
Anti-CDX2 Mouse mAb
- 100 μL
产品信息
|
蛋白质全称 |
尾型同源盒蛋白CDX-2 |
|
别名 |
caudal type homeobox 2, Caudal type homeobox protein 2, CDX 3, CDX2, CDX-2, CDX3, Homeobox protein CDX 2 |
|
Uniprot ID |
P43241 |
|
免疫原 |
小鼠CDX2重组蛋白 |
|
抗体亚型 |
IgG2b, κ |
|
克隆号 |
4H2A8 |
|
纯化方式 |
亲和纯化 |
|
亚细胞定位 |
细胞核 |
应用
| 应用 | 物种 | 稀释 | 阳性样品 |
| IHC/IF 免疫组织化学/免疫荧光 | 人 | 1: 1500-1: 3000 | 结肠癌, 结肠 |
背景
CDX2, also named as Homeobox protein CDX-2, is a 313 amino acid protein, which contains one homeobox DNA-binding domain and belongs to the Caudal homeobox family. CDX2 localizes in the nucleus and is involved in the transcriptional regulation of multiple genes expression in the intestinal epithelium. The relative expression of CDX1 to CDX2 protein may be important in the anterior to posterior patterning of the intestinal epithelium and in defining patterns of proliferation and differentiation along the crypt-villus axis.
图像
|
|
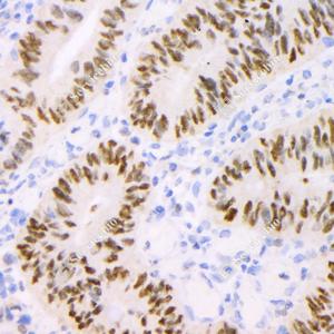
IHC检测CDX2蛋白(货号 GB121500). 样品: 人结肠癌, 4%多聚甲醛 (货号G1101) 固定12-24小时. 抗原修复: 柠檬酸抗原修复液(干粉, pH 6.0) (G1201), 高压锅均匀喷气计时2分钟. —抗: 1: 2000稀释, 4℃ 孵育过夜. 二抗: HRP标记山羊抗小鼠IgG (H+L) (货号GB23301), 1: 200稀释, 室温孵育1小时. |
|
|
IHC检测CDX2蛋白(货号 GB121500). 样品: 人结肠癌, 4%多聚甲醛 (货号G1101) 固定12-24小时. 抗原修复: 柠檬酸抗原修复液(干粉, pH 6.0) (G1201), 高压锅均匀喷气计时2分钟. —抗: 1: 3000稀释, 4℃ 孵育过夜. 二抗: HRP标记山羊抗小鼠IgG (H+L) (货号GB23301), 1: 200稀释, 室温孵育1小时. |
|
|
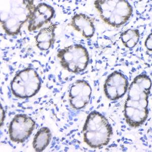
IHC检测CDX2蛋白(货号 GB121500). 样品: 人结肠, 4%多聚甲醛 (货号G1101) 固定12-24小时. 抗原修复: 柠檬酸抗原修复液(干粉, pH 6.0) (G1201), 高压锅均匀喷气计时2分钟. —抗: 1: 2000稀释, 4℃ 孵育过夜. 二抗: HRP标记山羊抗小鼠IgG (H+L) (货号GB23301), 1: 200稀释, 室温孵育1小时. |
储存
| 储存条件 | 在-20℃下储存一年, 避免反复冻融. |
| 储存缓冲液 | 含0.15% ProClin300防腐剂, 100 μg/mL牛血清白蛋白和50%甘油的磷酸盐缓冲液. |
注意:
1.本产品仅供研究使用.
2.建议用一抗稀释液(G2025)稀释本产品.
| 货号 | 名称 | 规格 | 价格 | 操作 |
|---|
| 货号 | 名称 | 规格 | 价格 | 操作 |
|---|


