
Anti-CYP2A13 Rabbit pAb
- 100 μL
产品信息
|
蛋白质全称 |
细胞色素P450 2A13 |
|
别名 |
CYPIIA13, CYP2A13 |
|
Uniprot ID |
Q16696 |
|
免疫原 |
人CYP2A13重组蛋白 |
|
抗体亚型 |
IgG |
|
预测分子量./观测分子量. |
57 kDa / 57 kDa |
|
纯化方式 |
亲和纯化 |
|
亚细胞定位 |
内质网 |
应用
| 应用 | 物种 | 稀释 | 阳性样品 |
| WB 免疫印迹 | 小鼠, 大鼠 | 1: 2000-1: 4000 | 肝 |
| IHC/IF 免疫组织化学/免疫荧光 | 人 | 1: 300-1: 600 | 肝 |
背景
Exhibits a coumarin 7-hydroxylase activity. Active in the metabolic activation of hexamethylphosphoramide, N,N-dimethylaniline, 2'-methoxyacetophenone, N-nitrosomethylphenylamine, and the tobacco-specific carcinogen, 4-(methylnitrosamino)-1-(3-pyridyl)-1-butanone. Possesses phenacetin O-deethylation activity.
图像
|
|
WB检测CYP2A13蛋白(货号 GB114022). 样品: 经RIPA裂解液(货号G2002)处理的蛋白质. 封闭: 3%脱脂牛奶(货号GC310001)溶于TBST溶液, 室温孵育1小时. —抗: 1: 2000稀释, 4℃ 孵育过夜. 二抗: HRP标记山羊抗兔IgG (H+L) (货号GB23303), 1: 5000稀释, 室温孵育1小时. |
|
|
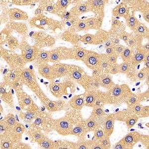
IHC检测CYP2A13蛋白(货号 GB114022). 样品: 人肝, 4%多聚甲醛 (货号G1101) 固定12-24小时. 抗原修复: 柠檬酸抗原修复液(干粉, pH 6.0) (G1201), 98℃, 20分钟. —抗: 1: 300稀释, 4℃ 孵育过夜. 二抗: HRP标记山羊抗兔IgG (H+L) (货号GB23303), 1: 200稀释, 室温孵育1小时. |
|
|
IF检测CYP2A13蛋白(货号 GB114022)(红色). 样品: 人肝, 4%多聚甲醛 (货号G1101) 固定12-24小时. 抗原修复: Tris-EDTA抗原修复液(pH 9.0) (G1203), 98℃, 20分钟. 封闭: 3% BSA(货号GC305010)的PBS溶液, 室温孵育30分钟. —抗: 1: 300稀释, 4℃ 孵育过夜. 二抗: Cy3标记山羊抗兔IgG (H+L) (货号GB21303), 1: 300稀释, 室温孵育1小时. |
储存
| 储存条件 | 在-20℃下储存一年, 避免反复冻融. |
| 储存缓冲液 | 含0.15% ProClin300防腐剂, 100 μg/mL牛血清白蛋白和50%甘油的磷酸盐缓冲液. |
注意:
1.本产品仅供研究使用.
2.建议用一抗稀释液(G2025)稀释本产品.
| 货号 | 名称 | 规格 | 价格 | 操作 |
|---|
| 货号 | 名称 | 规格 | 价格 | 操作 |
|---|


