
Anti-PGS1 Rabbit pAb
¥950
货号:YB113743-50
品牌:YIKE
规格:
- 50 μL
数量:
产品信息
|
蛋白质全称 |
线粒体磷脂酰甘油磷酸合成酶 |
|
别名 |
PGP synthase 1, PGS1, Silencer-associated factor, Saf, Phosphatidylglycerophosphate synthase 1 |
|
Uniprot ID |
Q8BHF7 |
|
免疫原 |
KLH偶联的小鼠PGS1合成肽 |
|
抗体亚型 |
IgG |
|
纯化方式 |
亲和纯化 |
|
亚细胞定位 |
线粒体 |
应用
| 应用 | 物种 | 稀释 | 阳性样品 |
| IHC/IF 免疫组织化学/免疫荧光 | 小鼠, 大鼠 | 1: 300-1: 600 | 脑, 小脑 |
背景
Functions in the biosynthesis of the anionic phospholipids phosphatidylglycerol and cardiolipin.
图像
|
|
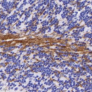
IHC检测PGS1蛋白(货号 GB113732). 样品: 小鼠小脑, 4%多聚甲醛 (货号G1101) 固定12-24小时. 抗原修复: 柠檬酸抗原修复液(干粉, pH 6.0) (G1201), 98℃, 20分钟. —抗: 1: 600稀释, 4℃ 孵育过夜. 二抗: HRP标记山羊抗兔IgG (H+L) (货号GB23303), 1: 200稀释, 室温孵育1小时. |
|
|
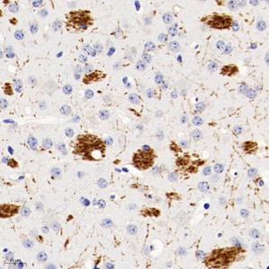
IHC检测PGS1蛋白(货号 GB113732). 样品: 大鼠脑, 4%多聚甲醛 (货号G1101) 固定12-24小时. 抗原修复: 柠檬酸抗原修复液(干粉, pH 6.0) (G1201), 98℃, 20分钟. —抗: 1: 300稀释, 4℃ 孵育过夜. 二抗: HRP标记山羊抗兔IgG (H+L) (货号GB23303), 1: 200稀释, 室温孵育1小时. |
储存
| 储存条件 | 在-20℃下储存一年, 避免反复冻融. |
| 储存缓冲液 | 含0.15% ProClin300防腐剂, 100 μg/mL牛血清白蛋白和50%甘油的磷酸盐缓冲液. |
注意:
1.本产品仅供研究使用.
2.建议用一抗稀释液(G2025)稀释本产品.
服务推荐
| 货号 | 名称 | 规格 | 价格 | 操作 |
|---|
产品推荐
| 货号 | 名称 | 规格 | 价格 | 操作 |
|---|

