
Anti-PD-L1 Rabbit pAb
- 100 μL
Product Information
| Description | PD-L1 rabbit polyclonal |
| Protein full name | Programmed cell death 1 ligand 1 |
|
Synonyms |
CD274, B7-H, B7H1, PDL-1, PDCD1L1, PDCD1LG1, PDL1, CD274 molecule, Programmed cell death 1 ligand 1 |
| Immunogen |
KLH conjugated Synthetic peptide corresponding to Mouse PD-L1 |
| Isotype | IgG |
| Purity | Affinity purification |
|
Predicted MW. |
33 kDa |
|
Observed MW. |
50 kDa |
| Subcellular location |
Cell membrane |
| Uniprot ID | Q9EP73 |
Applications
Applications | Species | Dilution | Positive Tissue |
WB | Mouse, Rat | 1: 600-1: 800 | liver,muscle,lung,heart |
IHC | Human | 1: 500-1: 1000 | lung |
IF | Human | 1: 500-1: 1000 | lung |
Background
Involved in the costimulatory signal essential for T-cell proliferation and IFNG production in a PDCD1-independent manner. Interaction with PDCD1 inhibits T-cell proliferation by blocking cell cycle progression and cytokine production.
Images
![]() |
Western blot analysis of PD-L1 (GB11339) at dilution of 1:800. Lane 1:Human liver cancer tissue lysate Lane 2:HepG2 cell lysate Lane 3:Mouse muscle tissue lysate Lane 4:Mouse lung tissue lysate Lane 5:Mouse heart tissue lysate Lane 6:Rat muscle tissue lysate Lane 7:Rat heart tissue lysate |
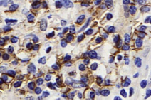
![]() |
Immunohistochemistry analysis of paraffin-embedded human lung cancer using PD-L1 (GB11339) at dilution of 1:500 |
Storage
| Storage | Store at -20 ℃ for one year. Avoid repeated freeze/ thaw cycles. |
| Storage Buffer | PBS with 0.02% sodium azide, 100 μg/ml BSA and 50% glycerol. |
NOTE:
1.This product is intended for research only.
2.This product is recommended to dilute with the Primary Antibody Dilution Buffer (G2025).
| 货号 | 名称 | 规格 | 价格 | 操作 |
|---|
| 货号 | 名称 | 规格 | 价格 | 操作 |
|---|




