/免疫荧光 | 小鼠 | 1: 250-1: 1000 | 肺损伤, 脾, 肺损伤 |
背景
Monokine with inflammatory and chemokinetic properties. Binds to CCR1, CCR4 and CCR5. One of the major HIV-suppressive factors produced by CD8+ T-cells. Recombinant MIP-1-alpha induces a dose-dependent inhibition of different strains of HIV-1, HIV-2, and simian immunodeficiency virus (SIV).
图像
|
|
IHC检测Macrophage Inflammatory Protein 1 alpha/CCL3蛋白(货号 YB15698). 样品: 小鼠LPS诱导(24h)肝脏炎症模型, 4%多聚甲醛 (货号Y1112) 固定12-24小时. 抗原修复: 柠檬酸抗原修复液(干粉, pH 6.0) (Y1212), 高压锅均匀喷气计时2分钟. —抗: 1: 500稀释, 4℃ 孵育过夜. 二抗: S-vision免疫组化多聚二抗(山羊抗小鼠), 即用型(货号Y1312), 室温孵育20分钟. |
|
|
IHC检测Macrophage Inflammatory Protein 1 alpha/CCL3蛋白(货号 YB15698). 样品: 小鼠肺损伤, 4%多聚甲醛 (货号Y1112) 固定12-24小时. 抗原修复: 柠檬酸抗原修复液(干粉, pH 6.0) (Y1212), 高压锅均匀喷气计时2分钟. —抗: 1: 500稀释, 4℃ 孵育过夜. 二抗: S-vision免疫组化多聚二抗(山羊抗小鼠), 即用型(货号Y1312), 室温孵育20分钟. |
|
|
IHC检测Macrophage Inflammatory Protein 1 alpha/CCL3蛋白(货号 YB15698). 样品: 小鼠肺损伤, 4%多聚甲醛 (货号Y1112) 固定12-24小时. 抗原修复: 柠檬酸抗原修复液(干粉, pH 6.0) (Y1212), 高压锅均匀喷气计时2分钟. —抗: 1: 500稀释, 4℃ 孵育过夜. 二抗: S-vision免疫组化多聚二抗(山羊抗小鼠), 即用型(货号Y1312), 室温孵育20分钟. |
|
|
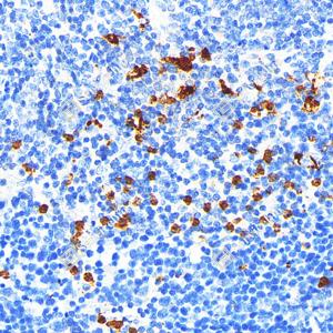
IHC检测Macrophage Inflammatory Protein 1 alpha/CCL3蛋白(货号 YB15698). 样品: 小鼠脾, 4%多聚甲醛 (货号Y1112) 固定12-24小时. 抗原修复: 柠檬酸抗原修复液(干粉, pH 6.0) (Y1212), 高压锅均匀喷气计时2分钟. —抗: 1: 500稀释, 4℃ 孵育过夜. 二抗: S-vision免疫组化多聚二抗(山羊抗小鼠), 即用型(货号Y1312), 室温孵育20分钟. |
|
|
IHC检测Macrophage Inflammatory Protein 1 alpha/CCL3蛋白(货号 YB15698). 样品: 小鼠脾, 4%多聚甲醛 (货号Y1112) 固定12-24小时. 抗原修复: 柠檬酸抗原修复液(干粉, pH 6.0) (Y1212), 高压锅均匀喷气计时2分钟. —抗: 1: 500稀释, 4℃ 孵育过夜. 二抗: S-vision免疫组化多聚二抗(山羊抗小鼠), 即用型(货号Y1312), 室温孵育20分钟. |
|
|
IHC检测Macrophage Inflammatory Protein 1 alpha/CCL3蛋白(货号 YB15698). 样品: 小鼠脾, 4%多聚甲醛 (货号Y1112) 固定12-24小时. 抗原修复: 柠檬酸抗原修复液(干粉, pH 6.0) (Y1212), 高压锅均匀喷气计时2分钟. —抗: 1: 500稀释, 4℃ 孵育过夜. 二抗: S-vision免疫组化多聚二抗(山羊抗小鼠), 即用型(货号Y1312), 室温孵育20分钟. |
|
|
IF检测Macrophage Inflammatory Protein 1 alpha/CCL3蛋白(货号 YB15698)(绿色). 样品: 小鼠LPS诱导(24h)肝脏炎症模型, 4%多聚甲醛 (货号Y1112) 固定12-24小时. 抗原修复: 柠檬酸抗原修复液(干粉, pH 6.0) (Y1212), 高压锅均匀喷气计时2分钟. 封闭: 3% BSA(货号YC305021)的PBS溶液, 室温孵育30分钟. —抗: 1: 500稀释, 4℃ 孵育过夜. 二抗: Alexa Fluor 488标记山羊抗小鼠IgG (H+L) (货号YB25312), 1: 400稀释, 室温孵育1小时. |
|
|
IF检测Macrophage Inflammatory Protein 1 alpha/CCL3蛋白(货号 YB15698)(绿色). 样品: 小鼠LPS诱导(24h)肺部炎症模型, 4%多聚甲醛 (货号Y1112) 固定12-24小时. 抗原修复: 柠檬酸抗原修复液(干粉, pH 6.0) (Y1212), 高压锅均匀喷气计时2分钟. 封闭: 3% BSA(货号YC305021)的PBS溶液, 室温孵育30分钟. —抗: 1: 500稀释, 4℃ 孵育过夜. 二抗: Alexa Fluor 488标记山羊抗小鼠IgG (H+L) (货号YB25312), 1: 400稀释, 室温孵育1小时. |
|
|
IF检测Macrophage Inflammatory Protein 1 alpha/CCL3蛋白(货号 YB15698)(绿色). 样品: 小鼠肺损伤, 4%多聚甲醛 (货号Y1112) 固定12-24小时. 抗原修复: 柠檬酸抗原修复液(干粉, pH 6.0) (Y1212), 高压锅均匀喷气计时2分钟. 封闭: 3% BSA(货号YC305021)的PBS溶液, 室温孵育30分钟. —抗: 1: 500稀释, 4℃ 孵育过夜. 二抗: Alexa Fluor 488标记山羊抗小鼠IgG (H+L) (货号YB25312), 1: 400稀释, 室温孵育1小时. |
储存
| 储存条件 | 在-20℃下储存一年, 避免反复冻融. |
| 储存缓冲液 | 含0.15% ProClin300防腐剂, 100 μg/mL牛血清白蛋白和50%甘油的磷酸盐缓冲液. |
注意:
1.本产品仅供研究使用.
2.建议用一抗稀释液(Y2036)稀释本产品.
| 货号 | 名称 | 规格 | 价格 | 操作 |
|---|
| 货号 | 名称 | 规格 | 价格 | 操作 |
|---|









