
Recombinant Anti-S100A4 antibody (Rabbit mAb)
- 100 μL
产品信息
|
蛋白质全称 |
S100钙结合蛋白A4 |
|
别名 |
S100A4, 18A2, 42A, CAPL, FSP1, MTS1, P9KA, PEL98, S100 calcium binding protein A4 |
|
Uniprot ID |
P26447, P07091, P05942 |
|
免疫原 |
小鼠S100A4重组蛋白 |
|
抗体亚型 |
IgG, κ |
|
克隆号 |
SB100 |
|
预测分子量./观测分子量. |
12 kDa / 12 kDa |
|
纯化方式 |
亲和纯化 |
|
亚细胞定位 |
分泌型, 细胞核 |
应用
| 应用 | 物种 | 稀释 | 阳性样品 |
| WB 免疫印迹 | 人, 小鼠, 大鼠 | 1: 500-1: 2000 | HeLa细胞, NIH 3T3细胞, A549细胞, Hep G2细胞, C2C12细胞, PC-12细胞, C6细胞 |
| IHC/IF 免疫组织化学/免疫荧光 | 人, 小鼠, 大鼠 | 1: 800-1: 1600 | 脾, 结肠, 肾, 子宫内膜癌 |
背景
The protein encoded by this gene is a member of the S100 family of proteins containing 2 YF-hand calcium-binding motifs. S100 proteins are localized in the cytoplasm and/or nucleus of a wide range of cells, and involved in the regulation of a number of cellular processes such as cell cycle progression and differentiation. S100 genes include at least 13 members which are located as a cluster on chromosome 1q21. This protein may function in motility, invasion, and tubulin polymerization. Chromosomal rearrangements and altered expression of this gene have been implicated in tumor metastasis.
图像
|
|
WB检测S100A4蛋白(货号 YB15409). 样品: 经RIPA裂解液(货号Y2013)处理的蛋白质. 封闭: 3%脱脂牛奶(货号YC310012)溶于TBST溶液, 室温孵育1小时. —抗: 1: 2000稀释, 4℃ 孵育过夜. 二抗: HRP标记山羊抗兔IgG (H+L) (货号YB23314), 1: 5000稀释, 室温孵育1小时. |
|
|
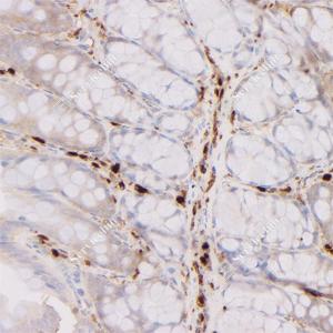
IHC检测S100A4蛋白(货号 YB15409). 样品: 大鼠结肠, 4%多聚甲醛 (货号Y1112) 固定12-24小时. 抗原修复: 柠檬酸抗原修复液(干粉, pH 6.0) (Y1212), 高压锅均匀喷气计时2分钟. —抗: 1: 1200稀释, 4℃ 孵育过夜. 二抗: HRP标记山羊抗兔IgG (H+L) (货号YB23314), 1: 200稀释, 室温孵育1小时. |
|
|
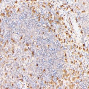
IHC检测S100A4蛋白(货号 YB15409). 样品: 小鼠脾, 4%多聚甲醛 (货号Y1112) 固定12-24小时. 抗原修复: 柠檬酸抗原修复液(干粉, pH 6.0) (Y1212), 高压锅均匀喷气计时2分钟. —抗: 1: 1200稀释, 4℃ 孵育过夜. 二抗: HRP标记山羊抗兔IgG (H+L) (货号YB23314), 1: 200稀释, 室温孵育1小时. |
|
|
IHC检测S100A4蛋白(货号 YB15409). 样品: 人子宫内膜癌, 4%多聚甲醛 (货号Y1112) 固定12-24小时. 抗原修复: 柠檬酸抗原修复液(干粉, pH 6.0) (Y1212), 高压锅均匀喷气计时2分钟. —抗: 1: 1200稀释, 4℃ 孵育过夜. 二抗: HRP标记山羊抗兔IgG (H+L) (货号YB23314), 1: 200稀释, 室温孵育1小时. |
|
|
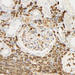
IHC检测S100A4蛋白(货号 YB15409). 样品: 人肾, 4%多聚甲醛 (货号Y1112) 固定12-24小时. 抗原修复: 柠檬酸抗原修复液(干粉, pH 6.0) (Y1212), 高压锅均匀喷气计时2分钟. —抗: 1: 1200稀释, 4℃ 孵育过夜. 二抗: HRP标记山羊抗兔IgG (H+L) (货号YB23314), 1: 200稀释, 室温孵育1小时. |
|
|
IHC检测S100A4蛋白(货号 YB15409). 样品: 小鼠结肠, 4%多聚甲醛 (货号Y1112) 固定12-24小时. 抗原修复: 柠檬酸抗原修复液(干粉, pH 6.0) (Y1212), 高压锅均匀喷气计时2分钟. —抗: 1: 1200稀释, 4℃ 孵育过夜. 二抗: HRP标记山羊抗兔IgG (H+L) (货号YB23314), 1: 200稀释, 室温孵育1小时. |
|
|
IHC检测S100A4蛋白(货号 YB15409). 样品: 大鼠脾, 4%多聚甲醛 (货号Y1112) 固定12-24小时. 抗原修复: 柠檬酸抗原修复液(干粉, pH 6.0) (Y1212), 高压锅均匀喷气计时2分钟. —抗: 1: 1200稀释, 4℃ 孵育过夜. 二抗: HRP标记山羊抗兔IgG (H+L) (货号YB23314), 1: 200稀释, 室温孵育1小时. |
|
|
IF检测S100A4蛋白(货号 YB15409)(红色). 样品: 人食管癌, 4%多聚甲醛 (货号Y1112) 固定12-24小时. 抗原修复: 柠檬酸抗原修复液(干粉, pH 6.0) (Y1212), 高压锅均匀喷气计时2分钟. 封闭: 3% BSA(货号YC305021)的PBS溶液, 室温孵育30分钟. —抗: 1: 800稀释, 4℃ 孵育过夜. 二抗: Cy3标记山羊抗兔IgG (H+L) (货号YB21314), 1: 300稀释, 室温孵育1小时. |
|
|
IF检测S100A4蛋白(货号 YB15409)(红色). 样品: 人肾, 4%多聚甲醛 (货号Y1112) 固定12-24小时. 抗原修复: 柠檬酸抗原修复液(干粉, pH 6.0) (Y1212), 高压锅均匀喷气计时2分钟. 封闭: 3% BSA(货号YC305021)的PBS溶液, 室温孵育30分钟. —抗: 1: 800稀释, 4℃ 孵育过夜. 二抗: Cy3标记山羊抗兔IgG (H+L) (货号YB21314), 1: 300稀释, 室温孵育1小时. |
|
|
IF检测S100A4蛋白(货号 YB15409)(红色). 样品: 小鼠结肠, 4%多聚甲醛 (货号Y1112) 固定12-24小时. 抗原修复: 柠檬酸抗原修复液(干粉, pH 6.0) (Y1212), 高压锅均匀喷气计时2分钟. 封闭: 3% BSA(货号YC305021)的PBS溶液, 室温孵育30分钟. —抗: 1: 800稀释, 4℃ 孵育过夜. 二抗: Cy3标记山羊抗兔IgG (H+L) (货号YB21314), 1: 300稀释, 室温孵育1小时. |
|
|
IF检测S100A4蛋白(货号 YB15409)(红色). 样品: 小鼠肾, 4%多聚甲醛 (货号Y1112) 固定12-24小时. 抗原修复: 柠檬酸抗原修复液(干粉, pH 6.0) (Y1212), 高压锅均匀喷气计时2分钟. 封闭: 3% BSA(货号YC305021)的PBS溶液, 室温孵育30分钟. —抗: 1: 800稀释, 4℃ 孵育过夜. 二抗: Cy3标记山羊抗兔IgG (H+L) (货号YB21314), 1: 300稀释, 室温孵育1小时. |
|
|
IF检测S100A4蛋白(货号 YB15409)(红色). 样品: 小鼠脾, 4%多聚甲醛 (货号Y1112) 固定12-24小时. 抗原修复: 柠檬酸抗原修复液(干粉, pH 6.0) (Y1212), 高压锅均匀喷气计时2分钟. 封闭: 3% BSA(货号YC305021)的PBS溶液, 室温孵育30分钟. —抗: 1: 800稀释, 4℃ 孵育过夜. 二抗: Cy3标记山羊抗兔IgG (H+L) (货号YB21314), 1: 300稀释, 室温孵育1小时. |
|
|
IF检测S100A4蛋白(货号 YB15409)(红色). 样品: 大鼠肾, 4%多聚甲醛 (货号Y1112) 固定12-24小时. 抗原修复: 柠檬酸抗原修复液(干粉, pH 6.0) (Y1212), 高压锅均匀喷气计时2分钟. 封闭: 3% BSA(货号YC305021)的PBS溶液, 室温孵育30分钟. —抗: 1: 800稀释, 4℃ 孵育过夜. 二抗: Cy3标记山羊抗兔IgG (H+L) (货号YB21314), 1: 300稀释, 室温孵育1小时. |
|
|
IF检测S100A4蛋白(货号 YB15409)(红色). 样品: 大鼠小肠, 4%多聚甲醛 (货号Y1112) 固定12-24小时. 抗原修复: 柠檬酸抗原修复液(干粉, pH 6.0) (Y1212), 高压锅均匀喷气计时2分钟. 封闭: 3% BSA(货号YC305021)的PBS溶液, 室温孵育30分钟. —抗: 1: 800稀释, 4℃ 孵育过夜. 二抗: Cy3标记山羊抗兔IgG (H+L) (货号YB21314), 1: 300稀释, 室温孵育1小时. |
|
|
IF检测S100A4蛋白(货号 YB15409)(红色). 样品: 大鼠脾, 4%多聚甲醛 (货号Y1112) 固定12-24小时. 抗原修复: 柠檬酸抗原修复液(干粉, pH 6.0) (Y1212), 高压锅均匀喷气计时2分钟. 封闭: 3% BSA(货号YC305021)的PBS溶液, 室温孵育30分钟. —抗: 1: 800稀释, 4℃ 孵育过夜. 二抗: Cy3标记山羊抗兔IgG (H+L) (货号YB21314), 1: 300稀释, 室温孵育1小时. |
储存
| 储存条件 | 在-20℃下储存一年, 避免反复冻融. |
| 储存缓冲液 | 含0.15% ProClin300防腐剂, 100 μg/mL牛血清白蛋白和50%甘油的磷酸盐缓冲液. |
注意:
1.本产品仅供研究使用.
2.建议用一抗稀释液(Y2036)稀释本产品.
| 货号 | 名称 | 规格 | 价格 | 操作 |
|---|
| 货号 | 名称 | 规格 | 价格 | 操作 |
|---|















