
Anti-ADAMTSL1 Rabbit pAb
- 50 μL
产品信息
|
蛋白质全称 |
ADAMTS样蛋白1 |
|
别名 |
Punctin-1, Punctin, Thrombospondin, C9orf94, ADAMTSL-1 |
|
Uniprot ID |
Q8BLI0 |
|
免疫原 |
KLH偶联的小鼠ADAMTSL1合成肽 |
|
抗体亚型 |
IgG |
|
预测分子量./观测分子量. |
58 kDa / 80 kDa |
|
纯化方式 |
亲和纯化 |
|
亚细胞定位 |
分泌型 |
应用
| 应用 | 物种 | 稀释 | 阳性样品 |
| WB 免疫印迹 | 人 | 1: 300-1: 600 | U-251 MG细胞, A431细胞 |
| IHC/IF 免疫组织化学/免疫荧光 | 人 | 1: 500-1: 1500 | 食道癌, 扁桃体 |
背景
This gene encodes a secreted protein and member of the ADAMTS (a disintegrin and metalloproteinase with thrombospondin motif) family. This protein lacks the metalloproteinase and disintegrin-like domains, which are typical of the ADAMTS family, but contains other ADAMTS domains, including the thrombospondin type 1 motif. This protein may have important functions in the extracellular matrix. Alternative splicing results in multiple transcript variants encoding distinct proteins.
图像
|
|
WB检测ADAMTSL1蛋白(货号 GB115331). 样品: 经RIPA裂解液(货号G2002)处理的蛋白质. 封闭: 3%脱脂牛奶(货号GC310001)溶于TBST溶液, 室温孵育1小时. —抗: 1: 600稀释, 4℃ 孵育过夜. 二抗: HRP标记山羊抗兔IgG (H+L) (货号GB23303), 1: 5000稀释, 室温孵育1小时. |
|
|
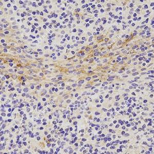
IHC检测ADAMTSL1蛋白(货号 GB115331). 样品: 人食管癌, 4%多聚甲醛 (货号G1101) 固定12-24小时. 抗原修复: Tris-EDTA抗原修复液(pH 9.0) (G1203), 98℃, 20分钟. —抗: 1: 1000稀释, 4℃ 孵育过夜. 二抗: HRP标记山羊抗兔IgG (H+L) (货号GB23303), 1: 200稀释, 室温孵育1小时. |
|
|
IHC检测ADAMTSL1蛋白(货号 GB115331). 样品: 人扁桃体, 4%多聚甲醛 (货号G1101) 固定12-24小时. 抗原修复: Tris-EDTA抗原修复液(pH 9.0) (G1203), 98℃, 20分钟. —抗: 1: 1000稀释, 4℃ 孵育过夜. 二抗: HRP标记山羊抗兔IgG (H+L) (货号GB23303), 1: 200稀释, 室温孵育1小时. |
储存
| 储存条件 | 在-20℃下储存一年, 避免反复冻融. |
| 储存缓冲液 | 含0.15% ProClin300防腐剂, 100 μg/mL牛血清白蛋白和50%甘油的磷酸盐缓冲液. |
注意:
1.本产品仅供研究使用.
2.建议用一抗稀释液(G2025)稀释本产品.
| 货号 | 名称 | 规格 | 价格 | 操作 |
|---|
| 货号 | 名称 | 规格 | 价格 | 操作 |
|---|


