
Anti-Alkaline Phosphatase Rabbit pAb
- 100 μL
产品信息
|
蛋白质全称 |
碱性磷酸酶(组织非特异性同工酶) |
|
别名 |
ALPL, AP-TNAP, APTNAP, HOPS, TNAP, TNSALP, Alkaline phosphatase liver/bone/kidney, TNALP |
|
Uniprot ID |
P09242 |
|
免疫原 |
小鼠Alkaline Phosphatase重组蛋白 |
|
抗体亚型 |
IgG |
|
纯化方式 |
亲和纯化 |
|
亚细胞定位 |
细胞膜 |
应用
| 应用 | 物种 | 稀释 | 阳性样品 |
| IHC/IF 免疫组织化学/免疫荧光 | 小鼠, 大鼠 | 1: 200-1: 500 | 骨 |
背景
Intestinal, placental, placental-like, and liver/bone/kidney (tissue-nonspecific) all belong to alkaline phosphatases. the tissue-nonspecific form is located on chromosome 1. The product of this gene is a membrane-bound glycosylated enzyme that is not expressed in any particular tissue and is, therefore, referred to as the tissue-nonspecific form of the enzyme. This enzyme has been linked directly to hypophosphatasia disorder characterized by hypercalcemia and skeletal defects.
图像
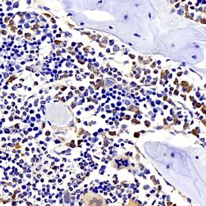
|
|
IHC检测Alkaline Phosphatase蛋白(货号 GB11527). 样品: 小鼠骨, 4%多聚甲醛 (货号G1101) 固定12-24小时. 抗原修复: 胃蛋白酶抗原修复液, 37℃, 30分钟. —抗: 1: 200稀释, 4℃ 孵育过夜. 二抗: HRP标记山羊抗兔IgG (H+L) (货号GB23303), 1: 200稀释, 室温孵育1小时. |
|
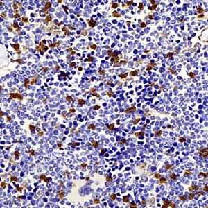
|
IHC检测Alkaline Phosphatase蛋白(货号 GB11527). 样品: 大鼠骨, 4%多聚甲醛 (货号G1101) 固定12-24小时. 抗原修复: 胃蛋白酶抗原修复液, 37℃, 30分钟. —抗: 1: 200稀释, 4℃ 孵育过夜. 二抗: HRP标记山羊抗兔IgG (H+L) (货号GB23303), 1: 200稀释, 室温孵育1小时. |
储存
| 储存条件 | 在-20℃下储存一年, 避免反复冻融. |
| 储存缓冲液 | 含0.15% ProClin300防腐剂, 100 μg/mL牛血清白蛋白和50%甘油的磷酸盐缓冲液. |
注意:
1.本产品仅供研究使用.
2.建议用一抗稀释液(G2025)稀释本产品.
| 货号 | 名称 | 规格 | 价格 | 操作 |
|---|
| 货号 | 名称 | 规格 | 价格 | 操作 |
|---|

