
Anti-ErbB2/HER2 Rabbit pAb
- 100 μL
产品信息
蛋白质全称 | 酪氨酸蛋白激酶受体erbB-2 |
别名 | CD340, ERBB2, HER 2, HER 2/neu, HER2, MLN 19, MLN19, NEU, NGL, p185, p185erbB2, Proto oncogene c ErbB 2, Proto oncogene Neu, TKR1, HER-2, erb-b2 receptor tyrosine kinase 2 |
Uniprot ID | P04626 |
免疫原 | 人Receptor tyrosine-protein kinase erbB-2重组蛋白 |
抗体亚型 | IgG |
预测分子量./观测分子量. | 139 kDa / 185 kDa |
纯化方式 | 亲和纯化 |
亚细胞定位 | 细胞膜, 早期内体, 细胞质, 核周区域, 细胞核 |
应用
| 应用 | 物种 | 稀释 | 阳性样品 |
| WB 免疫印迹 | 人 | 1: 1000-1: 2000 | SK-BR-3细胞, SK-OV-3细胞 |
| IHC/IF 免疫组织化学/免疫荧光 | 人 | 1: 500-1: 1000 | 乳腺癌 |
背景
Protein tyrosine kinase that is part of several cell surface receptor complexes, but that apparently needs a coreceptor for ligand binding. Essential component of a neuregulin-receptor complex, although neuregulins do not interact with it alone. GP30 is a potential ligand for this receptor. Regulates outgrowth and stabilization of peripheral microtubules (MTs). Upon ERBB2 activation, the MEMO1-RHOA-DIAPH1 signaling pathway elicits the phosphorylation and thus the inhibition of GSK3B at cell membrane. This prevents the phosphorylation of APC and CLASP2, allowing its association with the cell membrane. In turn, membrane-bound APC allows the localization of MACF1 to the cell membrane, which is required for microtubule capture and stabilization.
图像
| WB检测ErbB2/HER2蛋白(货号 GB113971). 样品: 经RIPA裂解液(货号G2002)处理的蛋白质. 封闭: 3%脱脂牛奶(货号GC310001)溶于TBST溶液, 室温孵育1小时. —抗: 1: 1000稀释, 4℃ 孵育过夜. 二抗: HRP标记山羊抗兔IgG (H+L) (货号GB23303), 1: 5000稀释, 室温孵育1小时. |
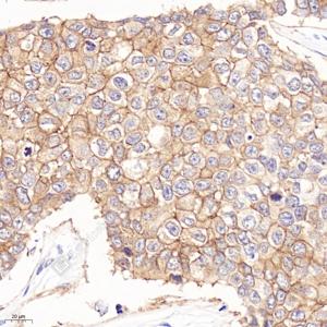
| IHC检测ErbB2/HER2蛋白(货号 GB113971). 样品: 人乳腺癌, 4%多聚甲醛 (货号G1101) 固定12-24小时. 抗原修复: 柠檬酸抗原修复液(干粉, pH 6.0) (G1201), 98℃, 20分钟. —抗: 1: 1000稀释, 4℃ 孵育过夜. 二抗: HRP标记山羊抗兔IgG (H+L) (货号GB23303), 1: 200稀释, 室温孵育1小时. |
储存
| 储存条件 | 在-20℃下储存一年, 避免反复冻融. |
| 储存缓冲液 | 含0.15% ProClin300防腐剂, 100 μg/mL牛血清白蛋白和50%甘油的磷酸盐缓冲液. |
注意:
1.本产品仅供研究使用.
2.建议用一抗稀释液(G2025)稀释本产品.
| 货号 | 名称 | 规格 | 价格 | 操作 |
|---|
| 货号 | 名称 | 规格 | 价格 | 操作 |
|---|

