
Anti-Aurora B Rabbit pAb
- 100 μL
产品信息
|
蛋白质全称 |
极光激酶B |
|
别名 |
Aurora 1, Aurora/IPL1-related kinase 2, ARK-2, Aurora-related kinase 2, STK-1, Serine/threonine-protein kinase aurora-B, Aurora- and IPL1-like midbody-associated protein 1, Serine/threonine-protein kinase 5, Aurora B, AuroraB, Aurora Kinase B, AurB |
|
Uniprot ID |
O70126 |
|
免疫原 |
KLH偶联的小鼠Aurora B合成肽 |
|
抗体亚型 |
IgG |
|
纯化方式 |
亲和纯化 |
|
亚细胞定位 |
细胞核, 细胞质, 细胞骨架 |
应用
| 应用 | 物种 | 稀释 | 阳性样品 |
| IHC/IF 免疫组织化学/免疫荧光 | 大鼠 | 1: 100-1: 200 | 胸腺 |
背景
This gene encodes a member of the aurora kinase subfamily of serine/threonine kinases. The genes encoding the other two members of this subfamily are located on chromsomes 19 and 20. These kinases participate in the regulation of segregation of chromosomes during mitosis and meiosis through association with microtubules. A pseudogene of this gene is located on chromosome 8. Multiple transcript variants encoding different isoforms have been found for this gene.
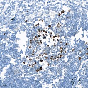
图像
|
|
IHC检测Aurora B蛋白(货号 GB115578). 样品: 大鼠胸腺, 4%多聚甲醛 (货号G1101) 固定12-24小时. 抗原修复: Tris-EDTA抗原修复液(pH 9.0) (G1203), 98℃, 20分钟. —抗: 1: 100稀释, 4℃ 孵育过夜. 二抗: HRP标记山羊抗兔IgG (H+L) (货号GB23303), 1: 200稀释, 室温孵育1小时. |
|
|
IHC检测Aurora B蛋白(货号 GB115578). 样品: 大鼠胸腺, 4%多聚甲醛 (货号G1101) 固定12-24小时. 抗原修复: Tris-EDTA抗原修复液(pH 9.0) (G1203), 98℃, 20分钟. —抗: 1: 200稀释, 4℃ 孵育过夜. 二抗: HRP标记山羊抗兔IgG (H+L) (货号GB23303), 1: 200稀释, 室温孵育1小时. |
储存
| 储存条件 | 在-20℃下储存一年, 避免反复冻融. |
| 储存缓冲液 | 含0.15% ProClin300防腐剂, 100 μg/mL牛血清白蛋白和50%甘油的磷酸盐缓冲液. |
注意:
1.本产品仅供研究使用.
2.建议用一抗稀释液(G2025)稀释本产品.
| 货号 | 名称 | 规格 | 价格 | 操作 |
|---|
| 货号 | 名称 | 规格 | 价格 | 操作 |
|---|

