
Anti-THEA Rabbit pAb
- 50 μL
产品信息
|
蛋白质全称 |
酰基辅酶A硫酯酶11 |
|
别名 |
ACOT11, acyl CoA thioesterase 11, BFIT, BFIT1, BFIT2, KIAA0707, STARD14, THEA, THEM1, Thioesterase adipose associated |
|
Uniprot ID |
Q8VHQ9 |
|
免疫原 |
小鼠THEA重组蛋白 |
|
抗体亚型 |
IgG |
|
纯化方式 |
亲和纯化 |
|
亚细胞定位 |
细胞质, 线粒体 |
应用
| 应用 | 物种 | 稀释 | 阳性样品 |
| IHC/IF 免疫组织化学/免疫荧光 | 人 | 1: 800-1: 1600 | 肾 |
背景
ACOT11(Acyl-coenzyme A thioesterase 11) is also named as BFIT, KIAA0707, THEA.BFIT is mapped to syntenic regions of chromosomes 1 (human) and 4 (mouse) associated with body fatness and diet-induced obesity, potentially linking a deficit of BFIT activity with exacerbation of these traits and supports the transition of this tissue towards increased metabolic activity, probably through alteration of intracellular fatty acyl-CoA concentration.
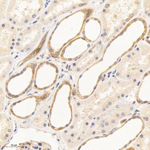
图像
|
|
IHC检测THEA蛋白(货号 GB113466). 样品: 人肾, 4%多聚甲醛 (货号G1101) 固定12-24小时. 抗原修复: 柠檬酸抗原修复液(干粉, pH 6.0) (G1201), 98℃, 20分钟. —抗: 1: 800稀释, 4℃ 孵育过夜. 二抗: HRP标记山羊抗兔IgG (H+L) (货号GB23303), 1: 200稀释, 室温孵育1小时. |
储存
| 储存条件 | 在-20℃下储存一年, 避免反复冻融. |
| 储存缓冲液 | 含0.15% ProClin300防腐剂, 100 μg/mL牛血清白蛋白和50%甘油的磷酸盐缓冲液. |
注意:
1.本产品仅供研究使用.
2.建议用一抗稀释液(G2025)稀释本产品.
| 货号 | 名称 | 规格 | 价格 | 操作 |
|---|
| 货号 | 名称 | 规格 | 价格 | 操作 |
|---|
