
Recombinant Anti-HIF-1 alpha antibody (Rabbit mAb)
- 50 μL
产品信息
|
蛋白质全称 |
缺氧诱导因子1α |
|
别名 |
HIF1A, HIF-1-alpha, HIF-1A, HIF-1alpha, HIF1, HIF1-ALPHA, MOP1, PASD8, bHLHe78, hypoxia inducible factor 1 alpha subunit |
|
Uniprot ID |
Q16665 |
|
免疫原 |
人HIF-1 alpha重组蛋白 |
|
抗体亚型 |
IgG, κ |
|
克隆号 |
SB243 |
|
纯化方式 |
亲和纯化 |
|
亚细胞定位 |
细胞质, 细胞核 |
应用
| 应用 | 物种 | 稀释 | 阳性样品 |
| IHC/IF 免疫组织化学/免疫荧光 | 人, 小鼠, 大鼠 | 1: 600-1: 1200 | 食管癌, 4T1细胞裸鼠皮下模型, 卵巢癌 |
背景
Functions as a master transcriptional regulator of the adaptive response to hypoxia. Under hypoxic conditions, activates the transcription of over 40 genes, including erythropoietin, glucose transporters, glycolytic enzymes, vascular endothelial growth factor, HILPDA, and other genes whose protein products increase oxygen delivery or facilitate metabolic adaptation to hypoxia. Plays an essential role in embryonic vascularization, tumor angiogenesis and pathophysiology of ischemic disease.
图像
|
|
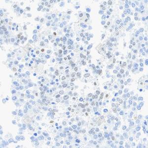
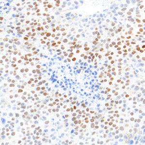
IHC检测HIF-1 alpha蛋白(货号 YB151350). 样品: 人食管癌, 4%多聚甲醛 (货号Y1112) 固定12-24小时. 抗原修复: Tris-EDTA抗原修复液(pH 9.0) (Y1214), 98℃, 20分钟. —抗: 1: 1000稀释, 4℃ 孵育过夜. 二抗: S-vision免疫组化多聚二抗(山羊抗兔),即用型 (货号Y1313), 室温孵育20分钟. |
|
|
IHC检测HIF-1 alpha蛋白(货号 YB151350). 样品: 人食管, 4%多聚甲醛 (货号Y1112) 固定12-24小时. 抗原修复: Tris-EDTA抗原修复液(pH 9.0) (Y1214), 98℃, 20分钟. —抗: 1: 1000稀释, 4℃ 孵育过夜. 二抗: S-vision免疫组化多聚二抗(山羊抗兔),即用型 (货号Y1313), 室温孵育20分钟. |
|
|
IHC检测HIF-1 alpha蛋白(货号 YB151350). 样品: 人卵巢癌, 4%多聚甲醛 (货号Y1112) 固定12-24小时. 抗原修复: Tris-EDTA抗原修复液(pH 9.0) (Y1214), 98℃, 20分钟. —抗: 1: 1000稀释, 4℃ 孵育过夜. 二抗: S-vision免疫组化多聚二抗(山羊抗兔),即用型 (货号Y1313), 室温孵育20分钟. |
|
|
IHC检测HIF-1 alpha蛋白(货号 YB151350). 样品: 小鼠MACO模型脑组织, 4%多聚甲醛 (货号Y1112) 固定12-24小时. 抗原修复: Tris-EDTA抗原修复液(pH 9.0) (Y1214), 98℃, 20分钟. —抗: 1: 1000稀释, 4℃ 孵育过夜. 二抗: S-vision免疫组化多聚二抗(山羊抗兔),即用型 (货号Y1313), 室温孵育20分钟. |
|
|
IHC检测HIF-1 alpha蛋白(货号 YB151350). 样品: 小鼠心脏缺血再灌注损伤, 4%多聚甲醛 (货号Y1112) 固定12-24小时. 抗原修复: Tris-EDTA抗原修复液(pH 9.0) (Y1214), 98℃, 20分钟. —抗: 1: 1000稀释, 4℃ 孵育过夜. 二抗: S-vision免疫组化多聚二抗(山羊抗兔),即用型 (货号Y1313), 室温孵育20分钟. |
|
|
IHC检测HIF-1 alpha蛋白(货号 YB151350). 样品: 小鼠心脏缺血再灌注损伤, 4%多聚甲醛 (货号Y1112) 固定12-24小时. 抗原修复: Tris-EDTA抗原修复液(pH 9.0) (Y1214), 98℃, 20分钟. —抗: 1: 1000稀释, 4℃ 孵育过夜. 二抗: S-vision免疫组化多聚二抗(山羊抗兔),即用型 (货号Y1313), 室温孵育20分钟. |
|
|
IHC检测HIF-1 alpha蛋白(货号 YB151350). 样品: 小鼠4T1细胞皮下裸鼠模型, 4%多聚甲醛 (货号Y1112) 固定12-24小时. 抗原修复: Tris-EDTA抗原修复液(pH 9.0) (Y1214), 98℃, 20分钟. —抗: 1: 1000稀释, 4℃ 孵育过夜. 二抗: S-vision免疫组化多聚二抗(山羊抗兔),即用型 (货号Y1313), 室温孵育20分钟. |
|
|
IHC检测HIF-1 alpha蛋白(货号 YB151350). 样品: 小鼠4T1细胞皮下裸鼠模型, 4%多聚甲醛 (货号Y1112) 固定12-24小时. 抗原修复: Tris-EDTA抗原修复液(pH 9.0) (Y1214), 98℃, 20分钟. —抗: 1: 1000稀释, 4℃ 孵育过夜. 二抗: S-vision免疫组化多聚二抗(山羊抗兔),即用型 (货号Y1313), 室温孵育20分钟. |
|
|
IHC检测HIF-1 alpha蛋白(货号 YB151350). 样品: B16细胞皮下裸鼠模型, 4%多聚甲醛 (货号Y1112) 固定12-24小时. 抗原修复: Tris-EDTA抗原修复液(pH 9.0) (Y1214), 98℃, 20分钟. —抗: 1: 1000稀释, 4℃ 孵育过夜. 二抗: S-vision免疫组化多聚二抗(山羊抗兔),即用型 (货号Y1313), 室温孵育20分钟. |
|
|
IHC检测HIF-1 alpha蛋白(货号 YB151350). 样品: B16细胞皮下裸鼠模型, 4%多聚甲醛 (货号Y1112) 固定12-24小时. 抗原修复: Tris-EDTA抗原修复液(pH 9.0) (Y1214), 98℃, 20分钟. —抗: 1: 1000稀释, 4℃ 孵育过夜. 二抗: S-vision免疫组化多聚二抗(山羊抗兔),即用型 (货号Y1313), 室温孵育20分钟. |
|
|
IF检测HIF-1 alpha蛋白(货号 YB151350)(红色). 样品: 人食管, 4%多聚甲醛 (货号Y1112) 固定12-24小时. 抗原修复: Tris-EDTA抗原修复液(pH 9.0) (Y1214), 98℃, 20分钟. 封闭: 3% BSA(货号YC305021)的PBS溶液, 室温孵育30分钟. —抗: 1: 600稀释, 4℃ 孵育过夜. 二抗: Cy3标记山羊抗兔IgG (H+L) (货号YB21314), 1: 300稀释, 室温孵育1小时. |
|
|
IF检测HIF-1 alpha蛋白(货号 YB151350)(红色). 样品: 人卵巢癌, 4%多聚甲醛 (货号Y1112) 固定12-24小时. 抗原修复: Tris-EDTA抗原修复液(pH 9.0) (Y1214), 98℃, 20分钟. 封闭: 3% BSA(货号YC305021)的PBS溶液, 室温孵育30分钟. —抗: 1: 600稀释, 4℃ 孵育过夜. 二抗: Cy3标记山羊抗兔IgG (H+L) (货号YB21314), 1: 300稀释, 室温孵育1小时. |
储存
| 储存条件 | 在-20℃下储存一年, 避免反复冻融. |
| 储存缓冲液 | 含0.15% ProClin300防腐剂, 100 μg/mL牛血清白蛋白和50%甘油的磷酸盐缓冲液. |
注意:
1.本产品仅供研究使用.
2.建议用一抗稀释液(Y2036)稀释本产品.
| 货号 | 名称 | 规格 | 价格 | 操作 |
|---|
| 货号 | 名称 | 规格 | 价格 | 操作 |
|---|












