
Recombinant Anti-VEGF Receptor 1 antibody (Rabbit mAb)
- 100 μL
产品信息
|
蛋白质全称 |
血管内皮生长因子受体1 |
|
别名 |
FLT, FLT 1, FLT1, FLT-1, Fms like tyrosine kinase 1, FRT, sflt1, Tyrosine protein kinase FRT, VEGF receptor 1, VEGFR 1, VEGFR1, VEGFR-1 |
|
Uniprot ID |
P17948 |
|
免疫原 |
人VEGF Receptor 1重组蛋白 |
|
抗体亚型 |
IgG, κ |
|
克隆号 |
SB244 |
|
预测分子量./观测分子量. |
151 kDa / 180 kDa |
|
纯化方式 |
亲和纯化 |
|
亚细胞定位 |
细胞膜, 内体, 分泌型 |
应用
| 应用 | 物种 | 稀释 | 阳性样品 |
| WB 免疫印迹 | 人, 小鼠, 大鼠 | 1: 2000-1: 4000 | 脑, HUVEC细胞, HMVEC细胞 |
| IHC/IF 免疫组织化学/免疫荧光 | 人, 小鼠, 大鼠 | 1: 500-1: 1500 | 胎盘, 结肠, 肾癌 |
背景
Vascular endothelial growth factor receptor-1 (VEGFR-1, FLT-1) is a receptor tyrosine kinase belonging to the VEGFR family. VEGF is a key regulator of physiological angiogenesis and has also been implicated in pathological angiogenesis associated with tumors, intraocular neovascular disorders and other conditions. The biological effects of VEGF are mediated by VEGFR-1 and VEGFR-2. Both the two receptors have seven immunoglobulin-like repeats in the extracellular domain, a single transmembrane region and a tyrosine kinase domain.
图像
|
|
WB检测VEGF Receptor 1蛋白(货号 YB154211). 样品: 经RIPA裂解液(货号Y2013)处理的蛋白质. 封闭: 3%脱脂牛奶(货号YC310012)溶于TBST溶液, 室温孵育1小时. —抗: 1: 2000稀释, 4℃ 孵育过夜. 二抗: HRP标记山羊抗兔IgG (H+L) (货号YB23314), 1: 5000稀释, 室温孵育1小时. |
|
|
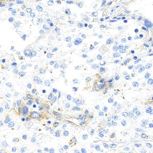
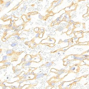
IHC检测VEGF Receptor 1蛋白(货号 YB154211). 样品: 人食管癌, 4%多聚甲醛 (货号Y1112) 固定12-24小时. 抗原修复: Tris-EDTA抗原修复液(pH 9.0) (货号Y1214), 高压锅均匀喷气计时2分钟. —抗: 1: 1000稀释, 4℃ 孵育过夜. 二抗: S-vision免疫组化多聚二抗(山羊抗兔),即用型 (货号Y1313), 室温孵育20分钟. |
|
|
IHC检测VEGF Receptor 1蛋白(货号 YB154211). 样品: 人肾癌, 4%多聚甲醛 (货号Y1112) 固定12-24小时. 抗原修复: Tris-EDTA抗原修复液(pH 9.0) (货号Y1214), 高压锅均匀喷气计时2分钟. —抗: 1: 1000稀释, 4℃ 孵育过夜. 二抗: S-vision免疫组化多聚二抗(山羊抗兔),即用型 (货号Y1313), 室温孵育20分钟. |
|
|
IHC检测VEGF Receptor 1蛋白(货号 YB154211). 样品: 小鼠胎盘, 4%多聚甲醛 (货号Y1112) 固定12-24小时. 抗原修复: Tris-EDTA抗原修复液(pH 9.0) (货号Y1214), 高压锅均匀喷气计时2分钟. —抗: 1: 1000稀释, 4℃ 孵育过夜. 二抗: S-vision免疫组化多聚二抗(山羊抗兔),即用型 (货号Y1313), 室温孵育20分钟. |
|
|
IHC检测VEGF Receptor 1蛋白(货号 YB154211). 样品: 大鼠胎盘, 4%多聚甲醛 (货号Y1112) 固定12-24小时. 抗原修复: Tris-EDTA抗原修复液(pH 9.0) (货号Y1214), 高压锅均匀喷气计时2分钟. —抗: 1: 1000稀释, 4℃ 孵育过夜. 二抗: S-vision免疫组化多聚二抗(山羊抗兔),即用型 (货号Y1313), 室温孵育20分钟. |
|
|
IF检测VEGF Receptor 1蛋白(货号 YB154211)(红色). 样品: 人结肠, 4%多聚甲醛 (货号Y1112) 固定12-24小时. 抗原修复: Tris-EDTA抗原修复液(pH 9.0) (货号Y1214), 高压锅均匀喷气计时2分钟. 封闭: 3% BSA(货号YC305021)的PBS溶液, 室温孵育30分钟. —抗: 1: 1000稀释, 4℃ 孵育过夜. 二抗: Cy3标记山羊抗兔IgG (H+L) (货号YB21314), 1: 300稀释, 室温孵育1小时. |
|
|
IF检测VEGF Receptor 1蛋白(货号 YB154211)(红色). 样品: 人卵巢癌, 4%多聚甲醛 (货号Y1112) 固定12-24小时. 抗原修复: Tris-EDTA抗原修复液(pH 9.0) (货号Y1214), 高压锅均匀喷气计时2分钟. 封闭: 3% BSA(货号YC305021)的PBS溶液, 室温孵育30分钟. —抗: 1: 1000稀释, 4℃ 孵育过夜. 二抗: Cy3标记山羊抗兔IgG (H+L) (货号YB21314), 1: 300稀释, 室温孵育1小时. |
|
|
IHC检测VEGF Receptor 1蛋白(货号 YB154211). 样品: 人胎盘, 4%多聚甲醛 (货号Y1112) 固定12-24小时. 抗原修复: Tris-EDTA抗原修复液(pH 9.0) (货号Y1214), 高压锅均匀喷气计时2分钟. —抗: 1: 1000稀释, 4℃ 孵育过夜. 二抗: S-vision免疫组化多聚二抗(山羊抗兔),即用型 (货号Y1313), 室温孵育20分钟. |
储存
| 储存条件 | 在-20℃下储存一年, 避免反复冻融. |
| 储存缓冲液 | 含0.15% ProClin300防腐剂, 100 μg/mL牛血清白蛋白和50%甘油的磷酸盐缓冲液. |
注意:
1.本产品仅供研究使用.
2.建议用一抗稀释液(Y2036)稀释本产品.
| 货号 | 名称 | 规格 | 价格 | 操作 |
|---|
| 货号 | 名称 | 规格 | 价格 | 操作 |
|---|








