
Anti-Ki67 Rabbit mAb
- 50 μL
Product Information
| Description | Ki67 rabbit monoclonal |
| Protein full name | Proliferation marker protein Ki-67 |
Synonyms | MKI67, marker of proliferation Ki-67, KIA,MIB-, MIB-1, PPP1R105 |
| Immunogen | KLH conjugated Synthetic peptide corresponding to human Ki67 |
| Isotype | IgG |
| Purity | Affinity purification |
| Subcellular location | Chromosome,Nucleus |
| Uniprot ID |
Applications
Applications | Species | Dilution | Positive Tissue |
IHC | Human, Mouse, Rat | 1:200-1:500 | Liver cancer,lung cancer |
IF | Human, Mouse, Rat | 1:200-1:500 | spleen |
Background
Ki-67 is a nuclear protein, which is expressed in the proliferating cells. Ki-67 is preferentially expressed during late G1-, S-, M-, and G2-phases of the cell cycle, while cells in the G0 (quiescent) phase are negative for this protein.
Images
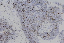
![]() | Immunohistochemistry analysis of paraffin-embedded human cancer using Ki67 (GB13030-2) at dilution of 1:200 |
![]() | Immunofluorescence analysis of paraffin-embedded rat spleen using Ki67 (GB13030-2) at dilution of 1:200 |
Storage
| Storage | Store at 4 ℃ for one year. Avoid repeated freeze/ thaw cycles. |
| Storage Buffer | PBS with 0.02% sodium azide, 100 μg/ml BSA and 50% glycerol. |
NOTE:
1.This product is intended for research only.
2.This product is recommended to dilute with the Primary Antibody Dilution Buffer (G2025).
| 货号 | 名称 | 规格 | 价格 | 操作 |
|---|
| 货号 | 名称 | 规格 | 价格 | 操作 |
|---|



