
Recombinant Anti-GAD65 antibody (Rabbit mAb)
- 50 μL
产品信息
|
蛋白质全称 |
谷氨酸脱羧酶2 |
|
别名 |
GAD2, GAD65, Glutamate decarboxylase 2, 65 kDa glutamic acid decarboxylase, DCE 2, Glutamic Acid Decarboxylase 2, Glutamic Acid Decarboxylase 65 |
|
Uniprot ID |
P48320 |
|
免疫原 |
小鼠GAD65重组蛋白 |
|
抗体亚型 |
IgG, κ |
|
克隆号 |
SB261 |
|
预测分子量./观测分子量. |
65 kDa / 65 kDa |
|
纯化方式 |
亲和纯化 |
|
亚细胞定位 |
细胞膜, 细胞质 |
应用
| 应用 | 物种 | 稀释 | 阳性样品 |
| WB 免疫印迹 | 人, 小鼠, 大鼠 | 1: 500-1: 1000 | 脑, 小脑, 大脑皮层 |
| IHC/IF 免疫组织化学/免疫荧光 | 人, 小鼠, 大鼠 | 1: 1000-1: 2000 | 脑, 胶质母细胞瘤, 胰腺 |
背景
Glutamate decarboxylase or glutamic acid decarboxylase (GAD) is an enzyme that catalyzes the decarboxylation of glutamate to GABA and CO2. GAD uses PLP as a cofactor. In mammals, GAD exists in two isoforms with molecular weights of 67 and 65 kDa (GAD67 and GAD65). GAD67 and GAD65 are expressed in the brain where GABA is used as a neurotransmitter, and they are also expressed in the insulin-producing β-cells of the pancreas. GAD65, synthesizes GABA for neurotransmission, and therefore is only necessary at nerve terminals and synapses. In order to aid in neurotransmission, GAD65 forms a complex with Heat Shock Cognate 70 (HSC70), cysteine string protein (CSP) and Vesicular GABA transporter VGAT, which, as a complex, helps package GABA into vesicles for release during neurotransmission.
图像
|
|
WB检测GAD65蛋白(货号 YB150039). 样品: 经RIPA裂解液(货号Y2013)处理的蛋白质. 封闭: 3%脱脂牛奶(货号YC310012)溶于TBST溶液, 室温孵育1小时. —抗: 1: 500稀释, 4℃ 孵育过夜. 二抗: HRP标记山羊抗兔IgG (H+L) (货号YB23314), 1: 5000稀释, 室温孵育1小时. |
|
|
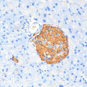
IHC检测GAD65蛋白(货号 YB150039). 样品: 人胰腺癌, 4%多聚甲醛 (货号Y1112) 固定12-24小时. 抗原修复: Tris-EDTA抗原修复液(pH 9.0) (Y1214), 98℃, 20分钟. —抗: 1: 2000稀释, 4℃ 孵育过夜. 二抗: S-vision免疫组化多聚二抗(山羊抗兔),即用型 (货号Y1313), 室温孵育20分钟. |
|
|
IHC检测GAD65蛋白(货号 YB150039). 样品: 小鼠脑, 4%多聚甲醛 (货号Y1112) 固定12-24小时. 抗原修复: Tris-EDTA抗原修复液(pH 9.0) (Y1214), 98℃, 20分钟. —抗: 1: 2000稀释, 4℃ 孵育过夜. 二抗: S-vision免疫组化多聚二抗(山羊抗兔),即用型 (货号Y1313), 室温孵育20分钟. |
|
|
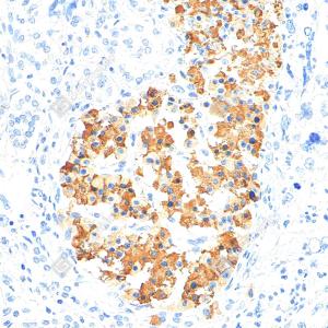
IHC检测GAD65蛋白(货号 YB150039). 样品: 小鼠胰腺, 4%多聚甲醛 (货号Y1112) 固定12-24小时. 抗原修复: Tris-EDTA抗原修复液(pH 9.0) (Y1214), 98℃, 20分钟. —抗: 1: 2000稀释, 4℃ 孵育过夜. 二抗: S-vision免疫组化多聚二抗(山羊抗兔),即用型 (货号Y1313), 室温孵育20分钟. |
|
|
IHC检测GAD65蛋白(货号 YB150039). 样品: 大鼠胰腺, 4%多聚甲醛 (货号Y1112) 固定12-24小时. 抗原修复: Tris-EDTA抗原修复液(pH 9.0) (Y1214), 98℃, 20分钟. —抗: 1: 2000稀释, 4℃ 孵育过夜. 二抗: S-vision免疫组化多聚二抗(山羊抗兔),即用型 (货号Y1313), 室温孵育20分钟. |
|
|
IF检测GAD65蛋白(货号 YB150039)(红色). 样品: 人胰腺癌, 4%多聚甲醛 (货号Y1112) 固定12-24小时. 抗原修复: Tris-EDTA抗原修复液(pH 9.0) (货号Y1214), 高压锅均匀喷气计时2分钟. 封闭: 3% BSA(货号YC305021)的PBS溶液, 室温孵育30分钟. —抗: 1: 2000稀释, 4℃ 孵育过夜. 二抗: Cy3标记山羊抗兔IgG (H+L) (货号YB21314), 1: 300稀释, 室温孵育1小时. |
|
|
IF检测GAD65蛋白(货号 YB150039)(红色). 样品: 小鼠胰腺, 4%多聚甲醛 (货号Y1112) 固定12-24小时. 抗原修复: Tris-EDTA抗原修复液(pH 9.0) (货号Y1214), 高压锅均匀喷气计时2分钟. 封闭: 3% BSA(货号YC305021)的PBS溶液, 室温孵育30分钟. —抗: 1: 2000稀释, 4℃ 孵育过夜. 二抗: Cy3标记山羊抗兔IgG (H+L) (货号YB21314), 1: 300稀释, 室温孵育1小时. |
|
|
IF检测GAD65蛋白(货号 YB150039)(红色). 样品: 大鼠胰腺, 4%多聚甲醛 (货号Y1112) 固定12-24小时. 抗原修复: Tris-EDTA抗原修复液(pH 9.0) (货号Y1214), 高压锅均匀喷气计时2分钟. 封闭: 3% BSA(货号YC305021)的PBS溶液, 室温孵育30分钟. —抗: 1: 2000稀释, 4℃ 孵育过夜. 二抗: Cy3标记山羊抗兔IgG (H+L) (货号YB21314), 1: 300稀释, 室温孵育1小时. |
储存
| 储存条件 | 在-20℃下储存一年, 避免反复冻融. |
| 储存缓冲液 | 含0.15% ProClin300防腐剂, 100 μg/mL牛血清白蛋白和50%甘油的磷酸盐缓冲液. |
注意:
1.本产品仅供研究使用.
2.建议用一抗稀释液(Y2036)稀释本产品.
| 货号 | 名称 | 规格 | 价格 | 操作 |
|---|
| 货号 | 名称 | 规格 | 价格 | 操作 |
|---|








