
Anti-PTTG1IP Rabbit pAb
- 100 μL
产品信息
|
蛋白质全称 |
垂体肿瘤转化基因1互作蛋白 |
|
别名 |
C21orf1, C21orf3, PBF, PTTG binding factor, PTTG1IP, Putative surface glycoprotein C21orf1 precursor, chromosome 21 open reading frame 1 |
|
Uniprot ID |
Q8R143 |
|
免疫原 |
KLH偶联的小鼠PTTG1IP合成肽 |
|
抗体亚型 |
IgG |
|
纯化方式 |
亲和纯化 |
|
亚细胞定位 |
细胞膜, 细胞质, 细胞核 |
应用
| 应用 | 物种 | 稀释 | 阳性样品 |
| IHC/IF 免疫组织化学/免疫荧光 | 大鼠 | 1: 1000-1: 2000 | 心, 脾 |
背景
This gene encodes a single-pass type I integral membrane protein, which binds to pituitary tumor-transforming 1 protein (PTTG1), and facilitates translocation of PTTG1 into the nucleus. Coexpression of this protein and PTTG1 induces transcriptional activation of basic fibroblast growth factor. Alternatively spliced transcript variants have been found for this gene.
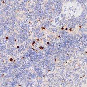
图像
|
|
IHC检测PTTG1IP蛋白(货号 GB113347). 样品: 大鼠心, 4%多聚甲醛 (货号G1101) 固定12-24小时. 抗原修复: 柠檬酸抗原修复液(干粉, pH 6.0) (G1201), 98℃, 20分钟. —抗: 1: 1000稀释, 4℃ 孵育过夜. 二抗: HRP标记山羊抗兔IgG (H+L) (货号GB23303), 1: 200稀释, 室温孵育1小时. |
|
|
IHC检测PTTG1IP蛋白(货号 GB113347). 样品: 大鼠脾, 4%多聚甲醛 (货号G1101) 固定12-24小时. 抗原修复: 柠檬酸抗原修复液(干粉, pH 6.0) (G1201), 98℃, 20分钟. —抗: 1: 2000稀释, 4℃ 孵育过夜. 二抗: HRP标记山羊抗兔IgG (H+L) (货号GB23303), 1: 200稀释, 室温孵育1小时. |
储存
| 储存条件 | 在-20℃下储存一年, 避免反复冻融. |
| 储存缓冲液 | 含0.15% ProClin300防腐剂, 100 μg/mL牛血清白蛋白和50%甘油的磷酸盐缓冲液. |
注意:
1.本产品仅供研究使用.
2.建议用一抗稀释液(G2025)稀释本产品.
| 货号 | 名称 | 规格 | 价格 | 操作 |
|---|
| 货号 | 名称 | 规格 | 价格 | 操作 |
|---|

