
Recombinant Anti-MAP2 antibody (Rabbit mAb)
- 100 μL
产品信息
蛋白质全称 | 微管相关蛋白2 |
别名 | MAP2, MAP2A, MAP2B, MAP2C, microtubule associated protein 2 |
免疫原 | 人MAP2重组蛋白 |
Uniprot ID | P11137 |
抗体亚型 | IgG, κ |
克隆号 | SB290 |
纯化方式 | 亲和纯化 |
亚细胞定位 | 细胞质, 细胞骨架, 细胞突起 |
应用
| 应用 | 物种 | 稀释 | 阳性样品 |
| IHC/IF 免疫组织化学/免疫荧光 | 人, 小鼠, 大鼠 | 1: 300-1: 600 | 结肠, 脑 |
背景
The proteins of this family are thought to be involved in microtubule assembly, which is an essential step in neuritogenesis. MAP2 serves to stabilize microtubules (MT) growth by crosslinking MT with intermediate filaments and other MTs. The products of similar genes in rat and mouse are neuron-specific cytoskeletal proteins that are enriched in dendrites, implicating a role in determining and stabilizing dendritic shape during neuron development. A number of alternatively spliced variants encoding distinct isoforms have been described.
图像
| IHC检测MAP2蛋白(货号 YB155570). 样品: 人脑, 4%多聚甲醛 (货号Y1112) 固定12-24小时. 抗原修复: 柠檬酸抗原修复液(干粉, pH 6.0) (Y1212), 高压锅均匀喷气计时2分钟. —抗: 1: 300稀释, 4℃ 孵育过夜. 二抗: S-vision免疫组化多聚二抗(山羊抗兔),即用型 (货号Y1313), 室温孵育20分钟. |
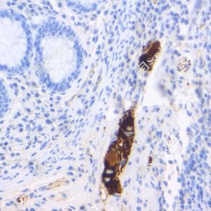
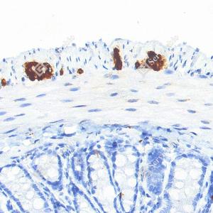
| IHC检测MAP2蛋白(货号 YB155570). 样品: 人结肠, 4%多聚甲醛 (货号Y1112) 固定12-24小时. 抗原修复: 柠檬酸抗原修复液(干粉, pH 6.0) (Y1212), 高压锅均匀喷气计时2分钟. —抗: 1: 300稀释, 4℃ 孵育过夜. 二抗: S-vision免疫组化多聚二抗(山羊抗兔),即用型 (货号Y1313), 室温孵育20分钟. |
| IHC检测MAP2蛋白(货号 YB155570). 样品: 人结肠, 4%多聚甲醛 (货号Y1112) 固定12-24小时. 抗原修复: 柠檬酸抗原修复液(干粉, pH 6.0) (Y1212), 高压锅均匀喷气计时2分钟. —抗: 1: 300稀释, 4℃ 孵育过夜. 二抗: S-vision免疫组化多聚二抗(山羊抗兔),即用型 (货号Y1313), 室温孵育20分钟. |
| IHC检测MAP2蛋白(货号 YB155570). 样品: 小鼠脑, 4%多聚甲醛 (货号Y1112) 固定12-24小时. 抗原修复: 柠檬酸抗原修复液(干粉, pH 6.0) (Y1212), 高压锅均匀喷气计时2分钟. —抗: 1: 300稀释, 4℃ 孵育过夜. 二抗: S-vision免疫组化多聚二抗(山羊抗兔),即用型 (货号Y1313), 室温孵育20分钟. |
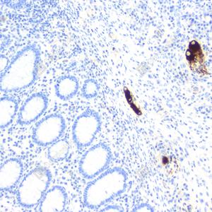
| IHC检测MAP2蛋白(货号 YB155570). 样品: 小鼠结肠, 4%多聚甲醛 (货号Y1112) 固定12-24小时. 抗原修复: 柠檬酸抗原修复液(干粉, pH 6.0) (Y1212), 高压锅均匀喷气计时2分钟. —抗: 1: 300稀释, 4℃ 孵育过夜. 二抗: S-vision免疫组化多聚二抗(山羊抗兔),即用型 (货号Y1313), 室温孵育20分钟. |
| IHC检测MAP2蛋白(货号 YB155570). 样品: 大鼠脑, 4%多聚甲醛 (货号Y1112) 固定12-24小时. 抗原修复: 柠檬酸抗原修复液(干粉, pH 6.0) (Y1212), 高压锅均匀喷气计时2分钟. —抗: 1: 300稀释, 4℃ 孵育过夜. 二抗: S-vision免疫组化多聚二抗(山羊抗兔),即用型 (货号Y1313), 室温孵育20分钟. |
| IHC检测MAP2蛋白(货号 YB155570). 样品: 大鼠结肠, 4%多聚甲醛 (货号Y1112) 固定12-24小时. 抗原修复: 柠檬酸抗原修复液(干粉, pH 6.0) (Y1212), 高压锅均匀喷气计时2分钟. —抗: 1: 300稀释, 4℃ 孵育过夜. 二抗: S-vision免疫组化多聚二抗(山羊抗兔),即用型 (货号Y1313), 室温孵育20分钟. |
| IF检测MAP2蛋白(货号 YB155570)(红色). 样品: 人脑, 4%多聚甲醛 (货号Y1112) 固定12-24小时. 抗原修复: 柠檬酸抗原修复液(干粉, pH 6.0) (Y1212), 高压锅均匀喷气计时2分钟. 封闭: 3% BSA(货号YC305021)的PBS溶液, 室温孵育30分钟. —抗: 1: 300稀释, 4℃ 孵育过夜. 二抗: Cy3标记山羊抗兔IgG (H+L) (货号YB21314), 1: 300稀释, 室温孵育1小时. |
| IF检测MAP2蛋白(货号 YB155570)(红色). 样品: 人脑, 4%多聚甲醛 (货号Y1112) 固定12-24小时. 抗原修复: 柠檬酸抗原修复液(干粉, pH 6.0) (Y1212), 高压锅均匀喷气计时2分钟. 封闭: 3% BSA(货号YC305021)的PBS溶液, 室温孵育30分钟. —抗: 1: 300稀释, 4℃ 孵育过夜. 二抗: Cy3标记山羊抗兔IgG (H+L) (货号YB21314), 1: 300稀释, 室温孵育1小时. |
| IF检测MAP2蛋白(货号 YB155570)(红色). 样品: 人结肠, 4%多聚甲醛 (货号Y1112) 固定12-24小时. 抗原修复: 柠檬酸抗原修复液(干粉, pH 6.0) (Y1212), 高压锅均匀喷气计时2分钟. 封闭: 3% BSA(货号YC305021)的PBS溶液, 室温孵育30分钟. —抗: 1: 300稀释, 4℃ 孵育过夜. 二抗: Cy3标记山羊抗兔IgG (H+L) (货号YB21314), 1: 300稀释, 室温孵育1小时. |
| IF检测MAP2蛋白(货号 YB155570)(红色). 样品: 小鼠脑, 4%多聚甲醛 (货号Y1112) 固定12-24小时. 抗原修复: 柠檬酸抗原修复液(干粉, pH 6.0) (Y1212), 高压锅均匀喷气计时2分钟. 封闭: 3% BSA(货号YC305021)的PBS溶液, 室温孵育30分钟. —抗: 1: 300稀释, 4℃ 孵育过夜. 二抗: Cy3标记山羊抗兔IgG (H+L) (货号YB21314), 1: 300稀释, 室温孵育1小时. |
| IF检测MAP2蛋白(货号 YB155570)(红色). 样品: 小鼠结肠, 4%多聚甲醛 (货号Y1112) 固定12-24小时. 抗原修复: 柠檬酸抗原修复液(干粉, pH 6.0) (Y1212), 高压锅均匀喷气计时2分钟. 封闭: 3% BSA(货号YC305021)的PBS溶液, 室温孵育30分钟. —抗: 1: 300稀释, 4℃ 孵育过夜. 二抗: Cy3标记山羊抗兔IgG (H+L) (货号YB21314), 1: 300稀释, 室温孵育1小时. |
| IF检测MAP2蛋白(货号 YB155570)(红色). 样品: 大鼠脑, 4%多聚甲醛 (货号Y1112) 固定12-24小时. 抗原修复: 柠檬酸抗原修复液(干粉, pH 6.0) (Y1212), 高压锅均匀喷气计时2分钟. 封闭: 3% BSA(货号YC305021)的PBS溶液, 室温孵育30分钟. —抗: 1: 300稀释, 4℃ 孵育过夜. 二抗: Cy3标记山羊抗兔IgG (H+L) (货号YB21314), 1: 300稀释, 室温孵育1小时. |
| IF检测MAP2蛋白(货号 YB155570)(红色). 样品: 大鼠结肠, 4%多聚甲醛 (货号Y1112) 固定12-24小时. 抗原修复: 柠檬酸抗原修复液(干粉, pH 6.0) (Y1212), 高压锅均匀喷气计时2分钟. 封闭: 3% BSA(货号YC305021)的PBS溶液, 室温孵育30分钟. —抗: 1: 300稀释, 4℃ 孵育过夜. 二抗: Cy3标记山羊抗兔IgG (H+L) (货号YB21314), 1: 300稀释, 室温孵育1小时. |
储存
| 储存条件 | 在-20℃下储存一年, 避免反复冻融. |
| 储存缓冲液 | 含0.15% ProClin300防腐剂, 100 μg/mL牛血清白蛋白和50%甘油的磷酸盐缓冲液. |
注意:
1.本产品仅供研究使用.
2.建议用一抗稀释液(Y2036)稀释本产品.
| 货号 | 名称 | 规格 | 价格 | 操作 |
|---|
| 货号 | 名称 | 规格 | 价格 | 操作 |
|---|














