
Recombinant Anti-Slow Skeletal Myosin Heavy chain antibody (Rabbit mAb)
- 50 μL
产品信息
蛋白质全称 | 肌球蛋白-7 |
别名 | Myosin heavy chain 7, Myosin heavy chain slow isoform, MyHC-slow, MyHC-beta, CMD1S, CMH1, MPD1, MYH7, MyHC slow, MYHCB, Myosin 7, SPMD, SPMM, Beta myosin heavy chain |
Uniprot ID | P12883 |
免疫原 | KLH偶联的人MYH7合成肽 |
抗体亚型 | IgG |
克隆号 | SB559 |
纯化方式 | 亲和纯化 |
亚细胞定位 | 细胞质 |
应用
| 应用 | 物种 | 稀释 | 阳性样品 |
| IHC/IF 免疫组织化学/免疫荧光 | 小鼠, 大鼠 | 1: 1000-1: 2000 | 心 |
背景
This gene encodes the beta (or slow) heavy chain subunit of cardiac myosin. It is expressed predominantly in normal human ventricle. It is also expressed in skeletal muscle tissues rich in slow-twitch type I muscle fibers. Changes in the relative abundance of this protein and the alpha (or fast) heavy subunit of cardiac myosin correlate with the contractile velocity of cardiac muscle. Its expression is also altered during thyroid hormone depletion and hemodynamic overloading.
图像
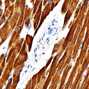
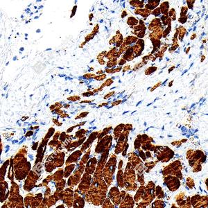
| IHC检测Slow Skeletal Myosin Heavy chain蛋白(货号 YB150155). 样品: 小鼠心, 4%多聚甲醛 (货号Y1112) 固定12-24小时. 抗原修复: 抗原修复仪 (货号 YRI-4),Tris-EDTA抗原修复液(pH 9.0) (货号Y1214), 水浴98℃, 20分钟. —抗: 1: 1000稀释, 4℃ 孵育过夜. 二抗: S-vision免疫组化多聚二抗(山羊抗兔),即用型 (货号Y1313), 室温孵育20分钟. |
| IHC检测Slow Skeletal Myosin Heavy chain蛋白(货号 YB150155). 样品: 小鼠心, 4%多聚甲醛 (货号Y1112) 固定12-24小时. 抗原修复: 抗原修复仪 (货号 YRI-4),Tris-EDTA抗原修复液(pH 9.0) (货号Y1214), 水浴98℃, 20分钟. —抗: 1: 1000稀释, 4℃ 孵育过夜. 二抗: S-vision免疫组化多聚二抗(山羊抗兔),即用型 (货号Y1313), 室温孵育20分钟. |
| IHC检测Slow Skeletal Myosin Heavy chain蛋白(货号 YB150155). 样品: 小鼠心, 4%多聚甲醛 (货号Y1112) 固定12-24小时. 抗原修复: 抗原修复仪 (货号 YRI-4),Tris-EDTA抗原修复液(pH 9.0) (货号Y1214), 水浴98℃, 20分钟. —抗: 1: 1000稀释, 4℃ 孵育过夜. 二抗: S-vision免疫组化多聚二抗(山羊抗兔),即用型 (货号Y1313), 室温孵育20分钟. |
| IHC检测Slow Skeletal Myosin Heavy chain蛋白(货号 YB150155). 样品: 小鼠心, 4%多聚甲醛 (货号Y1112) 固定12-24小时. 抗原修复: 抗原修复仪 (货号 YRI-4),Tris-EDTA抗原修复液(pH 9.0) (货号Y1214), 水浴98℃, 20分钟. —抗: 1: 1000稀释, 4℃ 孵育过夜. 二抗: S-vision免疫组化多聚二抗(山羊抗兔),即用型 (货号Y1313), 室温孵育20分钟. |
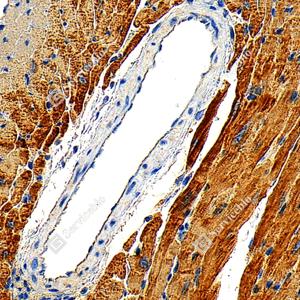
| IHC检测Slow Skeletal Myosin Heavy chain蛋白(货号 YB150155). 样品: 大鼠心, 4%多聚甲醛 (货号Y1112) 固定12-24小时. 抗原修复: 抗原修复仪 (货号 YRI-4),Tris-EDTA抗原修复液(pH 9.0) (货号Y1214), 水浴98℃, 20分钟. —抗: 1: 1000稀释, 4℃ 孵育过夜. 二抗: S-vision免疫组化多聚二抗(山羊抗兔),即用型 (货号Y1313), 室温孵育20分钟. |
| IHC检测Slow Skeletal Myosin Heavy chain蛋白(货号 YB150155). 样品: 大鼠心, 4%多聚甲醛 (货号Y1112) 固定12-24小时. 抗原修复: 抗原修复仪 (货号 YRI-4),Tris-EDTA抗原修复液(pH 9.0) (货号Y1214), 水浴98℃, 20分钟. —抗: 1: 1000稀释, 4℃ 孵育过夜. 二抗: S-vision免疫组化多聚二抗(山羊抗兔),即用型 (货号Y1313), 室温孵育20分钟. |
| IF检测Slow Skeletal Myosin Heavy chain蛋白(货号 YB150155)(红色). 样品: 小鼠心, 4%多聚甲醛 (货号Y1112) 固定12-24小时. 抗原修复: 抗原修复仪 (货号 YRI-4),Tris-EDTA抗原修复液(pH 9.0) (货号Y1214), 水浴98℃, 20分钟. 封闭: 3% BSA(货号YC305021)的PBS溶液, 室温孵育30分钟. —抗: 1: 1000稀释, 4℃ 孵育过夜. 二抗: Cy3标记山羊抗兔IgG (H+L) (货号YB21314), 1: 300稀释, 室温孵育1小时. |
| IF检测Slow Skeletal Myosin Heavy chain蛋白(货号 YB150155)(红色). 样品: 大鼠心, 4%多聚甲醛 (货号Y1112) 固定12-24小时. 抗原修复: 抗原修复仪 (货号 YRI-4),Tris-EDTA抗原修复液(pH 9.0) (货号Y1214), 水浴98℃, 20分钟. 封闭: 3% BSA(货号YC305021)的PBS溶液, 室温孵育30分钟. —抗: 1: 1000稀释, 4℃ 孵育过夜. 二抗: Cy3标记山羊抗兔IgG (H+L) (货号YB21314), 1: 300稀释, 室温孵育1小时. |
储存
| 储存条件 | 在-20℃下储存一年, 避免反复冻融. |
| 储存缓冲液 | 含0.15% ProClin300防腐剂, 100 μg/mL牛血清白蛋白和50%甘油的磷酸盐缓冲液. |
注意:
1.本产品仅供研究使用.
2.建议用一抗稀释液(Y2036)稀释本产品.
| 货号 | 名称 | 规格 | 价格 | 操作 |
|---|
| 货号 | 名称 | 规格 | 价格 | 操作 |
|---|








