
Anti-SerpinB4/SCCA-2 Rabbit pAb
- 100 μL
产品信息
|
蛋白质全称 |
丝氨酸蛋白酶抑制剂B4 |
|
别名 |
Leupin, Peptidase inhibitor 11, PI-11, Squamous cell carcinoma antigen 2, SCCA-2, SERPINB4, PI11, SCCA2 |
|
Uniprot ID |
P48594 |
|
免疫原 |
人SerpinB4重组蛋白 |
|
抗体亚型 |
IgG |
|
纯化方式 |
亲和纯化 |
|
亚细胞定位 |
分泌型 |
应用
| 应用 | 物种 | 稀释 | 阳性样品 |
| IHC/IF 免疫组织化学/免疫荧光 | 人 | 1: 1800-1: 3600 | 肺癌,食道癌 |
背景
The protein encoded by this gene is a member of the serpin family of serine protease inhibitors. The encoded protein is highly expressed in many tumor cells and can inactivate granzyme M, an enzyme that kills tumor cells. This protein, along with serpin B3, can be processed into smaller fragments that aggregate to form an autoantigen in psoriasis, probably by causing chronic inflammation.
图像
|
|
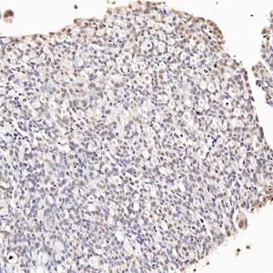
IHC检测SERPINB4/SCCA-2蛋白(货号 GB112723). 样品: 人肺癌, 4%多聚甲醛 (货号G1101) 固定12-24小时. 抗原修复: 柠檬酸抗原修复液(干粉, pH 6.0) (G1201), 98℃, 20分钟. —抗: 1: 1800稀释, 4℃ 孵育过夜. 二抗: HRP标记山羊抗兔IgG (H+L) (货号GB23303), 1: 200稀释, 室温孵育1小时. |
|
|
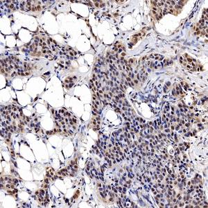
IHC检测SERPINB4/SCCA-2蛋白(货号 GB112723). 样品: 人食管癌, 4%多聚甲醛 (货号G1101) 固定12-24小时. 抗原修复: 柠檬酸抗原修复液(干粉, pH 6.0) (G1201), 98℃, 20分钟. —抗: 1: 1800稀释, 4℃ 孵育过夜. 二抗: HRP标记山羊抗兔IgG (H+L) (货号GB23303), 1: 200稀释, 室温孵育1小时. |
储存
| 储存条件 | 在-20℃下储存一年, 避免反复冻融. |
| 储存缓冲液 | 含0.15% ProClin300防腐剂, 100 μg/mL牛血清白蛋白和50%甘油的磷酸盐缓冲液. |
注意:
1.本产品仅供研究使用.
2.建议用一抗稀释液(G2025)稀释本产品.
| 货号 | 名称 | 规格 | 价格 | 操作 |
|---|
| 货号 | 名称 | 规格 | 价格 | 操作 |
|---|

