
Anti-Cardiac Troponin I Rabbit pAb
- 50 μL
产品信息
|
蛋白质全称 |
心肌肌钙蛋白I |
|
别名 |
Cardiac troponin I, TNNI3, TNNC1, cTnI, CMH7, cardiac muscle, TNNI3, Troponin I type 3 cardiac, cardiac type, CTnI, CMD1FF, CMD2A, RCM1, cTnI, troponin I3 |
|
Uniprot ID |
P19429 |
|
免疫原 |
KLH偶联的人Cardiac Troponin I合成肽 |
|
抗体亚型 |
IgG |
|
预测分子量./观测分子量. |
24 kDa / 28 kDa |
|
纯化方式 |
亲和纯化 |
|
亚细胞定位 |
细胞质, 细胞骨架 |
应用
| 应用 | 物种 | 稀释 | 阳性样品 |
| WB 免疫印迹 | 小鼠, 大鼠 | 1: 250-1: 500 | 心 |
| IHC/IF 免疫组织化学/免疫荧光 | 小鼠, 大鼠 | 1: 100-1: 400 | 心, 心肌梗死 |
背景
Troponin I is a cardiac and skeletal muscle protein useful in the laboratory diagnosis of heart attack. Troponin I is a part of the troponin protein complex, where it binds to actin in thin myofilaments to hold the actin-tropomyosin complex in place. Because of it, myosin cannot bind actin in relaxed muscle. When calcium binds to the troponin C it causes conformational changes which lead to dislocation of troponin I and finally tropomyosin leaves the binding site for myosin on actin leading to contraction of muscle.
图像
|
|
WB检测Cardiac Troponin I蛋白(货号 GB112408). 样品: 经RIPA裂解液(货号G2002)处理的蛋白质. 封闭: 3%脱脂牛奶(货号GC310001)溶于TBST溶液, 室温孵育1小时. —抗: 1: 500稀释, 4℃ 孵育过夜. 二抗: HRP标记山羊抗兔IgG (H+L) (货号GB23303), 1: 5000稀释, 室温孵育1小时. |
|
|
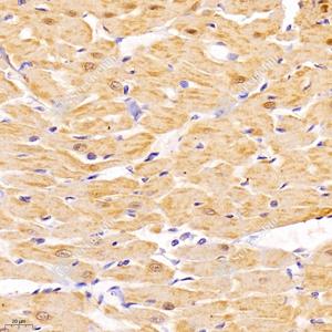
IHC检测Cardiac Troponin I蛋白(货号 GB112408). 样品: 小鼠心肌梗死, 4%多聚甲醛 (货号G1101) 固定12-24小时. 抗原修复: 柠檬酸抗原修复液(干粉, pH 6.0) (G1201), 98℃, 20分钟. —抗: 1: 200稀释, 4℃ 孵育过夜. 二抗: HRP标记山羊抗兔IgG (H+L) (货号GB23303), 1: 200稀释, 室温孵育1小时. |
|
|
IHC检测Cardiac Troponin I蛋白(货号 GB112408). 样品: 大鼠心, 4%多聚甲醛 (货号G1101) 固定12-24小时. 抗原修复: 柠檬酸抗原修复液(干粉, pH 6.0) (G1201), 98℃, 20分钟. —抗: 1: 200稀释, 4℃ 孵育过夜. 二抗: HRP标记山羊抗兔IgG (H+L) (货号GB23303), 1: 200稀释, 室温孵育1小时. |
|
|
IHC检测Cardiac Troponin I蛋白(货号 GB112408). 样品: 大鼠心肌梗死, 4%多聚甲醛 (货号G1101) 固定12-24小时. 抗原修复: 柠檬酸抗原修复液(干粉, pH 6.0) (G1201), 98℃, 20分钟. —抗: 1: 200稀释, 4℃ 孵育过夜. 二抗: HRP标记山羊抗兔IgG (H+L) (货号GB23303), 1: 200稀释, 室温孵育1小时. |
储存
| 储存条件 | 在-20℃下储存一年, 避免反复冻融. |
| 储存缓冲液 | 含0.15% ProClin300防腐剂, 100 μg/mL牛血清白蛋白和50%甘油的磷酸盐缓冲液. |
注意:
1.本产品仅供研究使用.
2.建议用一抗稀释液(G2025)稀释本产品.
| 货号 | 名称 | 规格 | 价格 | 操作 |
|---|
| 货号 | 名称 | 规格 | 价格 | 操作 |
|---|



