
Recombinant Anti-Heme Oxygenase 1 antibody (Rabbit mAb)
- 100 μL
产品信息
|
蛋白质全称 |
血红素加氧酶1 |
|
别名 |
HMOX1, HMOX1D, HO-1, HSP32, bK286B10, heme oxygenase 1 |
|
Uniprot ID |
P14901 |
|
免疫原 |
KLH偶联的小鼠Heme oxygenase 1合成肽 |
|
抗体亚型 |
IgG, κ |
|
克隆号 |
SB255 |
|
预测分子量./观测分子量. |
33 kDa / 28/33 kDa |
|
纯化方式 |
亲和纯化 |
|
亚细胞定位 |
内质网膜 |
应用
| 应用 | 物种 | 稀释 | 阳性样品 |
| WB 免疫印迹 | 人, 小鼠, 大鼠 | 1: 500-1: 1000 | A549细胞, 肝, 脾 |
| IHC/IF 免疫组织化学/免疫荧光 | 人, 小鼠, 大鼠 | 1: 500-1: 1000 | 脾, 肝纤维化, 扁桃体 |
背景
Heme oxygenase cleaves the heme ring at the alpha methene bridge to form biliverdin. Biliverdin is subsequently converted to bilirubin by biliverdin reductase. Under physiological conditions, the activity of heme oxygenase is highest in the spleen, where senescent erythrocytes are sequestrated and destroyed. Exhibits cytoprotective effects since excess of free heme sensitizes cells to undergo apoptosis.
图像
|
|
WB检测Heme Oxygenase 1蛋白(货号 YB15560). 样品: 经RIPA裂解液(货号Y2013)处理的蛋白质. 封闭: 3%脱脂牛奶(货号YC310012)溶于TBST溶液, 室温孵育1小时. —抗: 1: 1000稀释, 4℃ 孵育过夜. 二抗: HRP标记山羊抗兔IgG (H+L) (货号YB23314), 1: 5000稀释, 室温孵育1小时. |
|
|
WB检测Heme Oxygenase 1蛋白(货号 YB15560). 样品: 经RIPA裂解液(货号Y2013)处理的蛋白质. 封闭: 3%脱脂牛奶(货号YC310012)溶于TBST溶液, 室温孵育1小时. —抗: 1: 1000稀释, 4℃ 孵育过夜. 二抗: HRP标记山羊抗兔IgG (H+L) (货号YB23314), 1: 5000稀释, 室温孵育1小时. |
|
|
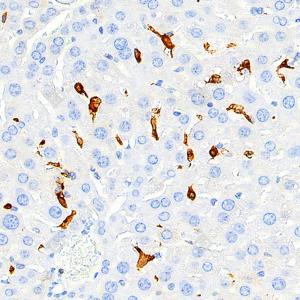
IHC检测Heme Oxygenase 1蛋白(货号 YB15560). 样品: 人肝癌, 4%多聚甲醛 (货号Y1112) 固定12-24小时. 抗原修复: 柠檬酸抗原修复液(干粉, pH 6.0) (Y1212), 高压锅均匀喷气计时2分钟. —抗: 1: 500稀释, 4℃ 孵育过夜. 二抗: S-vision免疫组化多聚二抗(山羊抗兔),即用型 (货号Y1313), 室温孵育20分钟. |
|
|
IHC检测Heme Oxygenase 1蛋白(货号 YB15560). 样品: 人扁桃体, 4%多聚甲醛 (货号Y1112) 固定12-24小时. 抗原修复: 柠檬酸抗原修复液(干粉, pH 6.0) (Y1212), 高压锅均匀喷气计时2分钟. —抗: 1: 500稀释, 4℃ 孵育过夜. 二抗: S-vision免疫组化多聚二抗(山羊抗兔),即用型 (货号Y1313), 室温孵育20分钟. |
|
|
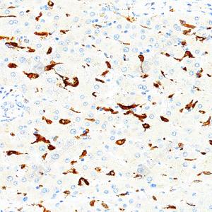
IHC检测Heme Oxygenase 1蛋白(货号 YB15560). 样品: 小鼠LPS诱导(6h)肝脏炎症模型, 4%多聚甲醛 (货号Y1112) 固定12-24小时. 抗原修复: 柠檬酸抗原修复液(干粉, pH 6.0) (Y1212), 高压锅均匀喷气计时2分钟. —抗: 1: 500稀释, 4℃ 孵育过夜. 二抗: S-vision免疫组化多聚二抗(山羊抗兔),即用型 (货号Y1313), 室温孵育20分钟. |
|
|
IHC检测Heme Oxygenase 1蛋白(货号 YB15560). 样品: 小鼠脾, 4%多聚甲醛 (货号Y1112) 固定12-24小时. 抗原修复: 柠檬酸抗原修复液(干粉, pH 6.0) (Y1212), 高压锅均匀喷气计时2分钟. —抗: 1: 500稀释, 4℃ 孵育过夜. 二抗: S-vision免疫组化多聚二抗(山羊抗兔),即用型 (货号Y1313), 室温孵育20分钟. |
|
|
IHC检测Heme Oxygenase 1蛋白(货号 YB15560). 样品: 大鼠LPS诱导(24h)肺部炎症模型, 4%多聚甲醛 (货号Y1112) 固定12-24小时. 抗原修复: 柠檬酸抗原修复液(干粉, pH 6.0) (Y1212), 高压锅均匀喷气计时2分钟. —抗: 1: 500稀释, 4℃ 孵育过夜. 二抗: S-vision免疫组化多聚二抗(山羊抗兔),即用型 (货号Y1313), 室温孵育20分钟. |
|
|
IF检测Heme Oxygenase 1蛋白(货号 YB15560)(红色). 样品: 人肝癌, 4%多聚甲醛 (货号Y1112) 固定12-24小时. 抗原修复: 柠檬酸抗原修复液(干粉, pH 6.0) (Y1212), 高压锅均匀喷气计时2分钟. 封闭: 3% BSA(货号YC305021)的PBS溶液, 室温孵育30分钟. —抗: 1: 500稀释, 4℃ 孵育过夜. 二抗: Cy3标记山羊抗兔IgG (H+L) (货号YB21314), 1: 300稀释, 室温孵育1小时. |
|
|
IF检测Heme Oxygenase 1蛋白(货号 YB15560)(红色). 样品: 人扁桃体, 4%多聚甲醛 (货号Y1112) 固定12-24小时. 抗原修复: 柠檬酸抗原修复液(干粉, pH 6.0) (Y1212), 高压锅均匀喷气计时2分钟. 封闭: 3% BSA(货号YC305021)的PBS溶液, 室温孵育30分钟. —抗: 1: 500稀释, 4℃ 孵育过夜. 二抗: Cy3标记山羊抗兔IgG (H+L) (货号YB21314), 1: 300稀释, 室温孵育1小时. |
|
|
IF检测Heme Oxygenase 1蛋白(货号 YB15560)(红色). 样品: 小鼠肺损伤, 4%多聚甲醛 (货号Y1112) 固定12-24小时. 抗原修复: 柠檬酸抗原修复液(干粉, pH 6.0) (Y1212), 高压锅均匀喷气计时2分钟. 封闭: 3% BSA(货号YC305021)的PBS溶液, 室温孵育30分钟. —抗: 1: 500稀释, 4℃ 孵育过夜. 二抗: Cy3标记山羊抗兔IgG (H+L) (货号YB21314), 1: 300稀释, 室温孵育1小时. |
|
|
IF检测Heme Oxygenase 1蛋白(货号 YB15560)(红色). 样品: 小鼠脾, 4%多聚甲醛 (货号Y1112) 固定12-24小时. 抗原修复: 柠檬酸抗原修复液(干粉, pH 6.0) (Y1212), 高压锅均匀喷气计时2分钟. 封闭: 3% BSA(货号YC305021)的PBS溶液, 室温孵育30分钟. —抗: 1: 500稀释, 4℃ 孵育过夜. 二抗: Cy3标记山羊抗兔IgG (H+L) (货号YB21314), 1: 300稀释, 室温孵育1小时. |
|
|
IF检测Heme Oxygenase 1蛋白(货号 YB15560)(红色). 样品: 大鼠纤维化肝脏, 4%多聚甲醛 (货号Y1112) 固定12-24小时. 抗原修复: 柠檬酸抗原修复液(干粉, pH 6.0) (Y1212), 高压锅均匀喷气计时2分钟. 封闭: 3% BSA(货号YC305021)的PBS溶液, 室温孵育30分钟. —抗: 1: 500稀释, 4℃ 孵育过夜. 二抗: Cy3标记山羊抗兔IgG (H+L) (货号YB21314), 1: 300稀释, 室温孵育1小时. |
|
|
IF检测Heme Oxygenase 1蛋白(货号 YB15560)(红色). 样品: 大鼠脾, 4%多聚甲醛 (货号Y1112) 固定12-24小时. 抗原修复: 柠檬酸抗原修复液(干粉, pH 6.0) (Y1212), 高压锅均匀喷气计时2分钟. 封闭: 3% BSA(货号YC305021)的PBS溶液, 室温孵育30分钟. —抗: 1: 500稀释, 4℃ 孵育过夜. 二抗: Cy3标记山羊抗兔IgG (H+L) (货号YB21314), 1: 300稀释, 室温孵育1小时. |
储存
| 储存条件 | 在-20℃下储存一年, 避免反复冻融. |
| 储存缓冲液 | 含0.15% ProClin300防腐剂, 100 μg/mL牛血清白蛋白和50%甘油的磷酸盐缓冲液. |
注意:
1.本产品仅供研究使用.
2.建议用一抗稀释液(Y2036)稀释本产品.
| 货号 | 名称 | 规格 | 价格 | 操作 |
|---|
| 货号 | 名称 | 规格 | 价格 | 操作 |
|---|













